ATP1A1
ATP1A1,即鈉/鉀依賴性ATP酶α亞基,別名A1A1、AT1A1、Atpa-1。ATP1A1由人類ATP1A1基因編碼,該基因位于1號染色體的p13.1區域。ATP1A1是一種跨膜蛋白,屬于ATP酶家族,主要功能是促進細胞內ATP的水解,從而為細胞提供能量,并維持細胞內外的鈉和鉀離子濃度梯度,這對于細胞的靜息膜電位和離子穩態至關重要。ATP1A1作為鈉/鉀ATP酶的催化亞單位,通過水解ATP來驅動鈉和鉀的轉運,維持細胞的電化學梯度,為主動運輸各種營養物質提供能量。ATP1A1在多種生理過程中發揮作用,包括神經傳導、肌肉收縮、細胞信號傳導等,并且它也是藥物研發和生物醫學研究中的重要靶點或生物標志物。
熱銷產品
ATP1A1 Recombinant Monoclonal Antibody (CSB-RA796310A0HU)
驗證數據
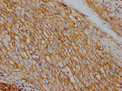
IHC image of CSB-RA796310A0HU diluted at 1:100 and staining in paraffin-embedded human liver cancer performed on a Leica BondTM system. After dewaxing and hydration, antigen retrieval was mediated by high pressure in a citrate buffer (pH 6.0). Section was blocked with 10% normal goat serum 30min at RT. Then primary antibody (1% BSA) was incubated at 4℃ overnight. The primary is detected by a Goat anti-rabbit IgG polymer labeled by HRP and visualized using 0.05% DAB.
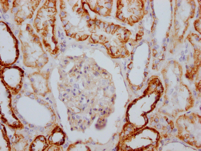
IHC image of CSB-RA796310A0HU diluted at 1:100 and staining in paraffin-embedded human kidney tissue performed on a Leica BondTM system. After dewaxing and hydration, antigen retrieval was mediated by high pressure in a citrate buffer (pH 6.0). Section was blocked with 10% normal goat serum 30min at RT. Then primary antibody (1% BSA) was incubated at 4℃ overnight. The primary is detected by a Goat anti-rabbit IgG polymer labeled by HRP and visualized using 0.05% DAB.
Human Sodium/potassium-transporting ATPase subunit alpha-1(ATP1A1) ELISA kit (CSB-EL002322HU)
驗證數據
貨號:CSB-EL002322HU
規格:96T/48T
靈敏度:3.9 pg/mL
檢測范圍:15.6 pg/mL-1000 pg/mL
These standard curves are provided for demonstration only. A standard curve should be generated for each set of samples assayed.
ATP1A1 Antibodies
ATP1A1 for Homo sapiens (Human)
| 產品貨號 | 產品名稱 | 種屬反應性 | 應用類型 |
|---|---|---|---|
| CSB-PA002322GA01HU | ATP1A1 Antibody | Human,Mouse,Rat | ELISA,WB |
| CSB-PA947783 | ATP1A1 Antibody | Human,Mouse,Rat | ELISA,WB,IHC |
| CSB-PA909235 | Phospho-ATP1A1 (Ser23) Antibody | Rat | ELISA,WB |
| CSB-PA003364 | ATP1A1 Antibody | Human,Mouse,Rat | WB, ELISA |
| CSB-PA020055 | Phospho-ATP1A1 (S16) Antibody | Human,Mouse,Rat | WB, IHC, ELISA |
| CSB-PA100516 | ATP1A1 Antibody | Human,Mouse,Rat | ELISA,IHC |
| CSB-PA695367 | ATP1A1 Antibody | Human,Mouse,Rat | ELISA,IHC |
| CSB-PA18129A0Rb | ATP1A1 Antibody | Human | ELISA, IHC, IF |
| CSB-PA18129C0Rb | ATP1A1 Antibody, FITC conjugated | Human | |
| CSB-RA796310A0HU | ATP1A1 Recombinant Monoclonal Antibody | Human | ELISA, IHC |
ATP1A1 for Rattus norvegicus (Rat)
| 產品貨號 | 產品名稱 | 種屬反應性 | 應用類型 |
|---|---|---|---|
| CSB-PA779386 | Atp1a1 (Ab-23) Antibody | Human,Rat | ELISA,WB,IF |
