CDKN1A
CDKN1A,全稱為細胞周期蛋白依賴性激酶抑制因子1A,也稱為p21或Cip1。它是細胞周期調控的關鍵蛋白,主要作用是抑制細胞周期進程,防止細胞無限制增殖。CDKN1A蛋白在多種信號通路中發揮作用,如p53和Rb通路,參與細胞生長、分化和凋亡的調控。與CDKN1A相關的疾病包括癌癥、衰老相關疾病等。在藥物研發方面,針對CDKN1A的抑制劑正在被研究,以用于癌癥治療。
熱銷產品
Recombinant Human Cyclin-dependent kinase inhibitor 1 (CDKN1A) (CSB-EP005086HUc0)
驗證數據
(Tris-Glycine gel) Discontinuous SDS-PAGE (reduced) with 5% enrichment gel and 15% separation gel.
CDKN1A Antibody (CSB-PA005086DA01HU)
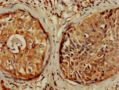
驗證數據
IHC image of CSB-PA005086DA01HU diluted at 1:1200 and staining in paraffin-embedded human testis tissue performed on a Leica BondTM system. After dewaxing and hydration, antigen retrieval was mediated by high pressure in a citrate buffer (pH 6.0). Section was blocked with 10% normal goat serum 30min at RT. Then primary antibody (1% BSA) was incubated at 4°C overnight. The primary is detected by a biotinylated secondary antibody and visualized using an HRP conjugated SP system.
IHC image of CSB-PA005086DA01HU diluted at 1:1200 and staining in paraffin-embedded human cervical cancer performed on a Leica BondTM system. After dewaxing and hydration, antigen retrieval was mediated by high pressure in a citrate buffer (pH 6.0). Section was blocked with 10% normal goat serum 30min at RT. Then primary antibody (1% BSA) was incubated at 4°C overnight. The primary is detected by a biotinylated secondary antibody and visualized using an HRP conjugated SP system.
Immunofluorescence staining of MCF-7 cells with CSB-PA005086DA01HU at 1:400, counter-stained with DAPI. The cells were fixed in 4% formaldehyde, permeabilized using 0.2% Triton X-100 and blocked in 10% normal Goat Serum. The cells were then incubated with the antibody overnight at 4°C. The secondary antibody was Alexa Fluor 488-congugated AffiniPure Goat Anti-Rabbit IgG(H+L).
CDKN1A Antibodies
CDKN1A for Homo sapiens (Human)
| 產品貨號 | 產品名稱 | 種屬反應性 | 應用類型 |
|---|---|---|---|
| CSB-PA005086GA01HU | CDKN1A Antibody | Human,Mouse,Rat | ELISA,WB |
| CSB-PA005086DC01HU | CDKN1A Antibody, FITC conjugated | Human | |
| CSB-PA005086DA01HU | CDKN1A Antibody | Human | ELISA, IHC, IF |
| CSB-PA074462 | Phospho-CDKN1A (Thr145) Antibody | Human | ELISA,IHC |
| CSB-PA031041 | CDKN1A (Ab-145) Antibody | Human | ELISA,WB |
| CSB-PA000591 | Phospho-CDKN1A (T145) Antibody | Human,Mouse,Rat | WB, IHC, ELISA |
| CSB-PA003623 | CDKN1A Antibody | Human,Mouse,Rat | WB, ELISA |
| CSB-PA080248 | CDKN1A Antibody | Human,Mouse,Rat | WB, IHC |
| CSB-PA643784 | CDKN1A Antibody | Human | ELISA,IHC |
| CSB-PA259822 | CDKN1A Antibody | Human | ELISA,IHC |
| CSB-PA934176 | CDKN1A Antibody | Human | ELISA,WB,IHC |
| CSB-PA297162 | CDKN1A Antibody | Human | ELISA,WB,IHC |
CDKN1A Proteins
CDKN1A Proteins for Homo sapiens (Human)
| 產品貨號 | 產品名稱 | 來源 |
|---|---|---|
| CSB-YP005086HU CSB-BP005086HU CSB-MP005086HU CSB-EP005086HU-B |
Recombinant Human Cyclin-dependent kinase inhibitor 1 (CDKN1A) | Yeast Baculovirus Mammalian cell In Vivo Biotinylation in E.coli |
| CSB-EP005086HU | Recombinant Human Cyclin-dependent kinase inhibitor 1 (CDKN1A) | E.coli |
| CSB-EP005086HUc0 | Recombinant Human Cyclin-dependent kinase inhibitor 1 (CDKN1A) | E.coli |
CDKN1A Proteins for Mus musculus (Mouse)
| 產品貨號 | 產品名稱 | 來源 |
|---|---|---|
| CSB-BP005086MO CSB-MP005086MO CSB-EP005086MO-B |
Recombinant Mouse Cyclin-dependent kinase inhibitor 1 (Cdkn1a) | Baculovirus Mammalian cell In Vivo Biotinylation in E.coli |
CDKN1A Proteins for Felis catus (Cat) (Felis silvestris catus)
| 產品貨號 | 產品名稱 | 來源 |
|---|---|---|
| CSB-YP005086CA CSB-EP005086CA CSB-BP005086CA CSB-MP005086CA CSB-EP005086CA-B |
Recombinant Cat Cyclin-dependent kinase inhibitor 1 (CDKN1A) | Yeast E.coli Baculovirus Mammalian cell In Vivo Biotinylation in E.coli |






