FNDC5
FNDC5,全稱為纖維連接蛋白III型結構域包含蛋白5,是一種在骨骼肌中高表達的蛋白。它編碼的鳶尾素是一種運動誘導激素,能夠促進白色脂肪組織褐變,幫助身體消耗能量,維持能量平衡。鳶尾素還能與成纖維細胞生長因子21(FGF21)協同作用,共同調節脂肪組織的代謝,改善肥胖等代謝性疾病。研究表明,FNDC5基因的變異可能會影響鳶尾素的結構和功能,增加肥胖及相關疾病的發生風險。目前,針對FNDC5蛋白的藥物研發尚處于早期階段,但已有研究顯示,FNDC5蛋白有望成為治療肥胖及相關代謝性疾病的潛在靶點。
熱銷產品
Recombinant Human Fibronectin type III domain-containing protein 5 (FNDC5), partial (CSB-EP836707HU)
驗證數據
(Tris-Glycine gel) Discontinuous SDS-PAGE (reduced) with 5% enrichment gel and 15% separation gel.
FNDC5 Antibody (CSB-PA836707OA01HU)
驗證數據
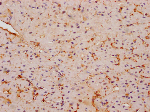
IHC image of CSB-PA836707OA01HU diluted at 1:200 and staining in paraffin-embedded human heart tissue performed on a Leica BondTM system. After dewaxing and hydration, antigen retrieval was mediated by high pressure in a citrate buffer (pH 6.0). Section was blocked with 10% normal goat serum 30min at RT. Then primary antibody (1% BSA) was incubated at 4°C overnight. The primary is detected by a Goat anti-rabbit polymer IgG labeled by HRP and visualized using 0.05% DAB.
IHC image of CSB-PA836707OA01HU diluted at 1:200 and staining in paraffin-embedded human skeletal muscle tissue performed on a Leica BondTM system. After dewaxing and hydration, antigen retrieval was mediated by high pressure in a citrate buffer (pH 6.0). Section was blocked with 10% normal goat serum 30min at RT. Then primary antibody (1% BSA) was incubated at 4°C overnight. The primary is detected by a Goat anti-rabbit polymer IgG labeled by HRP and visualized using 0.05% DAB.
Immunofluorescence staining of SH-SY5Y cells with CSB-PA836707OA01HU-IF at 1:100, counter-stained with DAPI. The cells were fixed in 4% formaldehyde and blocked in 10% normal Goat Serum. The cells were then incubated with the antibody overnight at 4°C. The secondary antibody was Alexa Fluor 488-congugated AffiniPure Goat Anti-Rabbit IgG(H+L).
Human Fibronectin type III domain-containing protein 5(FNDC5) ELISA kit (CSB-EL008770HU)
驗證數據
貨號:CSB-EL008770HU
規格:96T/48T
靈敏度:1.95 ng/mL
檢測范圍:7.8 ng/mL-500 ng/mL
These standard curves are provided for demonstration only. A standard curve should be generated for each set of samples assayed.
FNDC5 Antibodies
FNDC5 for Homo sapiens (Human)
| 產品貨號 | 產品名稱 | 種屬反應性 | 應用類型 |
|---|---|---|---|
| CSB-PA836707OA01HU | FNDC5 Antibody | Human | ELISA, IHC, IF |
| CSB-PA836707OD01HU | FNDC5 Antibody, Biotin conjugated | Human | ELISA |
| CSB-PA836707OC01HU | FNDC5 Antibody, FITC conjugated | Human |
FNDC5 Proteins
FNDC5 Proteins for Homo sapiens (Human)
| 產品貨號 | 產品名稱 | 來源 |
|---|---|---|
| CSB-YP836707HU CSB-BP836707HU CSB-MP836707HU CSB-EP836707HU-B |
Recombinant Human Fibronectin type III domain-containing protein 5 (FNDC5), partial | Yeast Baculovirus Mammalian cell In Vivo Biotinylation in E.coli |
| CSB-EP836707HU | Recombinant Human Fibronectin type III domain-containing protein 5 (FNDC5), partial | E.coli |
FNDC5 ELISA Kit
FNDC5 ELISA Kit for Homo sapiens (Human)
| 產品貨號 | 產品名稱 | 樣本類型 | 靈敏度 |
|---|---|---|---|
| CSB-EL008770HU | Human Fibronectin type III domain-containing protein 5(FNDC5) ELISA kit | serum, plasma, tissue homogenates, cell lysates | 1.95 ng/mL |






