CD55
CD55,也被稱為衰變加速因子(DAF),是一種重要的補體調節蛋白,在人體內發揮著關鍵的免疫保護作用。它屬于RCA(補體激活調節蛋白)家族,含有4到30個短共識重復(SCR)結構域,通過這些結構域參與多種生物過程。CD55主要通過抑制補體系統的激活來保護細胞免受攻擊。它能夠識別補體系統產生的C3b和C4b片段,通過與C4b結合抑制C2轉化為C2b,進而阻止C4b2a形成C3轉化酶,從而抑制C3轉化酶的形成。在替代途徑中,CD55與C3b結合后可以干擾D因子將B因子轉化為Bb,同樣阻止膜攻擊復合物的形成。CD55的這些作用機制有效地防止了補體級聯反應的過度激活,保護細胞免受補體攻擊。此外,CD55還參與腫瘤的發生發展,在多種癌癥中高表達,如前列腺癌、宮頸癌、乳腺癌等。CD55與CD97結合形成的復合物在腫瘤細胞的分化、遷移、浸潤及轉移中發揮重要作用。基于CD55在免疫系統和腫瘤生物學中的重要作用,CD55和CD97成為癌癥治療研究的新興靶點。目前,已有多種靶向CD55和CD97的藥物正在研發中,如CD55抗體可用于抑制結直腸癌和肺癌的惡化,CD55相關信號通路的抑制可增強其他治療藥物的抗腫瘤作用。此外,針對CD55缺乏蛋白丟失性腸病(CHAPLE病)的治療藥物也在研發中,如FDA已批準的新藥Veopoz,它是一種C5補體抑制劑,能靶向參與補體系統激活的蛋白質補體因子C5,預防補體途徑介導的CHAPLE病。
熱銷產品
Recombinant Human Complement decay-accelerating factor (CD55), partial (CSB-EP004945HU1)
驗證數據
(Tris-Glycine gel) Discontinuous SDS-PAGE (reduced) with 5% enrichment gel and 15% separation gel.
CD55 Recombinant Monoclonal Antibody (CSB-RA440943A0HU)
驗證數據
Western Blot
Positive WB detected in: A549 whole cell lysate, 293T whole cell lysate, K562 whole cell lysate
All lanes: CD55 antibody at 1:2000
Secondary
Goat polyclonal to rabbit IgG at 1/50000 dilution
Predicted band size: 42, 49, 40, 57, 60 kDa
Observed band size: 70 kDa
IHC image of CSB-RA440943A0HU diluted at 1:100 and staining in paraffin-embedded human lung tissue performed on a Leica BondTM system. After dewaxing and hydration, antigen retrieval was mediated by high pressure in a citrate buffer (pH 6.0). Section was blocked with 10% normal goat serum 30min at RT. Then primary antibody (1% BSA) was incubated at 4℃ overnight. The primary is detected by a Goat anti-rabbit IgG polymer labeled by HRP and visualized using 0.05% DAB.
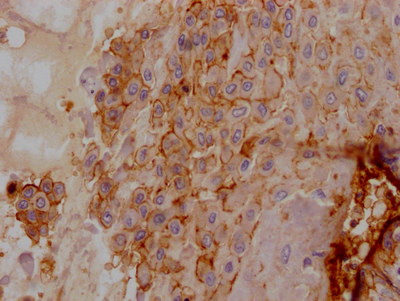
IHC image of CSB-RA440943A0HU diluted at 1:100 and staining in paraffin-embedded human placenta tissue performed on a Leica BondTM system. After dewaxing and hydration, antigen retrieval was mediated by high pressure in a citrate buffer (pH 6.0). Section was blocked with 10% normal goat serum 30min at RT. Then primary antibody (1% BSA) was incubated at 4℃ overnight. The primary is detected by a Goat anti-rabbit IgG polymer labeled by HRP and visualized using 0.05% DAB.
Human decay-accelerating factor(DAF/CD55)ELISA Kit (CSB-E05121h)
驗證數據
貨號:CSB-E05121h
規格:96T/48T
靈敏度:0.09 ng/ml
檢測范圍:0.39 ng/ml- 25ng/ml
These standard curves are provided for demonstration only. A standard curve should be generated for each set of samples assayed.
CD55 Antibodies
CD55 for Homo sapiens (Human)
| 產品貨號 | 產品名稱 | 種屬反應性 | 應用類型 |
|---|---|---|---|
| CSB-PA005226 | CD55 Antibody | Human | WB, ELISA |
| CSB-PA004945LA01HU | CD55 Antibody | Human | ELISA, IHC, IF |
| CSB-PA004945LB01HU | CD55 Antibody, HRP conjugated | Human | ELISA |
| CSB-RA440943A0HU | CD55 Recombinant Monoclonal Antibody | Human | ELISA, WB, IHC |
CD55 Proteins
CD55 Proteins for Homo sapiens (Human)
| 產品貨號 | 產品名稱 | 來源 |
|---|---|---|
| CSB-YP004945HU CSB-EP004945HU CSB-BP004945HU CSB-MP004945HU CSB-EP004945HU-B |
Recombinant Human Complement decay-accelerating factor (CD55) | Yeast E.coli Baculovirus Mammalian cell In Vivo Biotinylation in E.coli |
| CSB-EP004945HU1 | Recombinant Human Complement decay-accelerating factor (CD55), partial | E.coli |
CD55 Proteins for Pongo pygmaeus (Bornean orangutan)
| 產品貨號 | 產品名稱 | 來源 |
|---|---|---|
| CSB-YP004945EXP CSB-EP004945EXP CSB-BP004945EXP CSB-MP004945EXP CSB-EP004945EXP-B |
Recombinant Pongo pygmaeus Complement decay-accelerating factor (CD55) | Yeast E.coli Baculovirus Mammalian cell In Vivo Biotinylation in E.coli |
CD55 Proteins for Mus musculus (Mouse)
| 產品貨號 | 產品名稱 | 來源 |
|---|---|---|
| CSB-YP720250MO CSB-EP720250MO CSB-BP720250MO CSB-MP720250MO CSB-EP720250MO-B |
Recombinant Mouse Complement decay-accelerating factor, GPI-anchored (Cd55) | Yeast E.coli Baculovirus Mammalian cell In Vivo Biotinylation in E.coli |
CD55 Proteins for Cavia porcellus (Guinea pig)
| 產品貨號 | 產品名稱 | 來源 |
|---|---|---|
| CSB-YP736710GU CSB-EP736710GU CSB-BP736710GU CSB-MP736710GU CSB-EP736710GU-B |
Recombinant Guinea pig Complement decay-accelerating factor (CD55) | Yeast E.coli Baculovirus Mammalian cell In Vivo Biotinylation in E.coli |
CD55 ELISA Kit
CD55 ELISA Kit for Homo sapiens (Human)
| 產品貨號 | 產品名稱 | 樣本類型 | 靈敏度 |
|---|---|---|---|
| CSB-E05121h | Human decay-accelerating factor(DAF/CD55)ELISA Kit | serum, plasma, tissue homogenates | 0.09 ng/ml |






