ACVR2B
ACVR2B,即激活素A型II型受體B,別名ActR-IIB、MGC116908。它是一種由ACVR2B基因編碼的跨膜絲氨酸/蘇氨酸激酶受體,屬于轉化生長因子-β(TGF-β)超家族成員之一。ACVR2B在多種組織中表達,尤其在腫瘤細胞上的表達水平較高。其作用機制涉及與激活素A結合后,招募并磷酸化I型激活素受體,通過SMAD2/3蛋白發出信號,進而調節細胞的增殖、分化和遷移。ACVR2B參與的信號通路包括與ALK4或ALK7等I型受體的相互作用,影響多種生物學過程。ACVR2B的表達水平與腫瘤生長、轉移性以及治療反應密切相關,是腫瘤治療和預后評估的重要生物標志物。
熱銷產品
驗證數據
(Tris-Glycine gel) Discontinuous SDS-PAGE (reduced) with 5% enrichment gel and 15% separation gel.
Activity
Measured by its binding ability in a functional ELISA. Immobilized Human ACVR2B at 2 μg/ml can bind Anti-ACVR2A&ACVR2B recombinant antibody (CSB-RA623829MA1HU). The EC50 is 2.983-3.438 ng/mL.
The purity of ACVR2B was greater than 90% as determined by SEC-HPLC
Recombinant Mouse Activin receptor type-2B (Acvr2b), partial (Active) (CSB-MP001261MO1)
驗證數據
(Tris-Glycine gel) Discontinuous SDS-PAGE (reduced) with 5% enrichment gel and 15% separation gel.
Activity
Measured by its binding ability in a functional ELISA. Immobilized Mouse Acvr2b at 2 μg/ml can bind Anti-ACVR2A&ACVR2B recombinant antibody (CSB-RA623829MA1HU). The EC50 is 3.560-4.235 ng/mL.
The purity of ACVR2B was greater than 90% as determined by SEC-HPLC
ACVR2B Recombinant Monoclonal Antibody (CSB-RA260702A0HU)
驗證數據
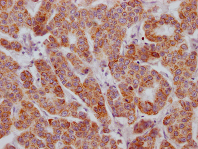
IHC image of CSB-RA260702A0HU diluted at 1:100 and staining in paraffin-embedded human breast cancer performed on a Leica BondTM system. After dewaxing and hydration, antigen retrieval was mediated by high pressure in a citrate buffer (pH 6.0). Section was blocked with 10% normal goat serum 30min at RT. Then primary antibody (1% BSA) was incubated at 4℃ overnight. The primary is detected by a Goat anti-rabbit IgG polymer labeled by HRP and visualized using 0.05% DAB.
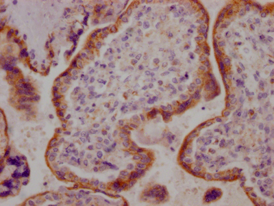
IHC image of CSB-RA260702A0HU diluted at 1:100 and staining in paraffin-embedded human placenta tissue performed on a Leica BondTM system. After dewaxing and hydration, antigen retrieval was mediated by high pressure in a citrate buffer (pH 6.0). Section was blocked with 10% normal goat serum 30min at RT. Then primary antibody (1% BSA) was incubated at 4℃ overnight. The primary is detected by a Goat anti-rabbit IgG polymer labeled by HRP and visualized using 0.05% DAB.
