CDH1
CDH1,即鈣粘蛋白1,別名E-cadherin、CD324、uvomorulin、ECAD和CDHE。它是一種鈣依賴性的細胞粘附分子,由人類基因組編碼,在上皮細胞中高度表達。CDH1的作用機制主要通過其跨膜結構域和細胞外鈣粘蛋白重復序列,介導細胞間的同型粘附。這種粘附對于維持上皮組織的完整性和形態至關重要。CDH1在組織發育、細胞遷移、增殖以及上皮屏障功能中發揮重要作用。CDH1的表達失調與多種疾病相關,尤其是癌癥的發生、發展、侵襲和轉移。CDH1的缺失或功能喪失會導致細胞間粘附減弱,增加細胞的運動性,從而促進腫瘤細胞的侵襲和轉移。CDH1被視為一種腫瘤抑制因子,其在多種癌癥治療和預后評估中具有潛在的應用價值。
熱銷產品
Recombinant Human Cadherin-1(CDH1),partial (Active) (CSB-MP005034HU1)
驗證數據
(Tris-Glycine gel) Discontinuous SDS-PAGE (reduced) with 5% enrichment gel and 15% separation gel.
Activity
Measured by its binding ability in a functional ELISA. Immobilized Human CDH1 at 2μg/mL can bind Anti-CDH1 recombinant antibody(CSB-RA005034MA2HU),the EC50 is 5.151-6.358 ng/mL.
CDH1 Recombinant Monoclonal Antibody (CSB-RA005034MA1HU)
驗證數據
Western Blot
Positive WB detected in: Mouse Liver tissue lysate
All lanes: CDH1 antibody at 1:500
Secondary
Goat polyclonal to mouse IgG at 1/50000 dilution
Predicted band size: 80-135 kDa
Observed band size: 135 kDa
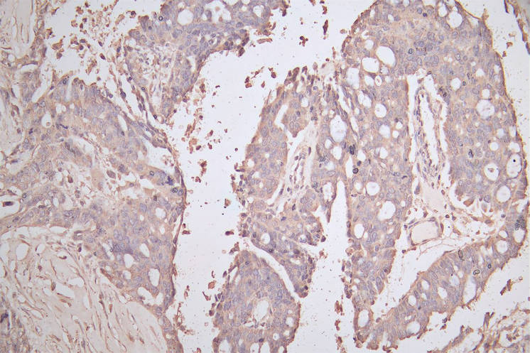
IHC image of CSB-RA005034MA1HU diluted at 1:200 and staining in paraffin-embedded human endometrial cancer performed on a Leica BondTM system. After dewaxing and hydration, antigen retrieval was mediated by high pressure in a citrate buffer (pH 6.0). Section was blocked with 10% normal goat serum 30min at RT. Then primary antibody (1% BSA) was incubated at 4°C overnight. The primary is detected by a Goat anti-Mouse IgG labeled by HRP and visualized using 0.05% DAB.
Overlay Peak curve showing MCF7 cells stained with CSB-RA005034MA1HU (red line) at 1:100. The cells were fixed in 4% formaldehyde (15min) and permeated by 0.2% TritonX-100 for 10min. Then 10% normal goat serum to block non-specific protein-protein interactions followed by the antibody (1ug/1*106cells) for 45min at 4℃. The secondary antibody used was FITC-conjugated Goat Anti-Mouse IgG(H+L) at 1/200 dilution for 35 min at 4°C. Isotype control antibody (green line) was mouse IgG1 (1μg/1*106cells) used under the same conditions. Acquisition of >10,026 events was performed.
