AOAH
AOAH,全稱為酰基羧酸水解酶,是一種在多種細胞中表達的酶。它具有多種酶活性,包括磷脂酶、溶血磷脂酶和二酰甘油脂肪酶等。AOAH蛋白在抗感染過程中發揮著重要作用,能夠特異性地清除具有免疫抑制作用的四烯酸卵磷脂及其氧化物,從而增強T細胞受體對弱抗原的敏感性,并恢復樹突狀細胞的抗原遞呈功能。此外,AOAH蛋白還能促進樹突狀細胞的功能和在腫瘤中的浸潤,有助于提高免疫治療效果。目前,AOAH蛋白已被發現與多種疾病相關,包括感染性疾病、自身免疫性疾病、慢性炎癥性疾病等。在藥物研發方面,AOAH蛋白已被用于開發新型免疫治療藥物,如肽偶聯藥物(PDC)和肽偶聯核素藥物(RDC),這些藥物在治療癌癥方面顯示出良好的效果。
熱銷產品
Recombinant Human Acyloxyacyl hydrolase (AOAH) (CSB-EP001853HU)
驗證數據
(Tris-Glycine gel) Discontinuous SDS-PAGE (reduced) with 5% enrichment gel and 15% separation gel.
AOAH Antibody (CSB-PA001853LA01HU)
驗證數據
Western Blot
Positive WB detected in:Mouse Brain tissue lysate
All lanes: AOAH antibody at 1:1000
Secondary
Goat polyclonal to rabbit IgG at 1/50000 dilution
Predicted band size: 66 kDa
Observed band size: 66 kDa
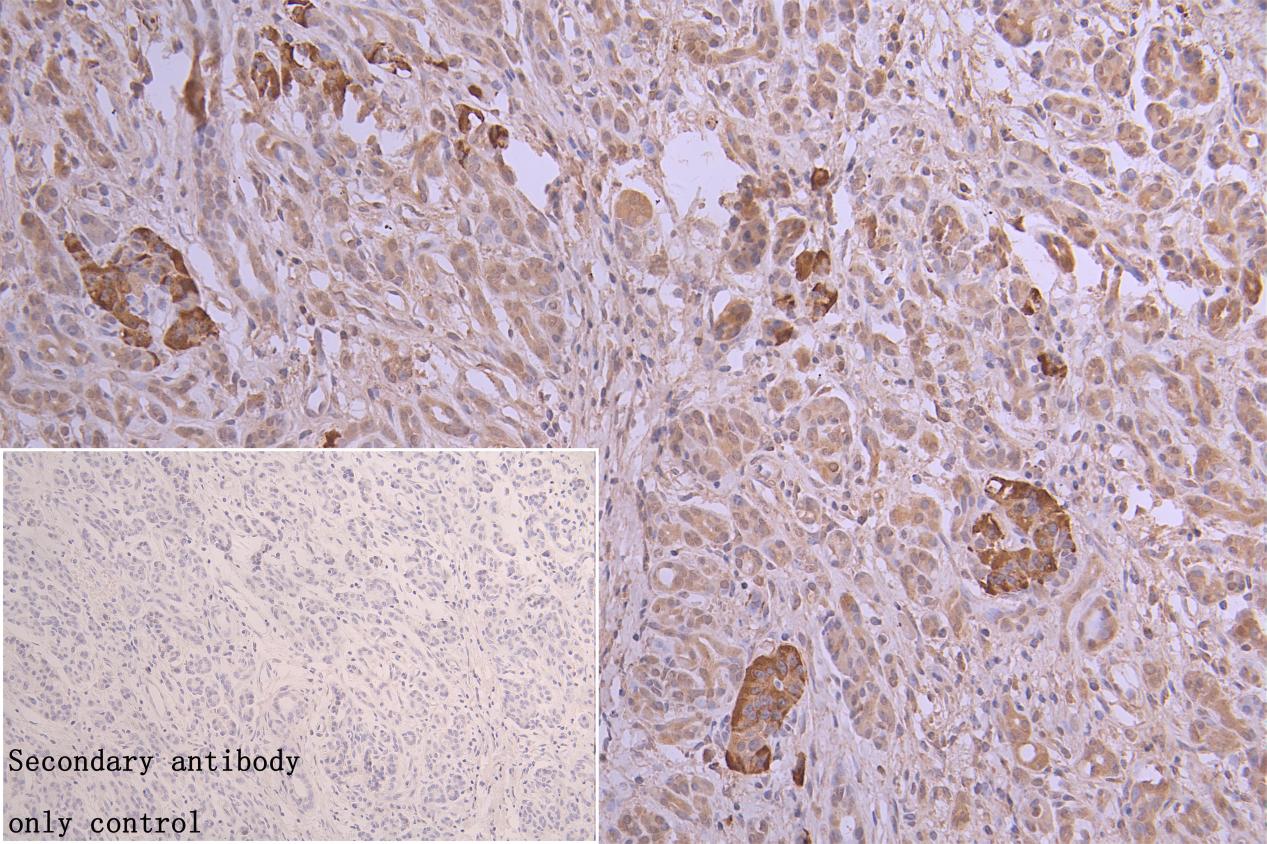
IHC image of CSB-PA001853LA01HU diluted at 1:100 and staining in paraffin-embedded human pancreatic cancer performed on a Leica BondTM system. After dewaxing and hydration, antigen retrieval was mediated by high pressure in a citrate buffer (pH 6.0). Section was blocked with 10% normal goat serum 30min at RT. Then primary antibody (1% BSA) was incubated at 4°C overnight. The primary is detected by a Goat anti-rabbit polymer IgG labeled by HRP and visualized using 0.05% DAB. Secondary antibody only control: uses 1% BSA instead of primary antibody
Human Acyloxyacyl hydrolase(AOAH) ELISA kit (CSB-EL001853HU)
驗證數據
貨號:CSB-EL001853HU
規格:96T/48T
靈敏度:0.039 ng/mL
檢測范圍:0.156 ng/mL-10 ng/mL
These standard curves are provided for demonstration only. A standard curve should be generated for each set of samples assayed.
AOAH Antibodies
AOAH for Homo sapiens (Human)
| 產品貨號 | 產品名稱 | 種屬反應性 | 應用類型 |
|---|---|---|---|
| CSB-PA001853LA01HU | AOAH Antibody | Human, Mouse | Application:ELISA, Mouse(WB),Human(IHC) |
| CSB-PA001853LC01HU | AOAH Antibody, FITC conjugated | Human | |
| CSB-PA001853LD01HU | AOAH Antibody, Biotin conjugated | Human | ELISA |
AOAH Proteins
AOAH Proteins for Homo sapiens (Human)
| 產品貨號 | 產品名稱 | 來源 |
|---|---|---|
| CSB-YP001853HU CSB-BP001853HU CSB-MP001853HU CSB-EP001853HU-B |
Recombinant Human Acyloxyacyl hydrolase (AOAH) | Yeast Baculovirus Mammalian cell In Vivo Biotinylation in E.coli |
| CSB-EP001853HU | Recombinant Human Acyloxyacyl hydrolase (AOAH) | E.coli |
| CSB-EP001853HUa2 | Recombinant Human Acyloxyacyl hydrolase (AOAH) | E.coli |
AOAH ELISA Kit
AOAH ELISA Kit for Homo sapiens (Human)
| 產品貨號 | 產品名稱 | 樣本類型 | 靈敏度 |
|---|---|---|---|
| CSB-EL001853HU | Human Acyloxyacyl hydrolase(AOAH) ELISA kit | serum, plasma, tissue homogenates, cell lysates | 0.039 ng/mL |






