ADCYAP1R1
ADCYAP1R1蛋白,全名為垂體腺苷酸環化酶激活多肽受體I型,也被稱為PACAP-R1。該蛋白是垂體腺苷酸環化酶激活多肽(PACAP)的受體,能夠識別PACAP-27和PACAP-38。通過G蛋白的作用,ADCYAP1R1激活腺苷酸環化酶,進而啟動一系列下游信號傳導過程。ADCYAP1R1在多種生理過程中發揮重要作用,包括激素釋放的調節、平滑肌松弛、胃腸道分泌等。ADCYAP1R1與多種疾病相關,如創傷后應激障礙(PTSD),并且是藥物研發的重要靶點。目前,針對ADCYAP1R1的藥物研究正在不斷進展,有望為相關疾病的治療提供新的策略。
熱銷產品
ADCYAP1R1 Antibody (CSB-PA207627)
驗證數據
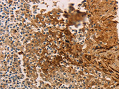
The image on the left is immunohistochemistry of paraffin-embedded Human tonsil tissue using CSB-PA207627(ADCYAP1R1 Antibody) at dilution 1/70, on the right is treated with synthetic peptide. (Original magnification: ×200)
The image on the left is immunohistochemistry of paraffin-embedded Human breast cancer tissue using CSB-PA207627(ADCYAP1R1 Antibody) at dilution 1/70, on the right is treated with synthetic peptide. (Original magnification: ×200)
Gel: 10%SDS-PAGE, Lysate: 40 μg, Lane 1-3: Hela cells, Mouse stomach tissue, Mouse brain tissue, Primary antibody: CSB-PA207627(ADCYAP1R1 Antibody) at dilution 1/2000, Secondary antibody: Goat anti rabbit IgG at 1/8000 dilution, Exposure time: 5 minutes
ADCYAP1R1 Antibodies
ADCYAP1R1 for Homo sapiens (Human)
| 產品貨號 | 產品名稱 | 種屬反應性 | 應用類型 |
|---|---|---|---|
| CSB-PA207627 | ADCYAP1R1 Antibody | Human,Mouse | ELISA,WB,IHC |
ADCYAP1R1 Proteins
ADCYAP1R1 Proteins for Mus musculus (Mouse)
| 產品貨號 | 產品名稱 | 來源 |
|---|---|---|
| CSB-YP001347MO1 CSB-EP001347MO1 CSB-BP001347MO1 CSB-MP001347MO1 CSB-EP001347MO1-B |
Recombinant Mouse Pituitary adenylate cyclase-activating polypeptide type I receptor (Adcyap1r1), partial | Yeast E.coli Baculovirus Mammalian cell In Vivo Biotinylation in E.coli |
| CSB-CF001347MO | Recombinant Mouse Pituitary adenylate cyclase-activating polypeptide type I receptor (Adcyap1r1) | in vitro E.coli expression system |
ADCYAP1R1 Proteins for Homo sapiens (Human)
| 產品貨號 | 產品名稱 | 來源 |
|---|---|---|
| CSB-YP001347HU1 CSB-EP001347HU1 CSB-BP001347HU1 CSB-MP001347HU1 CSB-EP001347HU1-B |
Recombinant Human Pituitary adenylate cyclase-activating polypeptide type I receptor (ADCYAP1R1), partial | Yeast E.coli Baculovirus Mammalian cell In Vivo Biotinylation in E.coli |
| CSB-CF001347HU | Recombinant Human Pituitary adenylate cyclase-activating polypeptide type I receptor (ADCYAP1R1) | in vitro E.coli expression system |
ADCYAP1R1 Proteins for Rattus norvegicus (Rat)
| 產品貨號 | 產品名稱 | 來源 |
|---|---|---|
| CSB-YP001347RA1 CSB-EP001347RA1 CSB-BP001347RA1 CSB-MP001347RA1 CSB-EP001347RA1-B |
Recombinant Rat Pituitary adenylate cyclase-activating polypeptide type IA receptor (Adcyap1r1), partial | Yeast E.coli Baculovirus Mammalian cell In Vivo Biotinylation in E.coli |
| CSB-CF001347RA | Recombinant Rat Pituitary adenylate cyclase-activating polypeptide type IA receptor (Adcyap1r1) | in vitro E.coli expression system |
ADCYAP1R1 Proteins for Bos taurus (Bovine)
| 產品貨號 | 產品名稱 | 來源 |
|---|---|---|
| CSB-YP642772BO1 CSB-EP642772BO1 CSB-BP642772BO1 CSB-MP642772BO1 CSB-EP642772BO1-B |
Recombinant Bovine Pituitary adenylate cyclase-activating polypeptide type I receptor (ADCYAP1R1), partial | Yeast E.coli Baculovirus Mammalian cell In Vivo Biotinylation in E.coli |
| CSB-CF642772BO | Recombinant Bovine Pituitary adenylate cyclase-activating polypeptide type I receptor (ADCYAP1R1) | in vitro E.coli expression system |






