ADRB1
ADRB1,全稱為β1腎上腺素能受體,是一種位于細胞膜上的蛋白質,主要參與調節心血管系統的功能。該蛋白常見別名包括RHR、B1AR、FNSS2、ADRB1R和BETA1AR。ADRB1蛋白通過與腎上腺素和去甲腎上腺素結合,激活細胞內的信號傳導過程,進而影響心率和血壓等生理指標。在病理情況下,ADRB1基因的突變可能與心力衰竭、高血壓等疾病相關。近年來,針對ADRB1蛋白的藥物研發取得了一定的進展,例如美托洛爾等β受體阻滯劑被廣泛應用于心血管疾病的治療。此外,ADRB1蛋白的表達和功能也受到多種因素的調控,如磷酸化修飾等,這些調控機制對于維持心血管系統的穩態至關重要。
熱銷產品
Recombinant Human Beta-1 adrenergic receptor(ADRB1)-VLPs (CSB-MP001391HU(A4))
驗證數據
CSB-MP001391HU(A4) is detected by Mouse anti-6*His monoclonal antibody.
The purity of VLPs was greater than 95% as determined by SEC-HPLC
ADRB1 Antibody (CSB-PA001391LA01HU)
驗證數據
Western Blot
Positive WB detected in:Mouse Brain tissue lysate,Human Placenta tissue lysate
All lanes: ADRB1 antibody at 1:1000
Secondary
Goat polyclonal to rabbit IgG at 1/50000 dilution
Predicted band size: 52 kDa
Observed band size: 52 kDa
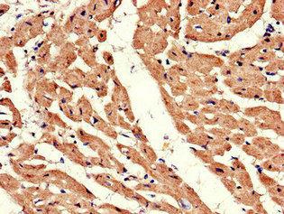
Immunohistochemistry of paraffin-embedded human heart tissue using CSB-PA001391LA01HU at dilution of 1:100
Immunofluorescent analysis of HepG2 cells using CSB-PA001391LA01HU at dilution of 1:100 and Alexa Fluor 488-congugated AffiniPure Goat Anti-Rabbit IgG(H+L)
ADRB1 Antibodies
ADRB1 for Homo sapiens (Human)
| 產品貨號 | 產品名稱 | 種屬反應性 | 應用類型 |
|---|---|---|---|
| CSB-PA000937 | ADRB1 Antibody | Human,Mouse,Rat | WB, IHC, IF, ELISA |
| CSB-PA038144 | ADRB1 Antibody | Human,Mouse,Rat | ELISA,IHC |
| CSB-PA001391LA01HU | ADRB1 Antibody | Human, Mouse | ELISA, WB, IHC, IF |
| CSB-PA001391LC01HU | ADRB1 Antibody, FITC conjugated | Human |
ADRB1 Proteins
ADRB1 Proteins for Canis familiaris (Dog) (Canis lupus familiaris)
| 產品貨號 | 產品名稱 | 來源 |
|---|---|---|
| CSB-YP001391DO1 CSB-EP001391DO1 CSB-BP001391DO1 CSB-MP001391DO1 CSB-EP001391DO1-B |
Recombinant Dog Beta-1 adrenergic receptor (ADRB1), partial | Yeast E.coli Baculovirus Mammalian cell In Vivo Biotinylation in E.coli |
| CSB-CF001391DO | Recombinant Dog Beta-1 adrenergic receptor (ADRB1) | in vitro E.coli expression system |
ADRB1 Proteins for Rattus norvegicus (Rat)
| 產品貨號 | 產品名稱 | 來源 |
|---|---|---|
| CSB-YP001391RA1 CSB-EP001391RA1 CSB-BP001391RA1 CSB-MP001391RA1 CSB-EP001391RA1-B |
Recombinant Rat Beta-1 adrenergic receptor (Adrb1), partial | Yeast E.coli Baculovirus Mammalian cell In Vivo Biotinylation in E.coli |
| CSB-CF001391RA | Recombinant Rat Beta-1 adrenergic receptor (Adrb1) | in vitro E.coli expression system |
ADRB1 Proteins for Mus musculus (Mouse)
| 產品貨號 | 產品名稱 | 來源 |
|---|---|---|
| CSB-YP001391MO1 CSB-EP001391MO1 CSB-BP001391MO1 CSB-MP001391MO1 CSB-EP001391MO1-B |
Recombinant Mouse Beta-1 adrenergic receptor (Adrb1), partial | Yeast E.coli Baculovirus Mammalian cell In Vivo Biotinylation in E.coli |
| CSB-CF001391MO | Recombinant Mouse?Beta-1?adrenergic?receptor (Adrb1) | in vitro E.coli expression system |
ADRB1 Proteins for Macaca mulatta (Rhesus macaque)
| 產品貨號 | 產品名稱 | 來源 |
|---|---|---|
| CSB-YP001391MOW1 CSB-EP001391MOW1 CSB-BP001391MOW1 CSB-MP001391MOW1 CSB-EP001391MOW1-B |
Recombinant Macaca mulatta (Rhesus macaque) Beta-1 adrenergic receptor (ADRB1), partial | Yeast E.coli Baculovirus Mammalian cell In Vivo Biotinylation in E.coli |
| CSB-CF001391MOW | Recombinant Macaca mulatta (Rhesus macaque) Beta-1 adrenergic receptor (ADRB1) | in vitro E.coli expression system |
ADRB1 Proteins for Homo sapiens (Human)
| 產品貨號 | 產品名稱 | 來源 |
|---|---|---|
| CSB-YP001391HU | Recombinant Human Beta-1 adrenergic receptor (ADRB1), partial | Yeast |
