GPR34
GPR34,即G蛋白偶聯受體34,別名LYPSR1。GPR34基因位于人類X染色體的p11.4區域。GPR34是一種G蛋白偶聯受體,具有7個假定的跨膜結構域,通過激活異源三聚體G蛋白將信號傳遞到細胞內部,進而激活各種效應蛋白,最終導致生理反應。GPR34通過與細胞外的配體結合,激活細胞內的G蛋白信號通路,進而引發一系列細胞內的反應,如調節細胞的增殖、分化、遷移等過程。GPR34與多種疾病相關,包括阿爾茨海默病14型、夜盲癥、黏膜相關淋巴組織淋巴瘤等。
熱銷產品
GPR34 Antibody (CSB-PA891571LA01HU)
驗證數據
Western Blot
Positive WB detected in: U251 whole cell lysate(30μg), U87 whole cell lysate(30μg), JK whole cell lysate(30μg), Mouse Lung tissue lysate(30μg), Mouse Stomach tissue lysate(30μg)
All lanes: GPR34 antibody at 1:1000
Secondary
Goat polyclonal to rabbit IgG at 1/20000 dilution
Predicted band size: 44 kDa
Observed band size: 44 kDa
Exposure time: 120s
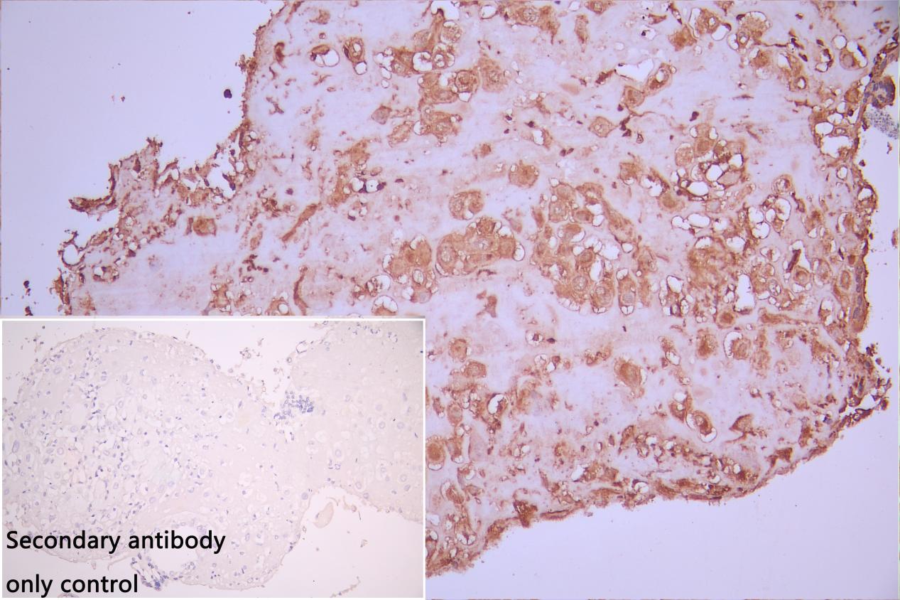
IHC image of CSB-PA891571LA01HU diluted at 1:50 and staining in paraffin-embedded human placenta tissue performed on a Leica BondTM system. After dewaxing and hydration, antigen retrieval was mediated by high pressure in a citrate buffer (pH 6.0). Section was blocked with 10% normal goat serum 30min at RT. Then primary antibody (1% BSA) was incubated at 4°C overnight. The primary is detected by a Goat anti-rabbit polymer IgG labeled by HRP and visualized using 0.05% DAB. Secondary antibody only control: uses 1% BSA instead of primary antibody
Immunofluorescence staining of U251 cell with CSB-PA891571LA01HU at 1:30, counter-stained with DAPI. The cells were fixed in 4% formaldehyde and blocked in 10% normal Goat Serum. The cells were then incubated with the antibody overnight at 4C. The secondary antibody was Alexa Fluor 488-congugated AffiniPure Goat Anti-Rabbit IgG(H+L).
Immunofluorescence staining of U251 cell with 5% goat serum, counter-stained with DAPI. The cells were fixed in 4% formaldehyde and blocked in 10% normal Goat Serum. The cells were then incubated with the antibody overnight at 4C. The secondary antibody was Alexa Fluor 488-congugated AffiniPure Goat Anti-Rabbit IgG(H+L).
