DNM1L
DNM1L,全名為動力蛋白相關蛋白1(Drp1),是發動蛋白超家族的成員,最早在酵母中發現,故又名 DNM1。該蛋白參與線粒體和過氧化物酶體的分裂、線粒體的運輸和分布等過程,對維持線粒體正常功能至關重要。當 DNM1L 發生突變時,會導致線粒體形態異常、功能受損,進而引起能量生成不足,影響心肌細胞收縮和舒張功能,引發心肌功能障礙。研究表明,DNM1L 突變與擴張型心肌病、癲癇、腦病等多種疾病相關。目前,針對 DNM1L 相關疾病的研究主要集中在闡明其突變導致的病理機制,以及探索新的治療策略。已有研究表明,通過基因編輯技術構建遺傳背景相似的對照細胞系,可以進一步探究突變位點與疾病嚴重程度的關系,為開發針對此類疾病的新療法提供重要依據。
熱銷產品
Recombinant Human Dynamin-1-like protein (DNM1L) (CSB-EP007078HU)
驗證數據
(Tris-Glycine gel) Discontinuous SDS-PAGE (reduced) with 5% enrichment gel and 15% separation gel.
Based on the SEQUEST from database of E.coli host and target protein, the LC-MS/MS Analysis result of CSB-EP007078HU could indicate that this peptide derived from E.coli-expressed Homo sapiens (Human) DNM1L.
Based on the SEQUEST from database of E.coli host and target protein, the LC-MS/MS Analysis result of CSB-EP007078HU could indicate that this peptide derived from E.coli-expressed Homo sapiens (Human) DNM1L.
DNM1L Antibody (CSB-PA007078EA01HU)
驗證數據
Western Blot
Positive WB detected in: A549 whole cell lysate, Mouse heart tissue
All lanes: DNM1L antibody at 0.5µg/ml
Secondary
Goat polyclonal to rabbit IgG at 1/50000 dilution
Predicted band size: 82, 81, 80, 79, 84, 61, 83 kDa
Observed band size: 82 kDa
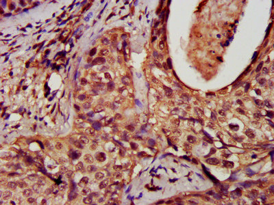
Immunohistochemistry analysis of human cervical cancer using CSB-PA007078EA01HU at dilution of 1:100
Immunohistochemistry analysis of human brain tissue using CSB-PA007078EA01HU at dilution of 1:100
DNM1L Antibodies
DNM1L for Homo sapiens (Human)
| 產品貨號 | 產品名稱 | 種屬反應性 | 應用類型 |
|---|---|---|---|
| CSB-PA007078GA01HU | DNM1L Antibody | Human,Mouse,Rat | ELISA,WB |
| CSB-PA297783 | Phospho-DNM1L (Ser637) Antibody | Human,Mouse,Rat | ELISA,WB |
| CSB-PA825071 | DNM1L (Ab-637) Antibody | Human,Mouse,Rat | ELISA,WB |
| CSB-PA002203 | DNM1L Antibody | Human,Mouse,Rat | WB, IHC, ELISA |
| CSB-PA006377 | Phospho-DNM1L (S637) Antibody | Human,Mouse,Rat | WB, IHC, ELISA |
| CSB-PA007078EA01HU | DNM1L Antibody | Human, Mouse | ELISA, WB, IHC |
| CSB-PA007078EB01HU | DNM1L Antibody, HRP conjugated | Human | ELISA |
DNM1L Proteins
DNM1L Proteins for Homo sapiens (Human)
| 產品貨號 | 產品名稱 | 來源 |
|---|---|---|
| CSB-YP007078HU CSB-BP007078HU CSB-MP007078HU CSB-EP007078HU-B |
Recombinant Human Dynamin-1-like protein (DNM1L) | Yeast Baculovirus Mammalian cell In Vivo Biotinylation in E.coli |
| CSB-EP007078HU | Recombinant Human Dynamin-1-like protein (DNM1L) | E.coli |
DNM1L Proteins for Rattus norvegicus (Rat)
| 產品貨號 | 產品名稱 | 來源 |
|---|---|---|
| CSB-YP007078RA CSB-EP007078RA CSB-BP007078RA CSB-MP007078RA CSB-EP007078RA-B |
Recombinant Rat Dynamin-1-like protein (Dnm1l) | Yeast E.coli Baculovirus Mammalian cell In Vivo Biotinylation in E.coli |
DNM1L Proteins for Bos taurus (Bovine)
| 產品貨號 | 產品名稱 | 來源 |
|---|---|---|
| CSB-YP640665BO CSB-EP640665BO CSB-BP640665BO CSB-MP640665BO CSB-EP640665BO-B |
Recombinant Bovine Dynamin-1-like protein (DNM1L), partial | Yeast E.coli Baculovirus Mammalian cell In Vivo Biotinylation in E.coli |
DNM1L Proteins for Danio rerio (Zebrafish) (Brachydanio rerio)
| 產品貨號 | 產品名稱 | 來源 |
|---|---|---|
| CSB-YP745817DIL CSB-EP745817DIL CSB-BP745817DIL CSB-MP745817DIL CSB-EP745817DIL-B |
Recombinant Danio rerio Dynamin-1-like protein (dnm1l), partial | Yeast E.coli Baculovirus Mammalian cell In Vivo Biotinylation in E.coli |
DNM1L Proteins for Mus musculus (Mouse)
| 產品貨號 | 產品名稱 | 來源 |
|---|---|---|
| CSB-YP816976MO CSB-EP816976MO CSB-BP816976MO CSB-MP816976MO CSB-EP816976MO-B |
Recombinant Mouse Dynamin-1-like protein (Dnm1l) | Yeast E.coli Baculovirus Mammalian cell In Vivo Biotinylation in E.coli |






