FOXP3
FOXP3,全稱為Forkhead box protein P3,也被稱為scurfin蛋白,是一種與免疫系統密切相關的轉錄因子。它主要表達于調節性T細胞(Treg)中,對維持免疫系統的平衡起著關鍵作用。FOXP3蛋白通過抑制其他轉錄因子的活性,調節T細胞的分化和功能,從而抑制免疫反應。此外,FOXP3蛋白還參與多種生理和病理過程,如細胞分化、凋亡和炎癥反應等。FOXP3蛋白的異常表達或功能缺失與多種疾病相關,包括IPEX綜合征、自身免疫病和腫瘤等。在藥物研發方面,針對FOXP3蛋白的藥物正在開發中,旨在通過調節其活性來治療免疫相關疾病。目前,已有一些小分子化合物和抗體藥物進入臨床試驗階段,顯示出一定的療效和安全性。FOXP3蛋白的研究為免疫相關疾病的治療提供了新的思路和靶點。
熱銷產品
Recombinant Human Forkhead box protein P3 (FOXP3), partial (CSB-EP861191HU1)
驗證數據
(Tris-Glycine gel) Discontinuous SDS-PAGE (reduced) with 5% enrichment gel and 15% separation gel.
FOXP3 Antibody (CSB-PA15229A0Rb)
驗證數據
Western Blot
Positive WB detected in: Mouse thymus tissue
All lanes: FOXP3 antibody at 3µg/ml
Secondary
Goat polyclonal to rabbit IgG at 1/50000 dilution
Predicted band size: 48, 44, 50, 45 kDa
Observed band size: 48 kDa
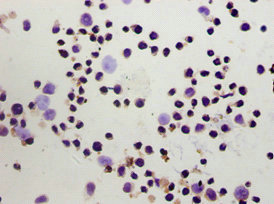
Immunohistochemistry of paraffin-embedded Hela cells using CSB-PA15229A0Rb at dilution of 1:100
FOXP3 Antibodies
FOXP3 for Homo sapiens (Human)
| 產品貨號 | 產品名稱 | 種屬反應性 | 應用類型 |
|---|---|---|---|
| CSB-PA15229A0Rb | FOXP3 Antibody | Human, Mouse | ELISA, WB, IHC |
| CSB-PA15229C0Rb | FOXP3 Antibody, FITC conjugated | Human | |
| CSB-PA15229B0Rb | FOXP3 Antibody, HRP conjugated | Human | ELISA |
| CSB-PA15229D0Rb | FOXP3 Antibody, Biotin conjugated | Human | ELISA |
| CSB-PA005784 | FOXP3 Antibody | Human,Mouse,Rat | WB, ELISA |
| CSB-PA999916 | FOXP3 Antibody | Human,Mouse | ELISA,WB |
FOXP3 Proteins
FOXP3 Proteins for Macaca fascicularis (Crab-eating macaque) (Cynomolgus monkey)
| 產品貨號 | 產品名稱 | 來源 |
|---|---|---|
| CSB-YP764912MOV CSB-EP764912MOV CSB-BP764912MOV CSB-MP764912MOV CSB-EP764912MOV-B |
Recombinant Macaca fascicularis Forkhead box protein P3 (FOXP3) | Yeast E.coli Baculovirus Mammalian cell In Vivo Biotinylation in E.coli |
FOXP3 Proteins for Mus musculus (Mouse)
| 產品貨號 | 產品名稱 | 來源 |
|---|---|---|
| CSB-YP857473MO CSB-BP857473MO CSB-MP857473MO CSB-EP857473MO-B |
Recombinant Mouse Forkhead box protein P3 (Foxp3) | Yeast Baculovirus Mammalian cell In Vivo Biotinylation in E.coli |
FOXP3 Proteins for Homo sapiens (Human)
| 產品貨號 | 產品名稱 | 來源 |
|---|---|---|
| CSB-YP861191HU CSB-BP861191HU CSB-MP861191HU CSB-EP861191HU-B |
Recombinant Human Forkhead box protein P3 (FOXP3) | Yeast Baculovirus Mammalian cell In Vivo Biotinylation in E.coli |
| CSB-EP861191HU1 | Recombinant Human Forkhead box protein P3 (FOXP3), partial | E.coli |
| CSB-EP861191HU | Recombinant Human Forkhead box protein P3 (FOXP3) | E.coli |






