FGF2
FGF2,全稱為成纖維細胞生長因子2,是一種重要的細胞因子,常見別名包括FGF-2、BFGF、FGFB、HBGF-2等。這種蛋白參與多種生理過程,如細胞增殖、血管生成和傷口愈合。FGF2通過與特定受體結合,激活細胞內的信號傳導,從而促進細胞分裂和遷移。在疾病方面,FGF2與多種疾病相關,包括癌癥、心血管疾病和神經退行性疾病。近年來,FGF2已成為藥物研發的熱點,研究人員正在探索其作為治療癌癥、血管疾病和神經損傷的潛在靶點。已有多種針對FGF2的藥物進入臨床試驗階段,顯示出良好的治療效果。
熱銷產品
Recombinant Sheep Fibroblast growth factor 2 (FGF2) (Active) (CSB-YP008625SH)
驗證數據
(Tris-Glycine gel) Discontinuous SDS-PAGE (reduced) with 5% enrichment gel and 15% separation gel.
Activity
The ED50 as determined by the dose-dependent stimulation of the proliferation of NIH-3T3 cells is 3.791-5.569 ng/mL.
Recombinant?Bovine?Fibroblast?growth?factor?2?(FGF2)?(Active) (CSB-EP008625BOe1)
驗證數據
(Tris-Glycine gel) Discontinuous SDS-PAGE (reduced) with 5% enrichment gel and 15% separation gel.
Activity
The ED50 as determined by the dose-dependent stimulation of the proliferation of NIH-3T3 cells is 0.9252-2.630 ng/mL.
FGF2 Antibody (CSB-PA12849A0Rb)
驗證數據
Western blot
All lanes: FGF2 antibody at 4µg/ml
Lane 1: HepG2 whole cell lysate
Lane 2: Mouse heart tissue
Lane 3: Mouse liver tissue
Lane 4: Mouse lung tissue
Lane 5: Mouse kidney tissue
Lane 6: Mouse brain tissue
Lane 7: Mouse thymus tissue
Secondary
Goat polyclonal to rabbit IgG at 1/10000 dilution
Predicted band size: 31, 23, 18, 22 kDa
Observed band size: 31 kDa
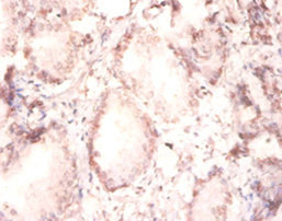
Immunohistochemistry of paraffin-embedded human prostate tissue using CSB-PA12849A0Rb at dilution of 1:100
Immunohistochemistry of paraffin-embedded mouse lung tissue using CSB-PA12849A0Rb at dilution of 1:100
Human basic fibroblast growth factor,bFGF ELISA Kit (CSB-E08000h)
驗證數據
貨號:CSB-E08000h
規格:96T/48T
靈敏度:0.39 pg/mL
檢測范圍:1.56 pg/mL-100 pg/mL
These standard curves are provided for demonstration only. A standard curve should be generated for each set of samples assayed.
FGF2 Antibodies
FGF2 for Mus musculus (Mouse)
| 產品貨號 | 產品名稱 | 種屬反應性 | 應用類型 |
|---|---|---|---|
| CSB-PA06259A0Rb | Fgf2 Antibody | Mouse, Human | ELISA, WB |
| CSB-PA06259B0Rb | Fgf2 Antibody, HRP conjugated | Mouse | ELISA |
| CSB-PA06259C0Rb | Fgf2 Antibody, FITC conjugated | Mouse |
FGF2 for Homo sapiens (Human)
| 產品貨號 | 產品名稱 | 種屬反應性 | 應用類型 |
|---|---|---|---|
| CSB-PA12849C0Rb | FGF2 Antibody, FITC conjugated | Human | |
| CSB-PA12849A0Rb | FGF2 Antibody | Human, Mouse | ELISA, WB, IHC |
| CSB-PA12849D0Rb | FGF2 Antibody, Biotin conjugated | Human | ELISA |
| CSB-PA12849B0Rb | FGF2 Antibody, HRP conjugated | Human | ELISA |
| CSB-PA12847A0Rb | FGF2 Antibody | Human | ELISA, IHC |
| CSB-PA12847B0Rb | FGF2 Antibody, HRP conjugated | Human | ELISA |
| CSB-PA12847D0Rb | FGF2 Antibody, Biotin conjugated | Human | ELISA |
| CSB-PA006111 | FGF2 Antibody | Human,Mouse,Rat | WB, ELISA |
| CSB-PA270018 | FGF2 Antibody | Human,Mouse,Rat | ELISA,IHC |
| CSB-PA976397 | FGF2 Antibody | Human,Mouse,Rat | ELISA,WB,IHC |
FGF2 for Rattus norvegicus (Rat)
| 產品貨號 | 產品名稱 | 種屬反應性 | 應用類型 |
|---|---|---|---|
