DPYSL2
DPYSL2,全稱為Dihydropyrimidinase-related protein 2,常見別名包括DRP-2、CRMP-2等。該蛋白在神經元發育、極性、軸突生長、引導、生長錐塌陷和細胞遷移中發揮著至關重要的作用,與3類信號蛋白和鈣通道相互作用,參與神經元生長和突觸可塑性的調控。DPYSL2蛋白的異常表達或功能異常與多種神經系統疾病相關,如阿爾茨海默病、帕金森病等。目前,針對DPYSL2蛋白的藥物研發尚處于早期階段,但已有研究表明,靶向DPYSL2蛋白的藥物可能為治療阿爾茨海默病等神經系統疾病提供新的治療策略。
熱銷產品
Recombinant Human Dihydropyrimidinase-related protein 2 (DPYSL2) (CSB-YP614975HU)
驗證數據
(Tris-Glycine gel) Discontinuous SDS-PAGE (reduced) with 5% enrichment gel and 15% separation gel.
Based on the SEQUEST from database of Yeast host and target protein, the LC-MS/MS Analysis result of CSB-YP614975HU could indicate that this peptide derived from Yeast-expressed Homo sapiens (Human) DPYSL2.
Based on the SEQUEST from database of Yeast host and target protein, the LC-MS/MS Analysis result of CSB-YP614975HU could indicate that this peptide derived from Yeast-expressed Homo sapiens (Human) DPYSL2.
DPYSL2 Recombinant Monoclonal Antibody (CSB-RA029079A0HU)
驗證數據
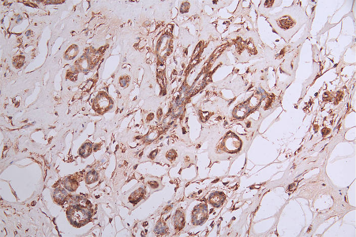
IHC image of CSB-RA029079A0HU diluted at 1:50 and staining in paraffin-embedded human breast cancer performed on a Leica BondTM system. After dewaxing and hydration, antigen retrieval was mediated by high pressure in a citrate buffer (pH 6.0). Section was blocked with 10% normal goat serum 30min at RT. Then primary antibody (1% BSA) was incubated at 4°C overnight. The primary is detected by a Goat anti-rabbit polymer IgG labeled by HRP and visualized using 0.35% DAB.
Immunofluorescence staining of SH-SY5Y with CSB-RA029079A0HU at 1:25, counter-stained with DAPI. The cells were fixed in 4% formaldehyde and blocked in 10% normal Goat Serum. The cells were then incubated with the antibody overnight at 4°C. The secondary antibody was Alexa Fluor 506-congugated AffiniPure Goat Anti-Rabbit IgG(H+L).
Overlay Peak curve showing SH-SY5Y cells stained with CSB-RA029079A0HU (red line) at 1:50. The cells were fixed in 4% formaldehyde and permeated by 0.2% TritonX-100. Then 10% normal goat serum to block non-specific protein-protein interactions followed by the antibody (1μg/1*106cells) for 45min at 4℃. The secondary antibody used was FITC-conjugated Goat Anti-rabbit IgG(H+L) at 1:200 dilution for 35min at 4℃.Control antibody (green line) was rabbit IgG (1μg/1*106cells) used under the same conditions. Acquisition of >10,000 events was performed.
DPYSL2 Antibodies
DPYSL2 for Homo sapiens (Human)
| 產品貨號 | 產品名稱 | 種屬反應性 | 應用類型 |
|---|---|---|---|
| CSB-PA007170GA01HU | DPYSL2 Antibody | Human,Mouse,Rat | ELISA,WB,IHC,IF |
| CSB-PA240818 | Phospho-DPYSL2 (Thr514) Antibody | Human,Mouse,Rat | ELISA,WB |
| CSB-PA196916 | Phospho-DPYSL2 (Thr509) Antibody | Human,Mouse,Rat | ELISA,WB,IHC |
| CSB-PA088532 | Phospho-DPYSL2 (Ser522) Antibody | Human,Mouse,Rat | ELISA,WB |
| CSB-PA140800 | DPYSL2 (Ab-509) Antibody | Human,Mouse | ELISA,WB,IHC |
| CSB-PA982099 | DPYSL2 (Ab-522) Antibody | Human,Mouse,Rat | ELISA,WB |
| CSB-PA007819 | Phospho-DPYSL2 (S522) Antibody | Human,Mouse,Rat | WB, ELISA |
| CSB-PA007820 | Phospho-DPYSL2 (T509) Antibody | Human,Mouse,Rat | WB, IHC, ELISA |
| CSB-PA007821 | Phospho-DPYSL2 (T514) Antibody | Human,Mouse,Rat | WB, IHC, IF, ELISA |
| CSB-PA007822 | DPYSL2 Antibody | Human,Mouse,Rat | WB, IHC, ELISA |
| CSB-PA007824 | DPYSL2 Antibody | Human,Mouse,Rat | WB, IHC, IF, ELISA |
| CSB-PA007828 | DPYSL2 Antibody | Human,Mouse,Rat | WB, ELISA |
| CSB-PA950736 | DPYSL2 Antibody | Human,Mouse,Rat | ELISA,WB,IHC |
| CSB-PA614975YA01HU | DPYSL2 Antibody | Human | ELISA, WB, IHC, IF |
| CSB-PA614975YB01HU | DPYSL2 Antibody, HRP conjugated | Human | ELISA |
| CSB-PA614975YC01HU | DPYSL2 Antibody, FITC conjugated | Human | |
| CSB-PA614975YD01HU | DPYSL2 Antibody, Biotin conjugated | Human | ELISA |
| CSB-RA029079A0HU | DPYSL2 Recombinant Monoclonal Antibody | Human | ELISA, IHC, IF, FC |
| CSB-RA614975MA1HU | DPYSL2 Recombinant Monoclonal Antibody | Human | ELISA, IHC |
DPYSL2 Proteins
DPYSL2 Proteins for Homo sapiens (Human)
| 產品貨號 | 產品名稱 | 來源 |
|---|---|---|
| CSB-YP614975HU | Recombinant Human Dihydropyrimidinase-related protein 2 (DPYSL2) | Yeast |
| CSB-EP614975HU CSB-BP614975HU CSB-MP614975HU CSB-EP614975HU-B |
Recombinant Human Dihydropyrimidinase-related protein 2 (DPYSL2) | E.coli Baculovirus Mammalian cell In Vivo Biotinylation in E.coli |






