ICOS
ICOS,即誘導型T細胞共刺激分子,別名CD278、AILIM,是一種I型跨膜糖蛋白,屬于CD28家族的共刺激免疫受體,通常在T細胞激活后迅速上調表達。
ICOS的作用機制涉及與其獨特配體(ICOS-L)在抗原呈遞細胞(APCs)上的相互作用,通過保守的細胞內基序如YMFM、IProx和KKKY觸發細胞內信號級聯反應,促進T細胞激活和分化。ICOS在調節適應性免疫反應中扮演著關鍵角色,特別是在T輔助細胞(Tfh)的形成和體液免疫應答中至關重要。ICOS基因的缺陷會導致體液免疫應答嚴重受損。此外,ICOS還影響Th1、Th2和Th17免疫反應以及調節性T細胞(Treg)的穩態。ICOS/ICOS-L信號通路的調控在癌癥免疫治療和自身免疫疾病治療中具有巨大潛力。
熱銷產品
Recombinant Human Inducible T-cell costimulator (ICOS), partial (CSB-MP707478HU)
驗證數據
(Tris-Glycine gel) Discontinuous SDS-PAGE (reduced) with 5% enrichment gel and 15% separation gel.
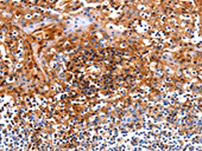
驗證數據
The image on the left is immunohistochemistry of paraffin-embedded Human tonsil tissue using CSB-PA123586(ICOS Antibody) at dilution 1/17, on the right is treated with fusion protein. (Original magnification: ×200)
ICOS Antibodies
ICOS for Homo sapiens (Human)
| 產品貨號 | 產品名稱 | 種屬反應性 | 應用類型 |
|---|---|---|---|
| CSB-PA010957GA01HU | ICOS Antibody | Human | ELISA,WB |
| CSB-PA123586 | ICOS Antibody | Human | ELISA,IHC |
| CSB-PA745834 | ICOS Antibody | Human,Mouse,Rat | WB, IHC, ELISA |
ICOS Proteins
ICOS Proteins for Bos taurus (Bovine)
| 產品貨號 | 產品名稱 | 來源 |
|---|---|---|
| CSB-YP707478BO CSB-EP707478BO CSB-BP707478BO CSB-MP707478BO CSB-EP707478BO-B |
Recombinant Bovine Inducible T-cell costimulator (ICOS), partial | Yeast E.coli Baculovirus Mammalian cell In Vivo Biotinylation in E.coli |
ICOS Proteins for Canis familiaris (Dog) (Canis lupus familiaris)
| 產品貨號 | 產品名稱 | 來源 |
|---|---|---|
| CSB-YP771988DO CSB-EP771988DO CSB-BP771988DO CSB-MP771988DO CSB-EP771988DO-B |
Recombinant Dog Inducible T-cell costimulator (ICOS), partial | Yeast E.coli Baculovirus Mammalian cell In Vivo Biotinylation in E.coli |
ICOS Proteins for Rattus norvegicus (Rat)
| 產品貨號 | 產品名稱 | 來源 |
|---|---|---|
| CSB-YP889939RA CSB-BP889939RA CSB-MP889939RA CSB-EP889939RA-B |
Recombinant Rat Inducible T-cell costimulator (Icos), partial | Yeast Baculovirus Mammalian cell In Vivo Biotinylation in E.coli |
| CSB-EP889939RA | Recombinant Rat Inducible T-cell costimulator (Icos), partial | E.coli |
ICOS Proteins for Mus musculus (Mouse)
| 產品貨號 | 產品名稱 | 來源 |
|---|---|---|
| CSB-YP896269MO CSB-EP896269MO CSB-BP896269MO CSB-MP896269MO CSB-EP896269MO-B |
Recombinant Mouse Inducible T-cell costimulator (Icos), partial | Yeast E.coli Baculovirus Mammalian cell In Vivo Biotinylation in E.coli |
ICOS Proteins for Homo sapiens (Human)
| 產品貨號 | 產品名稱 | 來源 |
|---|---|---|
| CSB-MP707478HU | Recombinant Human Inducible T-cell costimulator (ICOS), partial | Mammalian cell |