ACVR2B Antibodies
ACVR2B for Homo sapiens (Human)
| 產品貨號 | 產品名稱 | 種屬反應性 | 應用類型 |
|---|---|---|---|
| CSB-PA623829ESR1HU | ACVR2B Antibody | Human | ELISA, IHC |
| CSB-PA292270 | ACVR2B Antibody | Human,Mouse,Rat | ELISA,IHC |
| CSB-PA206692 | ACVR2B Antibody | Human,Mouse,Rat | ELISA,WB |
| CSB-RA260702A0HU | ACVR2B Recombinant Monoclonal Antibody | Human | ELISA, IHC |
ACVR2B Proteins
ACVR2B Proteins for Mus musculus (Mouse)
| 產品貨號 | 產品名稱 | 來源 |
|---|---|---|
| CSB-EP001261MO1 CSB-BP001261MO1 CSB-EP001261MO1-B |
Recombinant Mouse Activin receptor type-2B (Acvr2b), partial | E.coli Baculovirus In Vivo Biotinylation in E.coli |
| CSB-CF001261MO | Recombinant Mouse Activin receptor type-2B (Acvr2b) | in vitro E.coli expression system |
ACVR2B Proteins for Rattus norvegicus (Rat)
| 產品貨號 | 產品名稱 | 來源 |
|---|---|---|
| CSB-YP001261RA1 CSB-EP001261RA1 CSB-BP001261RA1 CSB-MP001261RA1 CSB-EP001261RA1-B |
Recombinant Rat Activin receptor type-2B (Acvr2b), partial | Yeast E.coli Baculovirus Mammalian cell In Vivo Biotinylation in E.coli |
| CSB-CF001261RA | Recombinant Rat Activin receptor type-2B (Acvr2b) | in vitro E.coli expression system |
ACVR2B Proteins for Xenopus laevis (African clawed frog)
| 產品貨號 | 產品名稱 | 來源 |
|---|---|---|
| CSB-YP001261XBE1 CSB-EP001261XBE1 CSB-BP001261XBE1 CSB-MP001261XBE1 CSB-EP001261XBE1-B |
Recombinant Xenopus laevis Activin receptor type-2B (acvr2b), partial | Yeast E.coli Baculovirus Mammalian cell In Vivo Biotinylation in E.coli |
| CSB-CF001261XBE | Recombinant Xenopus laevis Activin receptor type-2B (acvr2b) | in vitro E.coli expression system |
ACVR2B Proteins for Homo sapiens (Human)
| 產品貨號 | 產品名稱 | 來源 |
|---|---|---|
| CSB-YP623829HU | Recombinant Human/Cynomolgus monkey Activin receptor type-2B (ACVR2B), partial | Yeast |
| CSB-EP623829HU | Recombinant Human/Cynomolgus monkey Activin receptor type-2B (ACVR2B), partial | E.coli |
| CSB-BP623829HU CSB-EP623829HU-B |
Recombinant Human/Cynomolgus monkey Activin receptor type-2B (ACVR2B), partial | Baculovirus In Vivo Biotinylation in E.coli |
| CSB-AP005701HU | Recombinant Human Activin receptor type-2B (ACVR2B), partial (Active) | Mammalian cell |
| CSB-MP623829HU | Recombinant Human/Cynomolgus monkey Activin receptor type-2B (ACVR2B), partial (Active) | Mammalian cell |
ACVR2B Proteins for Sus scrofa (Pig)
| 產品貨號 | 產品名稱 | 來源 |
|---|---|---|
| CSB-YP721106PI CSB-EP721106PI CSB-BP721106PI CSB-MP721106PI CSB-EP721106PI-B |
Recombinant Pig Activin receptor type-2B (ACVR2B), partial | Yeast E.coli Baculovirus Mammalian cell In Vivo Biotinylation in E.coli |
ACVR2B Proteins for Gallus gallus (Chicken)
| 產品貨號 | 產品名稱 | 來源 |
|---|---|---|
| CSB-YP820878CH CSB-EP820878CH CSB-BP820878CH CSB-MP820878CH CSB-EP820878CH-B |
Recombinant Chicken Activin receptor type-2B (ACVR2B), partial | Yeast E.coli Baculovirus Mammalian cell In Vivo Biotinylation in E.coli |
ACVR2B Proteins for Bos taurus (Bovine)
| 產品貨號 | 產品名稱 | 來源 |
|---|---|---|
| CSB-YP853256BO CSB-EP853256BO CSB-BP853256BO CSB-MP853256BO CSB-EP853256BO-B |
Recombinant Bovine Activin receptor type-2B (ACVR2B), partial | Yeast E.coli Baculovirus Mammalian cell In Vivo Biotinylation in E.coli |