| CSB-PA006343 | Phospho-ATP1A1 (S23) Antibody | Rat | WB, IF, ELISA |
ATP1A1 Proteins
ATP1A1 Proteins for Equus caballus (Horse)
| 產品貨號 | 產品名稱 | 來源 |
|---|---|---|
| CSB-YP002322HO CSB-EP002322HO CSB-BP002322HO CSB-MP002322HO CSB-EP002322HO-B |
Recombinant Horse Sodium/potassium-transporting ATPase subunit alpha-1 (ATP1A1), partial | Yeast E.coli Baculovirus Mammalian cell In Vivo Biotinylation in E.coli |
ATP1A1 Proteins for Canis familiaris (Dog) (Canis lupus familiaris)
| 產品貨號 | 產品名稱 | 來源 |
|---|---|---|
| CSB-YP002322DO CSB-EP002322DO CSB-BP002322DO CSB-MP002322DO CSB-EP002322DO-B |
Recombinant Dog Sodium/potassium-transporting ATPase subunit alpha-1 (ATP1A1), partial | Yeast E.coli Baculovirus Mammalian cell In Vivo Biotinylation in E.coli |
ATP1A1 Proteins for Ovis aries (Sheep)
| 產品貨號 | 產品名稱 | 來源 |
|---|---|---|
| CSB-YP002322SH CSB-EP002322SH CSB-BP002322SH CSB-MP002322SH CSB-EP002322SH-B |
Recombinant Sheep Sodium/potassium-transporting ATPase subunit alpha-1 (ATP1A1), partial | Yeast E.coli Baculovirus Mammalian cell In Vivo Biotinylation in E.coli |
ATP1A1 Proteins for Sus scrofa (Pig)
| 產品貨號 | 產品名稱 | 來源 |
|---|---|---|
| CSB-YP002322PI CSB-EP002322PI CSB-BP002322PI CSB-MP002322PI CSB-EP002322PI-B |
Recombinant Pig Sodium/potassium-transporting ATPase subunit alpha-1 (ATP1A1), partial | Yeast E.coli Baculovirus Mammalian cell In Vivo Biotinylation in E.coli |
ATP1A1 Proteins for Homo sapiens (Human)
| 產品貨號 | 產品名稱 | 來源 |
|---|---|---|
| CSB-YP002322HU CSB-EP002322HU CSB-BP002322HU CSB-EP002322HU-B |
Recombinant Human Sodium/potassium-transporting ATPase subunit alpha-1 (ATP1A1), partial | Yeast E.coli Baculovirus In Vivo Biotinylation in E.coli |
| CSB-MP002322HU | Recombinant Human Sodium/potassium-transporting ATPase subunit alpha-1 (ATP1A1), partial | Mammalian cell |
| CSB-EP002322HUb1 | Recombinant Human Sodium/potassium-transporting ATPase subunit alpha-1 (ATP1A1), partial | E.coli |
ATP1A1 Proteins for Gallus gallus (Chicken)
| 產品貨號 | 產品名稱 | 來源 |
|---|---|---|
| CSB-YP002322CH CSB-EP002322CH CSB-BP002322CH CSB-MP002322CH CSB-EP002322CH-B |
Recombinant Chicken Sodium/potassium-transporting ATPase subunit alpha-1 (ATP1A1), partial | Yeast E.coli Baculovirus Mammalian cell In Vivo Biotinylation in E.coli |
ATP1A1 Proteins for Catostomus commersonii (White sucker)
| 產品貨號 | 產品名稱 | 來源 |
|---|---|---|
| CSB-YP002322CEV CSB-EP002322CEV CSB-BP002322CEV CSB-MP002322CEV CSB-EP002322CEV-B |
Recombinant Catostomus commersonii Sodium/potassium-transporting ATPase subunit alpha-1 (atp1a1), partial | Yeast E.coli Baculovirus Mammalian cell In Vivo Biotinylation in E.coli |
