ADAM10
ADAM10全稱為解整合素-金屬蛋白酶10,屬于跨膜蛋白家族成員,在細胞膜表面發揮關鍵切割酶功能。ADAM10通過裂解Notch、E-鈣黏蛋白等重要膜蛋白,調控細胞分化與黏附過程,其異常活化會破壞細胞間通訊穩態。在阿爾茨海默病中,ADAM10過度切割淀粉樣前體蛋白導致β淀粉樣斑塊沉積,已成為該病治療的重要靶點。腫瘤領域研究發現,該蛋白通過釋放表皮生長因子受體配體促進癌細胞侵襲轉移,在乳腺癌、結腸癌等惡性腫瘤中呈現高表達特征。針對ADAM10的小分子抑制劑(如GI254023X)和單克隆抗體(如LY503307)已進入臨床前研究階段,其中部分藥物在動物模型中顯示出抑制腫瘤生長和延緩認知衰退的效果,但需解決選擇性差和血腦屏障穿透難題。ADAM10在免疫調節和神經發育中的雙重作用使其藥物開發面臨復雜挑戰。
熱銷產品
ADAM10 Recombinant Monoclonal Antibody (CSB-RA001273MA1HU)
驗證數據
Overlay Peak curve showing Hela cells stained with CSB-RA001273MA1HU (red line) at 1:400. The cells were fixed in 4% formaldehyde (15min) and permeated by 0.2% TritonX-100 for 10min. Then 10% normal goat serum was Incubated to block non-specific protein-protein interactions followed by the antibody (1μg/1*106cells) for 45 min at 4°C. The secondary antibody used was FITC-conjugated Goat Anti-Mouse IgG(H+L) at 1/200 dilution for 35 min at 4°C. Isotype control antibody (green line) was mouse IgG1 (1μg/1*106cells) used under the same conditions. Acquisition of >10, 000 events was performed.
ADAM10 Antibody (CSB-PA001273LA01HU)
驗證數據
Immunofluorescence staining of Hela cells with CSB-PA001273LA01HU at 1:133, counter-stained with DAPI. The cells were fixed in 4% formaldehyde, permeabilized using 0.2% Triton X-100 and blocked in 10% normal Goat Serum. The cells were then incubated with the antibody overnight at 4°C. The secondary antibody was Alexa Fluor 488-congugated AffiniPure Goat Anti-Rabbit IgG(H+L).
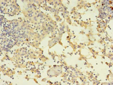
Immunohistochemistry of paraffin-embedded human colon cancer using CSB-PA001273LA01HU at dilution of 1:100
Immunohistochemistry of paraffin-embedded human thymus tissue using CSB-PA001273LA01HU at dilution of 1:100
ADAM10 Antibodies
ADAM10 for Homo sapiens (Human)
| 產品貨號 | 產品名稱 | 種屬反應性 | 應用類型 |
|---|---|---|---|
| CSB-PA000013 | ADAM10 Antibody | Human | WB, ELISA |
| CSB-PA069457 | ADAM10 Antibody | Human,Mouse,Rat | ELISA,IHC |
| CSB-PA909378 | ADAM10 Antibody | Human,Mouse,Rat | ELISA,WB,IHC |
| CSB-PA001273LA01HU | ADAM10 Antibody | Human | ELISA, IHC, IF |
| CSB-PA001273LD01HU | ADAM10 Antibody, Biotin conjugated | Human | ELISA |
| CSB-PA001273LB01HU | ADAM10 Antibody, HRP conjugated | Human | ELISA |
| CSB-RA001273MA1HU | ADAM10 Recombinant Monoclonal Antibody | Human | ELISA, FC |
ADAM10 Proteins
ADAM10 Proteins for Homo sapiens (Human)
| 產品貨號 | 產品名稱 | 來源 |
|---|---|---|
| CSB-YP001273HU1 CSB-EP001273HU1 CSB-BP001273HU1 CSB-EP001273HU1-B |
Recombinant Human Disintegrin and metalloproteinase domain-containing protein 10 (ADAM10), partial | Yeast E.coli Baculovirus In Vivo Biotinylation in E.coli |
| CSB-CF001273HU | Recombinant Human Disintegrin and metalloproteinase domain-containing protein 10 (ADAM10) | in vitro E.coli expression system |
ADAM10 ELISA Kit
ADAM10 ELISA Kit for Homo sapiens (Human)
| 產品貨號 | 產品名稱 | 樣本類型 | 靈敏度 |
|---|---|---|---|
| CSB-E11172h | Human A Disintegrin And Metalloprotease 10,ADAM10 ELISA Kit | serum, plasma, tissue homogenates | 1.95 pg/mL |






