CYP11B2
CYP11B2,也稱為醛固酮合成酶,是一種重要的細胞色素P450酶,主要負責合成醛固酮。醛固酮對于維持體內鹽和水的平衡至關重要,對血壓和心血管健康有顯著影響。CYP11B2蛋白在調節血壓和心血管疾病中扮演著關鍵角色。目前,針對CYP11B2的研究主要集中在開發新型藥物來治療高血壓和相關的腎臟疾病。例如,一些研究正在探索針對CYP11B2的抑制劑,以降低血壓并改善患者的健康狀況。
熱銷產品
Recombinant Human Cytochrome P450 11B2, mitochondrial (CYP11B2) (CSB-EP006391HU)
驗證數據
(Tris-Glycine gel) Discontinuous SDS-PAGE (reduced) with 5% enrichment gel and 15% separation gel.
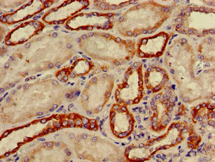
CYP11B2 Antibody (CSB-PA006391LA01HU)
驗證數據
Immunohistochemistry of paraffin-embedded human kidney tissue using CSB-PA006391LA01HU at dilution of 1:100
CYP11B2 Antibodies
CYP11B2 for Homo sapiens (Human)
| 產品貨號 | 產品名稱 | 種屬反應性 | 應用類型 |
|---|---|---|---|
| CSB-PA006391LA01HU | CYP11B2 Antibody | Human | ELISA, IHC |
| CSB-PA006391LC01HU | CYP11B2 Antibody, FITC conjugated | Human | |
| CSB-PA006391LD01HU | CYP11B2 Antibody, Biotin conjugated | Human | ELISA |
CYP11B2 Proteins
CYP11B2 Proteins for Homo sapiens (Human)
| 產品貨號 | 產品名稱 | 來源 |
|---|---|---|
| CSB-YP006391HU | Recombinant Human Cytochrome P450 11B2, mitochondrial (CYP11B2) | Yeast |
| CSB-EP006391HU | Recombinant Human Cytochrome P450 11B2, mitochondrial (CYP11B2) | E.coli |
| CSB-BP006391HU CSB-MP006391HU CSB-EP006391HU-B |
Recombinant Human Cytochrome P450 11B2, mitochondrial (CYP11B2) | Baculovirus Mammalian cell In Vivo Biotinylation in E.coli |