| CSB-PA319495LA01RA | Fgf2 Antibody | Rat | ELISA, WB |
| CSB-PA319495LB01RA | Fgf2 Antibody, HRP conjugated | Rat | ELISA |
| CSB-PA319495LC01RA | Fgf2 Antibody,FITC conjugated | Rat | |
| CSB-PA319495LD01RA | Fgf2 Antibody, Biotin conjugated | Rat | ELISA |
FGF2 Proteins
FGF2 Proteins for Mus musculus (Mouse)
| 產品貨號 | 產品名稱 | 來源 |
|---|---|---|
| CSB-YP008625MO CSB-EP008625MO CSB-BP008625MO CSB-MP008625MO CSB-EP008625MO-B |
Recombinant Mouse Fibroblast growth factor 2 (Fgf2) | Yeast E.coli Baculovirus Mammalian cell In Vivo Biotinylation in E.coli |
| CSB-EP008625MO | Recombinant Mouse Heparin-binding growth factor 2 protein (Fgf-2) | E.coli |
| CSB-AP004061MO | Recombinant Mouse Fibroblast growth factor 2 (Fgf2) (Active) | E.coli |
FGF2 Proteins for Ovis aries (Sheep)
| 產品貨號 | 產品名稱 | 來源 |
|---|---|---|
| CSB-EP008625SH CSB-BP008625SH CSB-MP008625SH CSB-EP008625SH-B |
Recombinant Sheep Fibroblast growth factor 2 (FGF2) | E.coli Baculovirus Mammalian cell In Vivo Biotinylation in E.coli |
FGF2 Proteins for Oryctolagus cuniculus (Rabbit)
| 產品貨號 | 產品名稱 | 來源 |
|---|---|---|
| CSB-YP008625RB CSB-BP008625RB CSB-MP008625RB CSB-EP008625RB-B |
Recombinant Rabbit Fibroblast growth factor 2 (FGF2), partial | Yeast Baculovirus Mammalian cell In Vivo Biotinylation in E.coli |
FGF2 Proteins for Gallus gallus (Chicken)
| 產品貨號 | 產品名稱 | 來源 |
|---|---|---|
| CSB-MP008625CH CSB-EP008625CH-B |
Recombinant Chicken Fibroblast growth factor 2 (FGF2) | Mammalian cell In Vivo Biotinylation in E.coli |
FGF2 Proteins for Homo sapiens (Human)
| 產品貨號 | 產品名稱 | 來源 |
|---|---|---|
| CSB-YP008625HU | Recombinant Human Fibroblast growth factor 2 (FGF2) | Yeast |
| CSB-AP002401HU | Recombinant Human Fibroblast growth factor 2 (FGF2) (Active) | E.Coli |
| CSB-EP008625HU | Recombinant Human Heparin-binding growth factor 2 protein (FGFB) | E.coli |
| CSB-BP008625HU CSB-MP008625HU |
Recombinant Human Fibroblast growth factor 2 (FGF2) | Baculovirus Mammalian cell |
| CSB-EP008625HUa2 | Recombinant Human Fibroblast growth factor 2 (FGF2) | E.coli |
| CSB-AP003751HU | Recombinant Human Fibroblast growth factor 2 (FGF2), partial (Active) | E.coli |
| CSB-AP003831HU | Recombinant Human Fibroblast growth factor 2 (FGF2), partial (Active) | E.coli |
| CSB-AP003841HU | Recombinant Human Fibroblast growth factor 2 (FGF2) (Active) | E.coli |
| CSB-AP005911HU | Recombinant Human Basic Fibroblast Growth Factor (FGF2), partial (Active) (GMP) | E.Coli |
| CSB-EP008625HU-B | Recombinant Human Fibroblast growth factor 2 (FGF2),Biotinylated | E.coli |
| CSB-EP008625HU-WD | Recombinant Human Fibroblast growth factor 2 (FGF2) (Active) | E.coli |
FGF2 Proteins for Bos taurus (Bovine)
| 產品貨號 | 產品名稱 | 來源 |
|---|---|---|
| CSB-BP008625BO CSB-MP008625BO CSB-EP008625BO-B |
Recombinant Bovine Fibroblast growth factor 2 (FGF2) | Baculovirus Mammalian cell In Vivo Biotinylation in E.coli |