Immunofluorescence staining of U87 cell with CSB-PA891571LA01HU at 1:30, counter-stained with DAPI. The cells were fixed in 4% formaldehyde and blocked in 10% normal Goat Serum. The cells were then incubated with the antibody overnight at 4C. The secondary antibody was Alexa Fluor 488-congugated AffiniPure Goat Anti-Rabbit IgG(H+L).
Immunofluorescence staining of U87 cell with 5% goat serum, counter-stained with DAPI. The cells were fixed in 4% formaldehyde and blocked in 10% normal Goat Serum. The cells were then incubated with the antibody overnight at 4C. The secondary antibody was Alexa Fluor 488-congugated AffiniPure Goat Anti-Rabbit IgG(H+L).
GPR34 Antibodies
GPR34 for Homo sapiens (Human)
| 產品貨號 | 產品名稱 | 種屬反應性 | 應用類型 |
|---|---|---|---|
| CSB-PA002776 | GPR34 Antibody | Human,Mouse,Rat,Monkey | IF, ELISA |
| CSB-PA891571LA01HU | GPR34 Antibody | Human, Mouse | ELISA, WB, IHC, IF |
| CSB-PA891571LB01HU | GPR34 Antibody, HRP conjugated | Human | ELISA |
| CSB-PA891571LC01HU | GPR34 Antibody, FITC conjugated | Human |
GPR34 Proteins
GPR34 Proteins for Pan troglodytes (Chimpanzee)
| 產品貨號 | 產品名稱 | 來源 |
|---|---|---|
| CSB-YP009806EQV1 CSB-EP009806EQV1 CSB-BP009806EQV1 CSB-MP009806EQV1 CSB-EP009806EQV1-B |
Recombinant Pan troglodytes Probable G-protein coupled receptor 34 (GPR34), partial | Yeast E.coli Baculovirus Mammalian cell In Vivo Biotinylation in E.coli |
| CSB-CF009806EQV | Recombinant Pan troglodytes Probable G-protein coupled receptor 34 (GPR34) | in vitro E.coli expression system |
GPR34 Proteins for Pan paniscus (Pygmy chimpanzee) (Bonobo)
| 產品貨號 | 產品名稱 | 來源 |
|---|---|---|
| CSB-YP666066EQU1 CSB-EP666066EQU1 CSB-BP666066EQU1 CSB-MP666066EQU1 CSB-EP666066EQU1-B |
Recombinant Pan paniscus Probable G-protein coupled receptor 34 (GPR34), partial | Yeast E.coli Baculovirus Mammalian cell In Vivo Biotinylation in E.coli |
| CSB-CF666066EQU | Recombinant Pan paniscus Probable G-protein coupled receptor 34 (GPR34) | in vitro E.coli expression system |
GPR34 Proteins for Gorilla gorilla gorilla (Lowland gorilla)
| 產品貨號 | 產品名稱 | 來源 |
|---|---|---|
| CSB-YP747689GGZ1 CSB-EP747689GGZ1 CSB-BP747689GGZ1 CSB-MP747689GGZ1 CSB-EP747689GGZ1-B |
Recombinant Gorilla gorilla gorilla Probable G-protein coupled receptor 34 (GPR34), partial | Yeast E.coli Baculovirus Mammalian cell In Vivo Biotinylation in E.coli |
| CSB-CF747689GGZ | Recombinant Gorilla gorilla gorilla Probable G-protein coupled receptor 34 (GPR34) | in vitro E.coli expression system |
GPR34 Proteins for Mus musculus (Mouse)
| 產品貨號 | 產品名稱 | 來源 |
|---|---|---|
| CSB-YP879506MO1 CSB-EP879506MO1 CSB-BP879506MO1 CSB-MP879506MO1 CSB-EP879506MO1-B |
Recombinant Mouse Probable G-protein coupled receptor 34 (Gpr34), partial | Yeast E.coli Baculovirus Mammalian cell In Vivo Biotinylation in E.coli |
| CSB-CF879506MO | Recombinant Mouse Probable G-protein coupled receptor 34 (Gpr34) | in vitro E.coli expression system |
GPR34 Proteins for Homo sapiens (Human)
| 產品貨號 | 產品名稱 | 來源 |
|---|---|---|
| CSB-YP891571HU1 CSB-EP891571HU1 CSB-BP891571HU1 CSB-MP891571HU1 CSB-EP891571HU1-B |
Recombinant Human Probable G-protein coupled receptor 34 (GPR34), partial | Yeast E.coli Baculovirus Mammalian cell In Vivo Biotinylation in E.coli |
| CSB-CF891571HU | Recombinant Human Probable G-protein coupled receptor 34 (GPR34) | in vitro E.coli expression system |






