CEL
CEL蛋白全稱為羧酸酯脂酶,又稱膽汁鹽刺激脂酶或CEL相關蛋白,主要參與脂肪消化代謝過程。這種酶在胰腺和母乳中高度表達,通過分解膳食中的膽固醇酯與脂溶性維生素,幫助腸道吸收營養,尤其對新生兒生長發育至關重要。其活性異常可能引發代謝紊亂,與慢性胰腺炎、膽道閉鎖等消化系統疾病密切相關。研究發現特定遺傳變異會導致CEL蛋白截短,進而引發青少年起病的糖尿病合并胰腺萎縮,這類病例被歸類為MODY8型糖尿病。
近年發現CEL在胰島β細胞中的異常積累可能加速糖尿病進程,這為開發相關抑制劑提供了方向。針對CEL缺陷引起的脂肪吸收障礙,已有研究嘗試通過重組酶替代療法改善患者癥狀,但尚處于動物實驗階段。某些天然黃酮類化合物被發現能調節CEL活性,可能成為代謝性疾病干預的新靶點,目前尚未進入臨床轉化。
熱銷產品
CEL Antibody (CSB-PA325708LA01HU)
驗證數據
IHC image of CSB-PA325708LA01HU diluted at 1:500 and staining in paraffin-embedded human pancreatic tissue performed on a Leica BondTM system. After dewaxing and hydration, antigen retrieval was mediated by high pressure in a citrate buffer (pH 6.0). Section was blocked with 10% normal goat serum 30min at RT. Then primary antibody (1% BSA) was incubated at 4°C overnight. The primary is detected by a biotinylated secondary antibody and visualized using an HRP conjugated SP system.
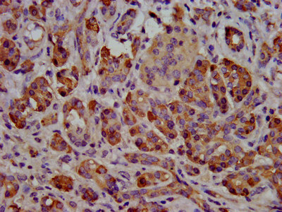
IHC image of CSB-PA325708LA01HU diluted at 1:500 and staining in paraffin-embedded human pancreatic cancer performed on a Leica BondTM system. After dewaxing and hydration, antigen retrieval was mediated by high pressure in a citrate buffer (pH 6.0). Section was blocked with 10% normal goat serum 30min at RT. Then primary antibody (1% BSA) was incubated at 4°C overnight. The primary is detected by a biotinylated secondary antibody and visualized using an HRP conjugated SP system.
CEL Antibodies
CEL for Homo sapiens (Human)
| 產品貨號 | 產品名稱 | 種屬反應性 | 應用類型 |
|---|---|---|---|
| CSB-PA005196GA01HU | CEL Antibody | Human | ELISA,WB |
| CSB-PA006634 | CEL Antibody | Human | IHC, ELISA |
| CSB-PA129151 | CEL Antibody | Human,Mouse | ELISA,WB,IHC |
| CSB-PA194515 | CEL Antibody | Human | ELISA,WB,IHC |
| CSB-PA325708LA01HU | CEL Antibody | Human | ELISA, IHC |
| CSB-PA325708LB01HU | CEL Antibody, HRP conjugated | Human | ELISA |
| CSB-PA325708LC01HU | CEL Antibody, FITC conjugated | Human | |
| CSB-PA325708LD01HU | CEL Antibody, Biotin conjugated | Human | ELISA |
CEL Proteins
CEL Proteins for Homo sapiens (Human)
| 產品貨號 | 產品名稱 | 來源 |
|---|---|---|
| CSB-YP325708HU CSB-EP325708HU CSB-BP325708HU CSB-MP325708HU CSB-EP325708HU-B |
Recombinant Human Bile salt-activated lipase (CEL), partial | Yeast E.coli Baculovirus Mammalian cell In Vivo Biotinylation in E.coli |






