EPRS1
EPRS1,全名為谷氨酰-脯氨酰-tRNA合成酶1,也被稱為EARS、EPRS、PARS、QARS、QPRS等。該蛋白在蛋白質合成過程中扮演重要角色,能夠將谷氨酸和脯氨酸連接到相應的tRNA上。近期研究發現,EPRS1在腎小管間質炎中發揮關鍵作用,其表達水平與腎臟炎癥和纖維化程度密切相關。針對EPRS1的靶向抑制劑在治療腎小管間質炎方面展現出潛力,有望成為未來治療腎臟疾病的新選擇。此外,EPRS1在肥胖和代謝性疾病的研究中也備受關注,其作為藥物研發的新靶點,為相關疾病的治療提供了新的思路。
熱銷產品
EPRS Antibody (CSB-PA007747LA01HU)
驗證數據
Western Blot
Positive WB detected in: 293T whole cell lysate
All lanes: EPRS antibody at 7.4μg/ml
Secondary
Goat polyclonal to rabbit IgG at 1/50000 dilution
Predicted band size: 171 kDa
Observed band size: 171 kDa
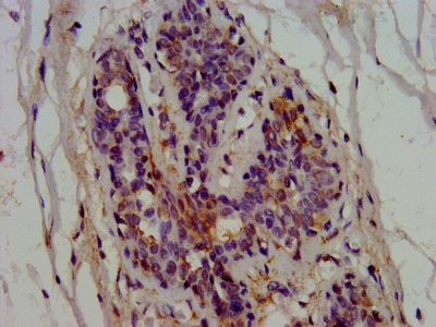
IHC image of CSB-PA007747LA01HU diluted at 1:600 and staining in paraffin-embedded human breast cancer performed on a Leica BondTM system. After dewaxing and hydration, antigen retrieval was mediated by high pressure in a citrate buffer (pH 6.0). Section was blocked with 10% normal goat serum 30min at RT. Then primary antibody (1% BSA) was incubated at 4°C overnight. The primary is detected by a biotinylated secondary antibody and visualized using an HRP conjugated SP system.
Immunofluorescence staining of Hela cells with CSB-PA007747LA01HU at 1:200, counter-stained with DAPI. The cells were fixed in 4% formaldehyde, permeabilized using 0.2% Triton X-100 and blocked in 10% normal Goat Serum. The cells were then incubated with the antibody overnight at 4°C. The secondary antibody was Alexa Fluor 488-congugated AffiniPure Goat Anti-Rabbit IgG(H+L).
EPRS1 Antibodies
EPRS1 for Homo sapiens (Human)
| 產品貨號 | 產品名稱 | 種屬反應性 | 應用類型 |
|---|---|---|---|
| CSB-PA007747LA01HU | EPRS Antibody | Human | ELISA, WB, IHC, IF |
| CSB-PA007747LB01HU | EPRS Antibody, HRP conjugated | Human | ELISA |
| CSB-PA007747LC01HU | EPRS Antibody, FITC conjugated | Human | |
| CSB-PA007747LD01HU | EPRS Antibody, Biotin conjugated | Human | ELISA |
EPRS1 Proteins
EPRS1 Proteins for Homo sapiens (Human)
| 產品貨號 | 產品名稱 | 來源 |
|---|---|---|
| CSB-YP007747HU CSB-EP007747HU CSB-BP007747HU CSB-MP007747HU CSB-EP007747HU-B |
Recombinant Human Bifunctional glutamate/proline--tRNA ligase (EPRS), partial | Yeast E.coli Baculovirus Mammalian cell In Vivo Biotinylation in E.coli |






