CD36
CD36,即血小板糖蛋白IV,別名GP4、SCARB3、CD36。它是一種由CD36基因編碼的跨膜糖蛋白,屬于清道夫受體家族成員,主要在多種細胞類型中表達,包括巨噬細胞、單核細胞、血小板等。CD36的作用機制涉及與多種配體的結合,如氧化低密度脂蛋白(oxLDL)、長鏈脂肪酸、膠質細胞和某些病原體,參與調節脂質代謝、炎癥反應、細胞黏附和吞噬作用。CD36的功能異常與多種疾病有關,例如,CD36在巨噬細胞中的表達增加與泡沫細胞形成有關,這是動脈粥樣硬化的一個特征。此外,CD36也在某些癌癥中表達,可能與腫瘤細胞的增殖和轉移能力有關。
熱銷產品
Recombinant Human Platelet glycoprotein 4 (CD36)-VLPs, Fluorescent (CSB-MP004927HU)
驗證數據
CSB-MP004927HU is detected by Mouse anti-GFP monoclonal antibody.
CD36 Recombinant Monoclonal Antibody (CSB-RA097934A0HU)
驗證數據
IHC image of CSB-RA097934A0HU diluted at 1:100 and staining in paraffin-embedded human spleen tissue performed on a Leica BondTM system. After dewaxing and hydration, antigen retrieval was mediated by high pressure in a citrate buffer (pH 6.0). Section was blocked with 10% normal goat serum 30min at RT. Then primary antibody (1% BSA) was incubated at 4°C overnight. The primary is detected by a Goat anti-rabbit polymer IgG labeled by HRP and visualized using 0.25% DAB.
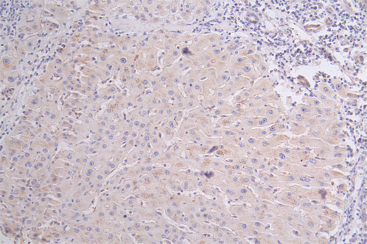
IHC image of CSB-RA097934A0HU diluted at 1:100 and staining in paraffin-embedded human liver cancer performed on a Leica BondTM system. After dewaxing and hydration, antigen retrieval was mediated by high pressure in a citrate buffer (pH 6.0). Section was blocked with 10% normal goat serum 30min at RT. Then primary antibody (1% BSA) was incubated at 4°C overnight. The primary is detected by a Goat anti-rabbit polymer IgG labeled by HRP and visualized using 0.25% DAB.
CD36 Antibodies
CD36 for Homo sapiens (Human)
| 產品貨號 | 產品名稱 | 種屬反應性 | 應用類型 |
|---|---|---|---|
| CSB-PA004927GA01HU | CD36 Antibody | Human,Mouse | ELISA,IHC |
| CSB-PA006183 | CD36 Antibody | Human,Mouse,Rat | WB, ELISA |
| CSB-PA616030 | CD36 Antibody | Human | ELISA,WB,IHC |
| CSB-PA569109 | CD36 Antibody | Human | ELISA,IHC |
| CSB-PA09479A0Rb | CD36 Antibody | Human, Mouse | ELISA, WB, IHC, IF |
| CSB-PA09479B0Rb | CD36 Antibody, HRP conjugated | Human | ELISA |
| CSB-PA09479D0Rb | CD36 Antibody, Biotin conjugated | Human | ELISA |
| CSB-RA097934A0HU | CD36 Recombinant Monoclonal Antibody | Human | ELISA, IHC |
CD36 Proteins
CD36 Proteins for Homo sapiens (Human)
| 產品貨號 | 產品名稱 | 來源 |
|---|---|---|
| CSB-YP004927HU1 CSB-EP004927HU1 CSB-BP004927HU1 CSB-MP004927HU1 CSB-EP004927HU1-B |
Recombinant Human Platelet glycoprotein 4 (CD36), partial | Yeast E.coli Baculovirus Mammalian cell In Vivo Biotinylation in E.coli |
| CSB-CF004927HU | Recombinant Human Platelet glycoprotein 4 (CD36) | in vitro E.coli expression system |
| CSB-MP004927HU | Recombinant Human Platelet glycoprotein 4 (CD36)-VLPs, Fluorescent | Mammalian cell |
CD36 Proteins for Bos taurus (Bovine)
| 產品貨號 | 產品名稱 | 來源 |
|---|---|---|
| CSB-YP004927BO1 CSB-EP004927BO1 CSB-BP004927BO1 CSB-MP004927BO1 CSB-EP004927BO1-B |
Recombinant Bovine Platelet glycoprotein 4 (CD36), partial | Yeast E.coli Baculovirus Mammalian cell In Vivo Biotinylation in E.coli |
| CSB-CF004927BO | Recombinant Bovine Platelet glycoprotein 4 (CD36) | in vitro E.coli expression system |
CD36 Proteins for Mesocricetus auratus (Golden hamster)
| 產品貨號 | 產品名稱 | 來源 |
|---|---|---|
| CSB-YP004927MRG1 CSB-EP004927MRG1 CSB-BP004927MRG1 CSB-MP004927MRG1 CSB-EP004927MRG1-B |
Recombinant Mesocricetus auratus Platelet glycoprotein 4 (CD36), partial | Yeast E.coli Baculovirus Mammalian cell In Vivo Biotinylation in E.coli |
| CSB-CF004927MRG | Recombinant Mesocricetus auratus Platelet glycoprotein 4 (CD36) | in vitro E.coli expression system |
CD36 Proteins for Mus musculus (Mouse)
| 產品貨號 | 產品名稱 | 來源 |
|---|---|---|
| CSB-YP600143MO CSB-EP600143MO CSB-BP600143MO CSB-MP600143MO CSB-EP600143MO-B |
Recombinant Mouse Platelet glycoprotein 4 (Cd36), partial | Yeast E.coli Baculovirus Mammalian cell In Vivo Biotinylation in E.coli |
CD36 ELISA Kit
CD36 ELISA Kit for Homo sapiens (Human)
| 產品貨號 | 產品名稱 | 樣本類型 | 靈敏度 |
|---|---|---|---|
| CSB-E10117h | Human platelet membrane glycoprotein Ⅳ,GP-Ⅳ ELISA Kit | serum, plasma, tissue homogenates | 0.625 ng/mL |
CD36 ELISA Kit for Mus musculus (Mouse)
| 產品貨號 | 產品名稱 | 樣本類型 | 靈敏度 |
|---|---|---|---|
| CSB-EL004927MO | Mouse Platelet glycoprotein 4(CD36) ELISA kit | serum, plasma, tissue homogenates | 3.9pg/ml |
CD36 ELISA Kit for Rattus norvegicus (Rat)
| 產品貨號 | 產品名稱 | 樣本類型 | 靈敏度 |
|---|---|---|---|
| CSB-EL004927RA | Rat Platelet glycoprotein 4(CD36) ELISA kit | serum, plasma, tissue homogenates | 0.078 ng/mL |