FGF2 Proteins for Rattus norvegicus (Rat)
| 產品貨號 | 產品名稱 | 來源 |
|---|---|---|
| CSB-YP319495RA CSB-EP319495RA CSB-BP319495RA CSB-MP319495RA CSB-EP319495RA-B |
Recombinant Rat Fibroblast growth factor 2 (Fgf2) | Yeast E.coli Baculovirus Mammalian cell In Vivo Biotinylation in E.coli |
| CSB-AP004171RA | Recombinant Rat Fibroblast growth factor 2 (Fgf2), partial (Active) | E.coli |
FGF2 Proteins for Xenopus laevis (African clawed frog)
| 產品貨號 | 產品名稱 | 來源 |
|---|---|---|
| CSB-YP320077XBE CSB-EP320077XBE CSB-BP320077XBE CSB-MP320077XBE CSB-EP320077XBE-B |
Recombinant Xenopus laevis Fibroblast growth factor 2 (fgf2) | Yeast E.coli Baculovirus Mammalian cell In Vivo Biotinylation in E.coli |
FGF2 Proteins for Monodelphis domestica (Gray short-tailed opossum)
| 產品貨號 | 產品名稱 | 來源 |
|---|---|---|
| CSB-YP344550MUE CSB-EP344550MUE CSB-BP344550MUE CSB-MP344550MUE CSB-EP344550MUE-B |
Recombinant Monodelphis domestica Fibroblast growth factor 2 (FGF2) | Yeast E.coli Baculovirus Mammalian cell In Vivo Biotinylation in E.coli |
FGF2 Proteins for Pan troglodytes (Chimpanzee)
| 產品貨號 | 產品名稱 | 來源 |
|---|---|---|
| CSB-YP692217EQV CSB-EP692217EQV CSB-BP692217EQV CSB-MP692217EQV CSB-EP692217EQV-B |
Recombinant Pan troglodytes Fibroblast growth factor 2 (FGF2) | Yeast E.coli Baculovirus Mammalian cell In Vivo Biotinylation in E.coli |
FGF2 Proteins for Cavia porcellus (Guinea pig)
| 產品貨號 | 產品名稱 | 來源 |
|---|---|---|
| CSB-YP713865GU CSB-EP713865GU CSB-BP713865GU CSB-MP713865GU CSB-EP713865GU-B |
Recombinant Guinea pig Fibroblast growth factor 2 (FGF2) | Yeast E.coli Baculovirus Mammalian cell In Vivo Biotinylation in E.coli |
FGF2 ELISA Kit
FGF2 ELISA Kit for Bos taurus (Bovine)
| 產品貨號 | 產品名稱 | 樣本類型 | 靈敏度 |
|---|---|---|---|
| CSB-EL008625BO | Bovine Heparin-binding growth factor 2(FGF2) ELISA kit | serum, plasma, tissue homogenates | 1.56 pg/mL |
FGF2 ELISA Kit for Homo sapiens (Human)
| 產品貨號 | 產品名稱 | 樣本類型 | 靈敏度 |
|---|---|---|---|
| CSB-E08000h | Human basic fibroblast growth factor,bFGF ELISA Kit | serum, plasma, tissue homogenates | 0.39 pg/mL |
FGF2 ELISA Kit for Mus musculus (Mouse)
| 產品貨號 | 產品名稱 | 樣本類型 | 靈敏度 |
|---|---|---|---|
| CSB-E08001m | Mouse basic fibroblast growth factor,bFGF ELISA Kit | serum, plasma, cell culture supernates, tissue homogenates | 0.78 pg/mL |
FGF2 ELISA Kit for Sus scrofa (Pig)
| 產品貨號 | 產品名稱 | 樣本類型 | 靈敏度 |
|---|---|---|---|
| CSB-E12841p | Pig basic fibroblast growth factor,bFGF ELISA Kit | serum, plasma, tissue homogenates | 1.2 pg/mL |
FGF2 ELISA Kit for Oryctolagus cuniculus (Rabbit)
| 產品貨號 | 產品名稱 | 樣本類型 | 靈敏度 |
|---|---|---|---|
| CSB-E06938Rb | Rabbit basic fibroblast growth factor,bFGF ELISA Kit | serum, plasma, tissue homogenates | 1.95 pg/mL |
FGF2 ELISA Kit for Rattus norvegicus (Rat)
| 產品貨號 | 產品名稱 | 樣本類型 | 靈敏度 |
|---|---|---|---|
| CSB-E08002r | Rat basic fibroblast growth factor,bFGF ELISA Kit | serum, plasma, tissue homogenates | 0.078 ng/ml |






