CD6
CD6是一種關鍵的1型跨膜糖蛋白,其細胞外部分包含三個富含半胱氨酸的清道夫受體結構域,高度糖基化,并與免疫球蛋白超家族分子CD166(ALCAM)作為其主要配體相互作用。當CD6與ALCAM結合時,會激活與T細胞活化、增殖、分化和存活相關的絲裂原活化蛋白激酶通路。這一相互作用在維持免疫平衡、調節T細胞功能及轉運中起到重要作用。研究表明,通過阻斷CD6-ALCAM通路,可以抑制致病性T細胞的激活和轉運,為相關疾病的治療提供了新的策略。此外,CD6還涉及胸腺細胞與基質細胞的相互作用以及自身免疫和移植物抗宿主病等過程。
熱銷產品
驗證數據
All lanes: CD6 antibody at 4μg/ml
Lane 1: Hela whole cell lysate
Lane 2: Jurkat whole cell lysate
Lane 3: HT-29 whole cell lysate
Secondary
Goat polyclonal to rabbit IgG at 1/10000 dilution
Predicted band size: 72, 69, 64, 65, 59, 61 kDa
Observed band size: 72 kDa
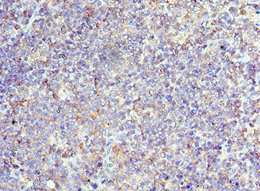
Immunohistochemistry of paraffin-embedded human tonsil tissue using CSB-PA326953ESR1HU at dilution of 1:100
Immunohistochemistry of paraffin-embedded human thymus tissue using CSB-PA326953ESR1HU at dilution of 1:100
CD6 Antibodies
CD6 for Homo sapiens (Human)
| 產品貨號 | 產品名稱 | 種屬反應性 | 應用類型 |
|---|---|---|---|
| CSB-PA134350 | CD6 Antibody | Human | ELISA,WB |
| CSB-PA326953ESR1HU | CD6 Antibody | Human | ELISA, WB, IHC |
| CSB-PA326953ESR2HU | CD6 Antibody | Human | ELISA, IHC |
| CSB-PA006156 | CD6 Antibody | Human | WB, ELISA |
| CSB-PA070265 | CD6 Antibody | Human | WB, ELISA |
CD6 Proteins
CD6 Proteins for Homo sapiens (Human)
| 產品貨號 | 產品名稱 | 來源 |
|---|---|---|
| CSB-YP326953HU1 CSB-EP326953HU1 CSB-BP326953HU1 CSB-MP326953HU1 CSB-EP326953HU1-B |
Recombinant Human T-cell differentiation antigen CD6 (CD6), partial | Yeast E.coli Baculovirus Mammalian cell In Vivo Biotinylation in E.coli |