| CSB-EP001391HU CSB-BP001391HU CSB-MP001391HU CSB-EP001391HU-B |
Recombinant Human Beta-1 adrenergic receptor (ADRB1), partial | E.coli Baculovirus Mammalian cell In Vivo Biotinylation in E.coli |
| CSB-CF001391HU(A4) | Recombinant Human Beta-1 adrenergic receptor (ADRB1) | in vitro E.coli expression system |
| CSB-MP001391HU(A4) | Recombinant Human Beta-1 adrenergic receptor(ADRB1)-VLPs | Mammalian cell |
ADRB1 Proteins for Meleagris gallopavo (Common turkey)
| 產品貨號 | 產品名稱 | 來源 |
|---|---|---|
| CSB-YP001391MQV1 CSB-EP001391MQV1 CSB-BP001391MQV1 CSB-MP001391MQV1 CSB-EP001391MQV1-B |
Recombinant Meleagris gallopavo Beta-1 adrenergic receptor (ADRB1), partial | Yeast E.coli Baculovirus Mammalian cell In Vivo Biotinylation in E.coli |
| CSB-CF001391MQV | Recombinant Meleagris gallopavo Beta-1 adrenergic receptor (ADRB1) | in vitro E.coli expression system |
ADRB1 Proteins for Xenopus laevis (African clawed frog)
| 產品貨號 | 產品名稱 | 來源 |
|---|---|---|
| CSB-YP001391XBE1 CSB-EP001391XBE1 CSB-BP001391XBE1 CSB-MP001391XBE1 CSB-EP001391XBE1-B |
Recombinant Xenopus laevis Beta-1 adrenergic receptor (adrb1), partial | Yeast E.coli Baculovirus Mammalian cell In Vivo Biotinylation in E.coli |
| CSB-CF001391XBE | Recombinant Xenopus laevis Beta-1 adrenergic receptor (adrb1) | in vitro E.coli expression system |
ADRB1 Proteins for Meriones unguiculatus (Mongolian jird) (Mongolian gerbil)
| 產品貨號 | 產品名稱 | 來源 |
|---|---|---|
| CSB-YP001391MRA1 CSB-EP001391MRA1 CSB-BP001391MRA1 CSB-MP001391MRA1 CSB-EP001391MRA1-B |
Recombinant Meriones unguiculatus Beta-1 adrenergic receptor (ADRB1), partial | Yeast E.coli Baculovirus Mammalian cell In Vivo Biotinylation in E.coli |
| CSB-CF001391MRA | Recombinant Meriones unguiculatus Beta-1 adrenergic receptor (ADRB1) | in vitro E.coli expression system |
ADRB1 Proteins for Ovis aries (Sheep)
| 產品貨號 | 產品名稱 | 來源 |
|---|---|---|
| CSB-YP630703SH1 CSB-EP630703SH1 CSB-BP630703SH1 CSB-MP630703SH1 CSB-EP630703SH1-B |
Recombinant Sheep Beta-1 adrenergic receptor (ADRB1), partial | Yeast E.coli Baculovirus Mammalian cell In Vivo Biotinylation in E.coli |
| CSB-CF630703SH | Recombinant Sheep Beta-1 adrenergic receptor (ADRB1) | in vitro E.coli expression system |
ADRB1 Proteins for Sus scrofa (Pig)
| 產品貨號 | 產品名稱 | 來源 |
|---|---|---|
| CSB-YP632994PI1 CSB-EP632994PI1 CSB-BP632994PI1 CSB-MP632994PI1 CSB-EP632994PI1-B |
Recombinant Pig Beta-1 adrenergic receptor (ADRB1), partial | Yeast E.coli Baculovirus Mammalian cell In Vivo Biotinylation in E.coli |
| CSB-CF632994PI | Recombinant Pig Beta-1 adrenergic receptor (ADRB1) | in vitro E.coli expression system |
ADRB1 Proteins for Felis catus (Cat) (Felis silvestris catus)
| 產品貨號 | 產品名稱 | 來源 |
|---|---|---|
| CSB-YP874669CA1 CSB-EP874669CA1 CSB-BP874669CA1 CSB-MP874669CA1 CSB-EP874669CA1-B |
Recombinant Cat Beta-1 adrenergic receptor (ADRB1), partial | Yeast E.coli Baculovirus Mammalian cell In Vivo Biotinylation in E.coli |
| CSB-CF874669CA | Recombinant Cat Beta-1 adrenergic receptor (ADRB1) | in vitro E.coli expression system |
ADRB1 Proteins for Bos taurus (Bovine)
| 產品貨號 | 產品名稱 | 來源 |
|---|---|---|
| CSB-YP886934BO1 CSB-EP886934BO1 CSB-BP886934BO1 CSB-MP886934BO1 CSB-EP886934BO1-B |
Recombinant Bovine Beta-1 adrenergic receptor (ADRB1), partial | Yeast E.coli Baculovirus Mammalian cell In Vivo Biotinylation in E.coli |
| CSB-CF886934BO | Recombinant Bovine Beta-1 adrenergic receptor (ADRB1) | in vitro E.coli expression system |






