CD209
CD209,也稱為DC-SIGN,是一種在未成熟樹突狀細胞上表達的跨膜蛋白。它是一種C型凝集素,能夠識別并結合病原體表面的甘露糖和巖藻糖等糖類分子,從而在啟動初級免疫反應中發揮重要作用。CD209在識別病原體后,可以介導其內吞作用,并在溶酶體中降解病原體。此外,CD209還與多種疾病相關,包括COVID-19感染后的2型糖尿病。在藥物研發方面,CD209作為潛在的靶點,其相關藥物研發正在進展中,旨在開發能夠針對CD209的藥物,以治療相關疾病。
熱銷產品
CD209 Antibody (CSB-PA873604LA01HU)
驗證數據
Western Blot
Positive WB detected in: Mouse heart tissue, Mouse liver tissue, Mouse spleen tissue, Mouse lung tissue, Mouse kidney tissue
All lanes: CD209 antibody at 4μg/ml
Secondary
Goat polyclonal to rabbit IgG at 1/50000 dilution
Predicted band size: 46, 36, 19, 44, 42, 31, 5, 38, 34 kDa
Observed band size: 46 kDa
Immunohistochemistry of paraffin-embedded human lung tissue using CSB-PA873604LA01HU at dilution of 1:100
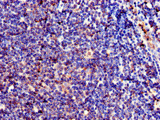
Immunohistochemistry of paraffin-embedded human lymph node tissue using CSB-PA873604LA01HU at dilution of 1:100
Immunofluorescent analysis of HepG2 cells using CSB-PA873604LA01HU at dilution of 1:100 and Alexa Fluor 488-congugated AffiniPure Goat Anti-Rabbit IgG(H+L)
CD209 Antibodies
CD209 for Homo sapiens (Human)
| 產品貨號 | 產品名稱 | 種屬反應性 | 應用類型 |
|---|---|---|---|
| CSB-PA143864 | CD209 Antibody | Human | ELISA,WB |
| CSB-PA006293 | CD209 Antibody | Human,Mouse,Rat | WB, ELISA |
| CSB-PA873604LA01HU | CD209 Antibody | Human, Mouse | ELISA, WB, IHC, IF |
CD209 Proteins
CD209 Proteins for Homo sapiens (Human)
| 產品貨號 | 產品名稱 | 來源 |
|---|---|---|
| CSB-YP873604HU CSB-EP873604HU CSB-BP873604HU CSB-MP873604HU CSB-EP873604HU-B |
Recombinant Human CD209 antigen (CD209), partial | Yeast E.coli Baculovirus Mammalian cell In Vivo Biotinylation in E.coli |






