G6PD
G6PD,即葡萄糖-6-磷酸脫氫酶。別名G-6-PD,它是一種位于紅細胞中的酶,主要功能是催化磷酸戊糖途徑的第一步反應,產生還原型輔酶Ⅱ(NADPH),這種酶對于維持紅細胞膜的完整性和保護血紅蛋白免受氧化損傷至關重要。G6PD缺乏會導致紅細胞在遇到某些藥物、食物(如蠶豆)或感染時,無法有效抵抗氧化應激,從而導致紅細胞破裂和溶血。G6PD基因位于X染色體上,因此該缺乏癥是一種X連鎖遺傳病,男性患者多于女性。全球約有4億人患有G6PD缺乏癥,尤其在地中海地區、非洲、東南亞和中國南方地區較為常見。臨床上,G6PD缺乏癥的表現為溶血性貧血,癥狀包括黃疸、蒼白、深色尿液和腹痛等。
熱銷產品
Recombinant Human Glucose-6-phosphate 1-dehydrogenase (G6PD) (CSB-YP009121HU)
驗證數據
(Tris-Glycine gel) Discontinuous SDS-PAGE (reduced) with 5% enrichment gel and 15% separation gel.
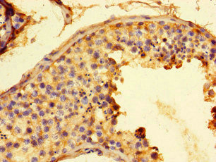
G6PD Antibody (CSB-PA009121LA01HU)
驗證數據
Immunohistochemistry of paraffin-embedded human testis tissue using CSB-PA009121LA01HU at dilution of 1:100
Immunofluorescent analysis of HepG2 cells using CSB-PA009121LA01HU at dilution of 1:100 and Alexa Fluor 488-congugated AffiniPure Goat Anti-Rabbit IgG(H+L)
G6PD Antibodies
G6PD for Homo sapiens (Human)
| 產品貨號 | 產品名稱 | 種屬反應性 | 應用類型 |
|---|---|---|---|
| CSB-PA009121KA01HU | G6PD Antibody | Human,Mouse | ELISA,WB |
| CSB-PA009121LA01HU | G6PD Antibody | Human | ELISA, IHC, IF |
| CSB-PA009121LB01HU | G6PD Antibody, HRP conjugated | Human | ELISA |
| CSB-PA009121LC01HU | G6PD Antibody, FITC conjugated | Human | |
| CSB-PA009121LD01HU | G6PD Antibody, Biotin conjugated | Human | ELISA |
G6PD Proteins
G6PD Proteins for Homo sapiens (Human)
| 產品貨號 | 產品名稱 | 來源 |
|---|---|---|
| CSB-EP009121HU CSB-BP009121HU CSB-MP009121HU CSB-EP009121HU-B |
Recombinant Human Glucose-6-phosphate 1-dehydrogenase (G6PD) | E.coli Baculovirus Mammalian cell In Vivo Biotinylation in E.coli |
| CSB-YP009121HU | Recombinant Human Glucose-6-phosphate 1-dehydrogenase (G6PD) | Yeast |






