CCL28
CCL28,也稱為粘膜相關上皮趨化因子(MEC),是一種參與粘膜免疫的細胞因子。它最初在粘膜組織中被發現,與IgA抗體的分泌有關。CCL28可以與CCR3和CCR10受體結合,介導免疫反應和病毒感染。CCL28在多種粘膜部位表達,包括唾液腺、乳腺、氣管和結腸等。它還在人類的脾臟和肺中有表達。研究表明,CCL28在類風濕關節炎、炎癥性腸病和潰瘍性結腸炎等炎癥性疾病中表達上調。此外,CCL28也在乳腺癌中高表達。目前,針對CCL28的藥物研發主要集中在抑制其與受體的結合或調節其表達,以治療炎癥性疾病和腫瘤。
熱銷產品
CCL28 Antibody (CSB-PA868302ESR1HU)
驗證數據
Western blot
All lanes: C-C motif chemokine 28 antibody at 5μg/ml + Mouse spleen tissue
Secondary
Goat polyclonal to rabbit IgG at 1/10000 dilution
Predicted band size: 15, 13 kDa
Observed band size: 15 kDa
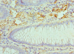
Immunohistochemistry of paraffin-embedded human salivary gland tissue using CSB-PA868302ESR1HU at dilution of 1:100
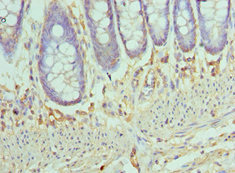
Immunohistochemistry of paraffin-embedded human colon tissue using CSB-PA868302ESR1HU at dilution of 1:100
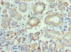
Immunohistochemistry of paraffin-embedded human colon cancer using CSB-PA868302ESR1HU at dilution of 1:100
Human mucosae associated epithelia chemokine,MEC ELISA Kit (CSB-E07310h)
驗證數據
貨號:CSB-E07310h
規格:96T/48T
靈敏度:19.5 pg/ml
檢測范圍:78 pg/ml - 5000 pg/ml
These standard curves are provided for demonstration only. A standard curve should be generated for each set of samples assayed.
CCL28 Antibodies
CCL28 for Homo sapiens (Human)
| 產品貨號 | 產品名稱 | 種屬反應性 | 應用類型 |
|---|---|---|---|
| CSB-PA004792GA01HU | CCL28 Antibody | Human | ELISA,WB,IHC |
| CSB-PA868302ESR1HU | CCL28 Antibody | Human, Mouse | ELISA, WB, IHC |
| CSB-PA868302ESR2HU | CCL28 Antibody | Human | ELISA, IHC |
| CSB-PA975229 | CCL28 Antibody | Human | ELISA,WB |
CCL28 Proteins
CCL28 Proteins for Canis familiaris (Dog) (Canis lupus familiaris)
| 產品貨號 | 產品名稱 | 來源 |
|---|---|---|
| CSB-YP724246DO CSB-EP724246DO CSB-BP724246DO CSB-MP724246DO CSB-EP724246DO-B |
Recombinant Dog C-C motif chemokine 28 (CCL28) | Yeast E.coli Baculovirus Mammalian cell In Vivo Biotinylation in E.coli |
CCL28 Proteins for Mus musculus (Mouse)
| 產品貨號 | 產品名稱 | 來源 |
|---|---|---|
| CSB-YP867488MO CSB-EP867488MO CSB-BP867488MO CSB-MP867488MO CSB-EP867488MO-B |
Recombinant Mouse C-C motif chemokine 28 (Ccl28) | Yeast E.coli Baculovirus Mammalian cell In Vivo Biotinylation in E.coli |
| CSB-AP001081MO | Recombinant Mouse C-C motif chemokine 28 protein (Ccl28), partial (Active) | E.Coli |
CCL28 Proteins for Homo sapiens (Human)
| 產品貨號 | 產品名稱 | 來源 |
|---|---|---|
| CSB-YP868302HU CSB-EP868302HU CSB-BP868302HU CSB-MP868302HU CSB-EP868302HU-B |
Recombinant Human C-C motif chemokine 28 (CCL28) | Yeast E.coli Baculovirus Mammalian cell In Vivo Biotinylation in E.coli |
| CSB-AP001011HU | Recombinant Human C-C motif chemokine 28 protein (CCL28) | E.Coli |
CCL28 ELISA Kit
CCL28 ELISA Kit for Homo sapiens (Human)
| 產品貨號 | 產品名稱 | 樣本類型 | 靈敏度 |
|---|---|---|---|
| CSB-E07310h | Human mucosae associated epithelia chemokine,MEC ELISA Kit | serum, plasma, tissue homogenates | 19.5 pg/ml |
CCL28 ELISA Kit for Mus musculus (Mouse)
| 產品貨號 | 產品名稱 | 樣本類型 | 靈敏度 |
|---|---|---|---|
| CSB-EL004792MO | Mouse C-C motif chemokine 28(CCL28) ELISA kit | serum, plasma, tissue homogenates | 19.5 pg/ml |