CDH1 Antibodies
CDH1 for Homo sapiens (Human)
| 產品貨號 | 產品名稱 | 種屬反應性 | 應用類型 |
|---|---|---|---|
| CSB-PA005034GA01HU | CDH1 Antibody | Human,Mouse,Rat | ELISA,WB,IF |
| CSB-PA795479 | CDH1 Antibody | Human,Mouse,Rat | ELISA,WB |
| CSB-PA002243 | CDH1 Antibody | Human | WB, IHC, IF, ELISA |
| CSB-PA080147 | CDH1 Antibody | Human | WB, IHC |
| CSB-PA218378 | CDH1 Antibody | Human,Mouse,Rat | ELISA,WB,IHC |
| CSB-PA164023 | CDH1 Antibody | Human,Mouse,Rat | ELISA,WB,IHC |
| CSB-PA908796 | CDH1 Antibody | Human,Mouse,Rat | ELISA,IHC |
| CSB-PA938817 | CDH1 Antibody | Human,Mouse,Rat | ELISA,IHC |
| CSB-PA06239A0Rb | CDH1 Antibody | Human | ELISA, IHC, IF |
| CSB-PA06239B0Rb | CDH1 Antibody, HRP conjugated | Human | ELISA |
| CSB-PA06239C0Rb | CDH1 Antibody, FITC conjugated | Human | |
| CSB-PA06239D0Rb | CDH1 Antibody, Biotin conjugated | Human | ELISA |
| CSB-PA005034MA01HU | CDH1 Antibody | Human | ELISA, WB, IHC, IF, IP |
| CSB-PA005034MB01HU | CDH1 Antibody, HRP conjugated | Human | ELISA |
| CSB-PA005034MC01HU | CDH1 Antibody, FITC conjugated | Human | |
| CSB-PA005034MD01HU | CDH1 Antibody, Biotin conjugated | Human | ELISA |
| CSB-MA005034A0m | CDH1 Monoclonal Antibody | Human | ELISA, WB, IF, FC |
| CSB-MA196808 | CDH1 Monoclonal Antibody | Human | ELISA, IHC |
| CSB-RA576116A0HU | CDH1 Recombinant Monoclonal Antibody | Human | ELISA, IHC |
| CSB-RA005034MA1HU | CDH1 Recombinant Monoclonal Antibody | Human, Mouse | ELISA, WB, IHC, FC |
CDH1 Proteins
CDH1 Proteins for Homo sapiens (Human)
| 產品貨號 | 產品名稱 | 來源 |
|---|---|---|
| CSB-YP005034HU1 CSB-EP005034HU1 CSB-BP005034HU1 CSB-EP005034HU1-B |
Recombinant Human Cadherin-1 (CDH1) | Yeast E.coli Baculovirus In Vivo Biotinylation in E.coli |
| CSB-CF005034HU | Recombinant Human Cadherin-1 (CDH1) | in vitro E.coli expression system |
| CSB-EP005034HU | Recombinant Human Cadherin-1 (CDH1), partial | E.coli |
| CSB-MP005034HU1 | Recombinant Human Cadherin-1(CDH1),partial (Active) | Mammalian cell |
CDH1 Proteins for Gallus gallus (Chicken)
| 產品貨號 | 產品名稱 | 來源 |
|---|---|---|
| CSB-YP005034CH1 CSB-EP005034CH1 CSB-BP005034CH1 CSB-MP005034CH1 CSB-EP005034CH1-B |
Recombinant Chicken Cadherin-1 (CDH1), partial | Yeast E.coli Baculovirus Mammalian cell In Vivo Biotinylation in E.coli |
| CSB-CF005034CH | Recombinant Chicken Cadherin-1 (CDH1) | in vitro E.coli expression system |
CDH1 Proteins for Mus musculus (Mouse)
| 產品貨號 | 產品名稱 | 來源 |
|---|---|---|
| CSB-YP005034MO1 CSB-EP005034MO1 CSB-BP005034MO1 CSB-MP005034MO1 CSB-EP005034MO1-B |
Recombinant Mouse Cadherin-1 (Cdh1), partial | Yeast E.coli Baculovirus Mammalian cell In Vivo Biotinylation in E.coli |
