HAGH
HAGH,全名為熱休克蛋白家族A (Hsp70) 成員8,也被稱為熱休克同源蛋白質。這種蛋白在細胞內起到伴侶作用,與新生多肽結合以促進其正確折疊。此外,它還能在細胞膜成分轉運過程中,作為ATP酶,分解網格蛋白包被的囊泡。HAGH蛋白與多種疾病相關,如聽覺系統疾病、缺血性心臟病等。在藥物研發方面,針對HAGH蛋白的藥物正在研發中,旨在治療相關疾病。
熱銷產品
Recombinant Human Hydroxyacylglutathione hydrolase, mitochondrial (HAGH), partial (CSB-EP624118HU1)
驗證數據
(Tris-Glycine gel) Discontinuous SDS-PAGE (reduced) with 5% enrichment gel and 15% separation gel.
Based on the SEQUEST from database of E.coli host and target protein, the LC-MS/MS Analysis result of CSB-RP111954h could indicate that this peptide derived from E.coli-expressed Homo sapiens (Human) HAGH.
Based on the SEQUEST from database of E.coli host and target protein, the LC-MS/MS Analysis result of CSB-RP111954h could indicate that this peptide derived from E.coli-expressed Homo sapiens (Human) HAGH.
HAGH Antibody (CSB-PA11195A0Rb)
驗證數據
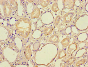
Immunohistochemistry of paraffin-embedded human kidney tissue using CSB-PA11195A0Rb at dilution of 1:100
HAGH Antibodies
HAGH for Homo sapiens (Human)
| 產品貨號 | 產品名稱 | 種屬反應性 | 應用類型 |
|---|---|---|---|
| CSB-PA11195A0Rb | HAGH Antibody | Human | ELISA, IHC |
HAGH Proteins
HAGH Proteins for Homo sapiens (Human)
| 產品貨號 | 產品名稱 | 來源 |
|---|---|---|
| CSB-EP624118HU1 | Recombinant Human Hydroxyacylglutathione hydrolase, mitochondrial (HAGH), partial | E.coli |
| CSB-YP624118HU CSB-EP624118HU CSB-BP624118HU CSB-MP624118HU CSB-EP624118HU-B |
Recombinant Human Hydroxyacylglutathione hydrolase, mitochondrial (HAGH) | Yeast E.coli Baculovirus Mammalian cell In Vivo Biotinylation in E.coli |






