HIP1
HIP1,即亨廷頓相互作用蛋白1,別名SHON、HIP-I、ILWEQ、SHONbeta、SHONgamma。它是一種膜相關蛋白,由人類基因組編碼,在多種組織中表達,包括腦、肺等。HIP1的作用機制涉及其在細胞內網格蛋白介導的內吞作用和蛋白質運輸中的功能,與亨廷頓蛋白結合,這種相互作用在亨廷頓病中消失。HIP1參與細胞的增殖、凋亡、遷移、侵襲等生物學行為的調控。HIP1的異常表達與多種腫瘤相關疾病有關,其表達產物參與一些腫瘤相關疾病的調控,影響腫瘤的發生、發展及預后。HIP1基因在多種人類癌癥中過表達,與腫瘤發生有關。
熱銷產品
HIP1 Antibody (CSB-PA010365ESR2HU)
驗證數據
Western blot
All lanes: HIP1 antibody at 4μg/ml + A549 whole cell lysate
Secondary
Goat polyclonal to rabbit IgG at 1/10000 dilution
Predicted band size: 117, 111, 114 kDa
Observed band size: 117 kDa
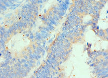
Immunohistochemistry of paraffin-embedded human colon cancer using CSB-PA010365ESR2HU at dilution of 1:100
Immunohistochemistry of paraffin-embedded human placenta tissue using CSB-PA010365ESR2HU at dilution of 1:100
HIP1 Antibodies
HIP1 for Homo sapiens (Human)
| 產品貨號 | 產品名稱 | 種屬反應性 | 應用類型 |
|---|---|---|---|
| CSB-PA010365GA01HU | HIP1 Antibody | Human,Mouse,Rat | ELISA,WB,IHC |
| CSB-PA010365ESR2HU | HIP1 Antibody | Human | ELISA, WB, IHC |
| CSB-PA010365ESR1HU | HIP1 Antibody | Human | ELISA, IHC |
HIP1 Proteins
HIP1 Proteins for Homo sapiens (Human)
| 產品貨號 | 產品名稱 | 來源 |
|---|---|---|
| CSB-YP010365HU CSB-EP010365HU CSB-BP010365HU CSB-MP010365HU CSB-EP010365HU-B |
Recombinant Human Huntingtin-interacting protein 1 (HIP1), partial | Yeast E.coli Baculovirus Mammalian cell In Vivo Biotinylation in E.coli |