| CSB-CF005034MO | Recombinant Mouse Cadherin-1 (Cdh1) | in vitro E.coli expression system |
CDH1 Proteins for Xenopus laevis (African clawed frog)
| 產品貨號 | 產品名稱 | 來源 |
|---|---|---|
| CSB-YP005034XBE1 CSB-EP005034XBE1 CSB-BP005034XBE1 CSB-MP005034XBE1 CSB-EP005034XBE1-B |
Recombinant Xenopus laevis Cadherin-1 (cdh1), partial | Yeast E.coli Baculovirus Mammalian cell In Vivo Biotinylation in E.coli |
| CSB-CF005034XBE | Recombinant Xenopus laevis Cadherin-1 (cdh1) | in vitro E.coli expression system |
CDH1 Proteins for Saccharomyces cerevisiae (strain ATCC 204508 / S288c) (Baker's yeast)
| 產品貨號 | 產品名稱 | 來源 |
|---|---|---|
| CSB-YP347390SVG CSB-EP347390SVG CSB-BP347390SVG CSB-MP347390SVG CSB-EP347390SVG-B |
Recombinant Saccharomyces cerevisiae APC/C activator protein CDH1 (CDH1), partial | Yeast E.coli Baculovirus Mammalian cell In Vivo Biotinylation in E.coli |
CDH1 Proteins for Dictyostelium discoideum (Slime mold)
| 產品貨號 | 產品名稱 | 來源 |
|---|---|---|
| CSB-YP684604DKK CSB-EP684604DKK CSB-BP684604DKK CSB-MP684604DKK CSB-EP684604DKK-B |
Recombinant Dictyostelium discoideum Anaphase-promoting complex subunit cdh1 (cdh1), partial | Yeast E.coli Baculovirus Mammalian cell In Vivo Biotinylation in E.coli |
CDH1 Proteins for Pongo abelii (Sumatran orangutan)
| 產品貨號 | 產品名稱 | 來源 |
|---|---|---|
| CSB-YP716147PYX CSB-EP716147PYX CSB-BP716147PYX CSB-MP716147PYX CSB-EP716147PYX-B |
Recombinant Pongo abelii Cadherin-1 (CDH1), partial | Yeast E.coli Baculovirus Mammalian cell In Vivo Biotinylation in E.coli |
CDH1 Proteins for Bos taurus (Bovine)
| 產品貨號 | 產品名稱 | 來源 |
|---|---|---|
| CSB-YP744188BO CSB-EP744188BO CSB-BP744188BO CSB-MP744188BO CSB-EP744188BO-B |
Recombinant Bovine Cadherin-1 (CDH1), partial | Yeast E.coli Baculovirus Mammalian cell In Vivo Biotinylation in E.coli |
CDH1 Proteins for Rattus norvegicus (Rat)
| 產品貨號 | 產品名稱 | 來源 |
|---|---|---|
| CSB-YP889927RA CSB-EP889927RA CSB-BP889927RA CSB-MP889927RA CSB-EP889927RA-B |
Recombinant Rat Cadherin-1 (Cdh1), partial | Yeast E.coli Baculovirus Mammalian cell In Vivo Biotinylation in E.coli |
CDH1 ELISA Kit
CDH1 ELISA Kit for Homo sapiens (Human)
| 產品貨號 | 產品名稱 | 樣本類型 | 靈敏度 |
|---|---|---|---|
| CSB-E04519h | Human E-Cadherin,E-Cad ELISA Kit | serum, plasma, tissue homogenates | 0.078 ng/ml |
CDH1 ELISA Kit for Mus musculus (Mouse)
| 產品貨號 | 產品名稱 | 樣本類型 | 靈敏度 |
|---|---|---|---|
| CSB-E04520m | Mouse E-Cadherin,E-Cad ELISA Kit | serum, plasma, tissue homogenates | 0.078ng/ml |
CDH1 ELISA Kit for Rattus norvegicus (Rat)
| 產品貨號 | 產品名稱 | 樣本類型 | 靈敏度 |
|---|---|---|---|
| CSB-E07308r | Rat Epithelial-Cadherin,E-Cad ELISA Kit | serum, plasma, tissue homogenates, cell lysates | 0.78 ng/mL |






