FLT4
FLT4,即血管內皮生長因子受體4,別名VEGFR-3。它是一種由FLT4基因編碼的受體酪氨酸激酶,主要在淋巴管內皮細胞中表達。FLT4的作用機制是通過與其配體VEGF-C和VEGF-D結合,激活下游的PI3K/AKT和RAS/RAF/MEK/ERK等信號通路,從而促進淋巴管內皮細胞的增殖和遷移。在生物學上,FLT4對淋巴管的發生、發育和功能維持具有重要作用,其異常表達與多種疾病包括癌癥、淋巴水腫和急性髓系白血病等有關,是藥物開發和疾病治療中的潛在靶點。
熱銷產品
驗證數據
(Tris-Glycine gel) Discontinuous SDS-PAGE (reduced) with 5% enrichment gel and 15% separation gel.
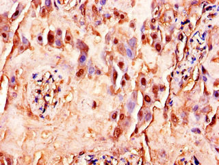
FLT4 Antibody (CSB-PA07539A0Rb)
驗證數據
Immunohistochemistry of paraffin-embedded human placenta tissue using CSB-PA07539A0Rb at dilution of 1:100
Immunofluorescent analysis of Hela cells using CSB-PA07539A0Rb at dilution of 1:100 and Alexa Fluor 488-congugated AffiniPure Goat Anti-Rabbit IgG(H+L)
FLT4 Antibodies
FLT4 for Homo sapiens (Human)
| 產品貨號 | 產品名稱 | 種屬反應性 | 應用類型 |
|---|---|---|---|
| CSB-PA008735GA01HU | FLT4 Antibody | Human | ELISA,WB |
| CSB-PA277523 | FLT4 Antibody | Human | ELISA,WB,IHC,IF |
| CSB-PA07539A0Rb | FLT4 Antibody | Human | ELISA, IHC, IF |
| CSB-PA07539B0Rb | FLT4 Antibody, HRP conjugated | Human | ELISA |
| CSB-PA07539C0Rb | FLT4 Antibody, FITC conjugated | Human | |
| CSB-PA07539D0Rb | FLT4 Antibody, Biotin conjugated | Human | ELISA |
| CSB-PA485851 | FLT4 Antibody | Human,Mouse,Rat | WB, IHC, ELISA |
| CSB-PA156492 | FLT4 Antibody | Human,Mouse,Rat | IHC,ELISA |
FLT4 Proteins
FLT4 Proteins for Mus musculus (Mouse)
| 產品貨號 | 產品名稱 | 來源 |
|---|---|---|
| CSB-YP008735MO CSB-EP008735MO CSB-BP008735MO CSB-MP008735MO CSB-EP008735MO-B |
Recombinant Mouse Vascular endothelial growth factor receptor 3 (Flt4), partial | Yeast E.coli Baculovirus Mammalian cell In Vivo Biotinylation in E.coli |
FLT4 Proteins for Homo sapiens (Human)
| 產品貨號 | 產品名稱 | 來源 |
|---|---|---|
| CSB-YP008735HU CSB-EP008735HU CSB-BP008735HU CSB-MP008735HU CSB-EP008735HU-B |
Recombinant Human Vascular endothelial growth factor receptor 3 (FLT4), partial | Yeast E.coli Baculovirus Mammalian cell In Vivo Biotinylation in E.coli |
| CSB-MP008735HU-B | Recombinant Human Vascular endothelial growth factor receptor 3 (FLT4), partial,Biotinylated | Mammalian cell |
FLT4 Proteins for Coturnix coturnix (Common quail) (Tetrao coturnix)
| 產品貨號 | 產品名稱 | 來源 |
|---|---|---|
| CSB-YP302922CRA CSB-EP302922CRA CSB-BP302922CRA CSB-MP302922CRA CSB-EP302922CRA-B |
Recombinant Coturnix coturnix Vascular endothelial growth factor receptor 3 (FLT4), partial | Yeast E.coli Baculovirus Mammalian cell In Vivo Biotinylation in E.coli |
FLT4 Proteins for Danio rerio (Zebrafish) (Brachydanio rerio)
| 產品貨號 | 產品名稱 | 來源 |
|---|---|---|
| CSB-YP708790DIL CSB-EP708790DIL CSB-BP708790DIL CSB-MP708790DIL CSB-EP708790DIL-B |
Recombinant Danio rerio Vascular endothelial growth factor receptor 3 (flt4), partial | Yeast E.coli Baculovirus Mammalian cell In Vivo Biotinylation in E.coli |
FLT4 Proteins for Rattus norvegicus (Rat)
| 產品貨號 | 產品名稱 | 來源 |
|---|---|---|
| CSB-YP846017RA CSB-EP846017RA CSB-BP846017RA CSB-MP846017RA CSB-EP846017RA-B |
Recombinant Rat Vascular endothelial growth factor receptor 3 (Flt4), partial | Yeast E.coli Baculovirus Mammalian cell In Vivo Biotinylation in E.coli |
FLT4 ELISA Kit
FLT4 ELISA Kit for Homo sapiens (Human)
| 產品貨號 | 產品名稱 | 樣本類型 | 靈敏度 |
|---|---|---|---|
| CSB-E04765h | Human Vascuar endothelial cell growth factor receptor 3,VEGFR-3/Flt-4 ELISA Kit | serum, plasma, tissue homogenates | 0.039 ng/mL |
FLT4 ELISA Kit for Mus musculus (Mouse)
| 產品貨號 | 產品名稱 | 樣本類型 | 靈敏度 |
|---|---|---|---|
| CSB-E04766m | Mouse Vascular endothelial cell growth factor receptor 3 (VEGFR-3/Flt-4) ELISA kit | serum, plasma, tissue homogenates | 19.5 pg/ml. |
FLT4 ELISA Kit for Rattus norvegicus (Rat)
| 產品貨號 | 產品名稱 | 樣本類型 | 靈敏度 |
|---|---|---|---|
| CSB-E07336r | Rat FMS-like tyrosine kinase 3 ligand,Flt-3L ELISA Kit | serum, plasma,tissue homogenates | 3.9 pg/mL |




