APOBEC3D
APOBEC3D,全稱為載脂蛋白B mRNA編輯酶催化亞基3D,是一種胞苷脫氨酶家族成員。它具有抑制逆轉錄病毒如HIV的能力,通過脫氨基作用改變新生逆轉錄病毒cDNA中的胞嘧啶殘基。APOBEC3D在淋巴組織和脾臟中廣泛表達,并與多種疾病相關,包括癌癥和遺傳性疾病。目前,針對APOBEC3D的藥物研發正在推進,旨在開發新的抗病毒和抗癌療法。
熱銷產品
APOBEC3D Antibody (CSB-PA846585LA01HU)
驗證數據
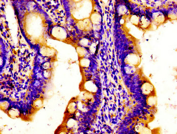
Immunohistochemistry of paraffin-embedded human small intestine tissue using CSB-PA846585LA01HU at dilution of 1:100
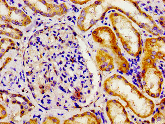
Immunohistochemistry of paraffin-embedded human kidney tissue using CSB-PA846585LA01HU at dilution of 1:100
Immunofluorescence staining of Hela cells with CSB-PA846585LA01HU at 1:133, counter-stained with DAPI. The cells were fixed in 4% formaldehyde, permeabilized using 0.2% Triton X-100 and blocked in 10% normal Goat Serum. The cells were then incubated with the antibody overnight at 4°C. The secondary antibody was Alexa Fluor 488-congugated AffiniPure Goat Anti-Rabbit IgG(H+L).
APOBEC3D Antibodies
APOBEC3D for Homo sapiens (Human)
| 產品貨號 | 產品名稱 | 種屬反應性 | 應用類型 |
|---|---|---|---|
| CSB-PA620593 | APOBEC3D Antibody | Human,Mouse | ELISA,WB,IHC |
| CSB-PA846585LA01HU | APOBEC3D Antibody | Human | ELISA, IHC, IF |
APOBEC3D Proteins
APOBEC3D Proteins for Homo sapiens (Human)
| 產品貨號 | 產品名稱 | 來源 |
|---|---|---|
| CSB-YP846585HU CSB-EP846585HU CSB-BP846585HU CSB-MP846585HU CSB-EP846585HU-B |
Recombinant Human Probable DNA dC->dU-editing enzyme APOBEC-3D (APOBEC3D) | Yeast E.coli Baculovirus Mammalian cell In Vivo Biotinylation in E.coli |






