HYAL2
透明質酸酶2(Hyaluronidase 2,HYAL2)是人體內降解透明質酸的關鍵酶之一,常被稱為Hyal2或PH-20樣酶。該酶主要與HYAL1協同作用于溶酶體,將高分子量透明質酸切割為20-25個糖單位的片段,其活性依賴于酸性環境。HYAL2可通過調控細胞外基質重塑參與組織修復和腫瘤微環境形成,其異常表達與前列腺癌、膀胱癌等惡性腫瘤的侵襲轉移密切相關,在乳腺癌中還被發現能通過激活EGFR信號通路促進耐藥性形成。HYAL2在心血管疾病領域也受到關注,其介導的透明質酸降解可能影響動脈粥樣硬化斑塊穩定性。針對透明質酸酶家族的藥物開發多聚焦于癌癥治療,例如新型小分子抑制劑SW-173T已進入臨床前研究,可通過阻斷HYAL2活性抑制腫瘤細胞遷移。由于透明質酸酶家族成員的功能冗余性,針對HYAL2的特異性靶向藥物仍面臨挑戰。
熱銷產品
Recombinant Human Hyaluronidase-2 (HYAL2) (CSB-MP618635HU)
驗證數據
(Tris-Glycine gel) Discontinuous SDS-PAGE (reduced) with 5% enrichment gel and 15% separation gel.
HYAL2 Antibody (CSB-PA618635ESR2HU)
驗證數據
Western blot
All lanes: Hyaluronidase-2 antibody at 4μg/ml + Mouse lung tissue
Secondary
Goat polyclonal to rabbit IgG at 1/10000 dilution
Predicted band size: 54 kDa
Observed band size: 54 kDa
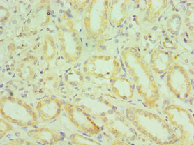
Immunohistochemistry of paraffin-embedded human kidney tissue using CSB-PA618635ESR2HU at dilution of 1:100
Human Hyaluronidase-2(HYAL2) ELISA kit (CSB-EL010919HU)
驗證數據
貨號:CSB-EL010919HU
規格:96T/48T
靈敏度:0.078 ng/mL
檢測范圍:0.312 ng/mL-20 ng/mL
These standard curves are provided for demonstration only. A standard curve should be generated for each set of samples assayed.
HYAL2 Antibodies
HYAL2 for Homo sapiens (Human)
| 產品貨號 | 產品名稱 | 種屬反應性 | 應用類型 |
|---|---|---|---|
| CSB-PA010919GA01HU | HYAL2 Antibody | Human,Mouse,Rat | ELISA,WB,IF |
| CSB-PA618635ESR2HU | HYAL2 Antibody | Human, Mouse | ELISA, WB, IHC |
| CSB-PA011966 | HYAL2 Antibody | Human,Mouse,Rat | ELISA,IHC |
| CSB-PA014449 | HYAL2 Antibody | Human,Mouse,Rat | ELISA,IHC |
HYAL2 Proteins
HYAL2 Proteins for Homo sapiens (Human)
| 產品貨號 | 產品名稱 | 來源 |
|---|---|---|
| CSB-YP618635HU | Recombinant Human Hyaluronidase-2 (HYAL2) | Yeast |
| CSB-EP618635HU CSB-BP618635HU CSB-EP618635HU-B |
Recombinant Human Hyaluronidase-2 (HYAL2) | E.coli Baculovirus In Vivo Biotinylation in E.coli |
| CSB-MP618635HU | Recombinant Human Hyaluronidase-2 (HYAL2) | Mammalian cell |
HYAL2 ELISA Kit
HYAL2 ELISA Kit for Homo sapiens (Human)
| 產品貨號 | 產品名稱 | 樣本類型 | 靈敏度 |
|---|---|---|---|
| CSB-EL010919HU | Human Hyaluronidase-2(HYAL2) ELISA kit | serum, plasma, tissue homogenates | 0.078 ng/mL |






