CD160
CD160蛋白全稱為分化簇160分子,也被稱為BY55或NK1,是一種主要表達于自然殺傷細胞和部分T細胞表面的膜蛋白。該蛋白通過識別特定配體參與免疫調控,在抗感染和抗腫瘤應答中具有雙向調節功能。研究表明,它與皰疹病毒侵入介質(HVEM)等分子存在相互作用,既能增強免疫細胞的殺傷活性,也可能在特定微環境下傳遞抑制信號,這種特性使其成為免疫平衡的關鍵參與者。CD160的表達異常與實體瘤免疫逃逸、慢性病毒感染引發的免疫耗竭密切相關,在肝癌、結直腸癌等惡性腫瘤微環境中常呈現高表達特征。針對該靶點的藥物開發尚處于早期階段,已有研究團隊設計出阻斷性抗體用于逆轉T細胞功能衰竭,部分候選藥物在動物模型中顯示出增強抗病毒免疫的潛力。此外,CD160在動脈粥樣硬化斑塊內的免疫細胞中異常活躍,提示其可能參與心血管疾病的炎癥進程,相關調控策略正在探索中。
熱銷產品
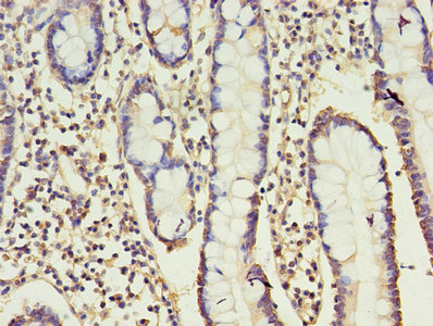
CD160 Antibody (CSB-PA004881EA01HU)
驗證數據
Immunohistochemistry of paraffin-embedded human small intestine tissue using CSB-PA004881EA01HU at dilution of 1:100
Human CD160 antigen(CD160) ELISA kit (CSB-EL004881HU)
驗證數據
貨號:CSB-EL004881HU
規格:96T/48T
靈敏度:0.156 ng/mL
檢測范圍:0.625 ng/mL-40 ng/mL
These standard curves are provided for demonstration only. A standard curve should be generated for each set of samples assayed.
CD160 Antibodies
CD160 for Homo sapiens (Human)
| 產品貨號 | 產品名稱 | 種屬反應性 | 應用類型 |
|---|---|---|---|
| CSB-PA004881EA01HU | CD160 Antibody | Human | ELISA, IHC |
| CSB-PA001426 | CD160 Antibody | Human | WB, IF, ELISA |
| CSB-PA005323 | CD160 Antibody | Human | WB, ELISA |
| CSB-PA787597 | CD160 Antibody | Human | ELISA,WB,IHC |
| CSB-PA974344 | CD160 Antibody | Human | ELISA,WB,IHC |
CD160 Proteins
CD160 Proteins for Homo sapiens (Human)
| 產品貨號 | 產品名稱 | 來源 |
|---|---|---|
| CSB-YP004881HU CSB-EP004881HU CSB-BP004881HU CSB-MP004881HU CSB-EP004881HU-B |
Recombinant Human CD160 antigen (CD160) | Yeast E.coli Baculovirus Mammalian cell In Vivo Biotinylation in E.coli |
| CSB-AP005221HU | Recombinant Human CD160 antigen (CD160) (Active) | Mammalian cell |
CD160 Proteins for Mus musculus (Mouse)
| 產品貨號 | 產品名稱 | 來源 |
|---|---|---|
| CSB-YP004881MO CSB-EP004881MO CSB-BP004881MO CSB-MP004881MO CSB-EP004881MO-B |
Recombinant Mouse CD160 antigen (Cd160) | Yeast E.coli Baculovirus Mammalian cell In Vivo Biotinylation in E.coli |
CD160 ELISA Kit
CD160 ELISA Kit for Homo sapiens (Human)
| 產品貨號 | 產品名稱 | 樣本類型 | 靈敏度 |
|---|---|---|---|
| CSB-EL004881HU | Human CD160 antigen(CD160) ELISA kit | serum, plasma, tissue homogenates | 0.156 ng/mL |