ATP1A1 Proteins for Bufo marinus (Giant toad) (Cane toad)
| 產品貨號 | 產品名稱 | 來源 |
|---|---|---|
| CSB-YP002322BXI CSB-EP002322BXI CSB-BP002322BXI CSB-MP002322BXI CSB-EP002322BXI-B |
Recombinant Bufo marinus Sodium/potassium-transporting ATPase subunit alpha-1 (ATP1A1), partial | Yeast E.coli Baculovirus Mammalian cell In Vivo Biotinylation in E.coli |
ATP1A1 Proteins for Pongo abelii (Sumatran orangutan)
| 產品貨號 | 產品名稱 | 來源 |
|---|---|---|
| CSB-YP729074PYX CSB-EP729074PYX CSB-BP729074PYX CSB-MP729074PYX CSB-EP729074PYX-B |
Recombinant Pongo abelii Sodium/potassium-transporting ATPase subunit alpha-1 (ATP1A1), partial | Yeast E.coli Baculovirus Mammalian cell In Vivo Biotinylation in E.coli |
ATP1A1 Proteins for Xenopus laevis (African clawed frog)
| 產品貨號 | 產品名稱 | 來源 |
|---|---|---|
| CSB-YP821627XBE CSB-EP821627XBE CSB-BP821627XBE CSB-MP821627XBE CSB-EP821627XBE-B |
Recombinant Xenopus laevis Sodium/potassium-transporting ATPase subunit alpha-1 (atp1a1), partial | Yeast E.coli Baculovirus Mammalian cell In Vivo Biotinylation in E.coli |
ATP1A1 Proteins for Mus musculus (Mouse)
| 產品貨號 | 產品名稱 | 來源 |
|---|---|---|
| CSB-YP851831MO CSB-BP851831MO CSB-MP851831MO CSB-EP851831MO-B |
Recombinant Mouse Sodium/potassium-transporting ATPase subunit alpha-1 (Atp1a1), partial | Yeast Baculovirus Mammalian cell In Vivo Biotinylation in E.coli |
ATP1A1 Proteins for Anguilla anguilla (European freshwater eel) (Muraena anguilla)
| 產品貨號 | 產品名稱 | 來源 |
|---|---|---|
| CSB-YP856344BZF CSB-EP856344BZF CSB-BP856344BZF CSB-MP856344BZF CSB-EP856344BZF-B |
Recombinant Anguilla anguilla Sodium/potassium-transporting ATPase subunit alpha-1 (atp1a1), partial | Yeast E.coli Baculovirus Mammalian cell In Vivo Biotinylation in E.coli |
ATP1A1 Proteins for Oryctolagus cuniculus (Rabbit)
| 產品貨號 | 產品名稱 | 來源 |
|---|---|---|
| CSB-YP882011RB CSB-EP882011RB CSB-BP882011RB CSB-MP882011RB CSB-EP882011RB-B |
Recombinant Rabbit Sodium/potassium-transporting ATPase subunit alpha-1 (ATP1A1), partial | Yeast E.coli Baculovirus Mammalian cell In Vivo Biotinylation in E.coli |
ATP1A1 ELISA Kit
ATP1A1 ELISA Kit for Homo sapiens (Human)
| 產品貨號 | 產品名稱 | 樣本類型 | 靈敏度 |
|---|---|---|---|
| CSB-EL002322HU | Human Sodium/potassium-transporting ATPase subunit alpha-1(ATP1A1) ELISA kit | serum, plasma, tissue homogenates, cell lysates | 3.9 pg/mL |
ATP1A1 ELISA Kit for Rattus norvegicus (Rat)
| 產品貨號 | 產品名稱 | 樣本類型 | 靈敏度 |
|---|---|---|---|
| CSB-EL002322RA | Rat Sodium/potassium-transporting ATPase subunit alpha-1(ATP1A1) ELISA kit | serum, plasma, tissue homogenates, cell lysates | 7.8 pg/mL |






