IL17F
IL17F,即白細胞介素-17F,它是白細胞介素-17家族的成員之一,主要由活化的T細胞產生。IL17F的作用機制涉及與其特異性受體結合,通過激活下游的信號傳導途徑,如MAP激酶途徑和核轉錄因子kB(NF-kB)途徑,從而促進炎癥反應。IL17F參與調節宿主的免疫防御,增強對病原體的保護性免疫,同時在自身免疫性疾病和某些腫瘤的發展中也發揮作用,具有促炎和免疫調節的雙重角色。
熱銷產品
驗證數據
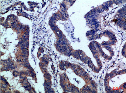
Immunohistochemical analysis of paraffin-embedded Human-colon-cancer, antibody was diluted at 1:100
Immunohistochemical analysis of paraffin-embedded Human-colon-cancer, antibody was diluted at 1:100
Human Interleukin17F (IL17F) ELISA Kit (CSB-E15916h)
驗證數據
貨號:CSB-E15916h
規格:96T/48T
靈敏度:3.1 pg/mL
檢測范圍:12.5 pg/mL-800 pg/mL
These standard curves are provided for demonstration only. A standard curve should be generated for each set of samples assayed.
IL17F Antibodies
IL17F for Homo sapiens (Human)
| 產品貨號 | 產品名稱 | 種屬反應性 | 應用類型 |
|---|---|---|---|
| CSB-PA011601GA01HU | IL17F Antibody | Human | ELISA,WB |
| CSB-PA233102 | IL17F Antibody | Human | IHC,ELISA |
| CSB-PA842733LA01HU | IL17F Antibody | Human | ELISA, IHC |
| CSB-PA842733LB01HU | IL17F Antibody, HRP conjugated | Human | ELISA |
| CSB-PA842733LC01HU | IL17F Antibody, FITC conjugated | Human | |
| CSB-PA842733LD01HU | IL17F Antibody, Biotin conjugated | Human | ELISA |
IL17F Proteins
IL17F Proteins for Callithrix jacchus (White-tufted-ear marmoset)
| 產品貨號 | 產品名稱 | 來源 |
|---|---|---|
| CSB-YP011601CYL CSB-EP011601CYL CSB-BP011601CYL CSB-MP011601CYL CSB-EP011601CYL-B |
Recombinant Callithrix jacchus Interleukin-17F (IL17F) | Yeast E.coli Baculovirus Mammalian cell In Vivo Biotinylation in E.coli |
IL17F Proteins for Rattus norvegicus (Rat)
| 產品貨號 | 產品名稱 | 來源 |
|---|---|---|
| CSB-YP685584RA CSB-EP685584RA CSB-BP685584RA CSB-MP685584RA CSB-EP685584RA-B |
Recombinant Rat Interleukin-17F (Il17f) | Yeast E.coli Baculovirus Mammalian cell In Vivo Biotinylation in E.coli |
IL17F Proteins for Mus musculus (Mouse)
| 產品貨號 | 產品名稱 | 來源 |
|---|---|---|
| CSB-YP745865MO CSB-EP745865MO CSB-BP745865MO CSB-MP745865MO CSB-EP745865MO-B |
Recombinant Mouse Interleukin-17F (Il17f) | Yeast E.coli Baculovirus Mammalian cell In Vivo Biotinylation in E.coli |
IL17F Proteins for Homo sapiens (Human)
| 產品貨號 | 產品名稱 | 來源 |
|---|---|---|
| CSB-YP842733HU CSB-BP842733HU CSB-EP842733HU-B |
Recombinant Human Interleukin-17F (IL17F) | Yeast Baculovirus In Vivo Biotinylation in E.coli |
| CSB-AP001841HU | Recombinant Human Interleukin-17F protein (IL17F) | E.Coli |
| CSB-AP004461HU | Recombinant Human Interleukin-17F (IL17F) (Active) | Mammalian cell |
| CSB-AP004591HU | Recombinant Human Interleukin-17F (IL17F) (Active) | E.coli |
| CSB-EP842733HU | Recombinant Human Interleukin-17F (IL17F) | E.coli |
IL17F ELISA Kit
IL17F ELISA Kit for Homo sapiens (Human)
| 產品貨號 | 產品名稱 | 樣本類型 | 靈敏度 |
|---|---|---|---|
| CSB-E15916h | Human Interleukin17F (IL17F) ELISA Kit | serum, plasma, cell culture supernates | 3.1 pg/mL |
| CSB-E15916h-IS | Human Interleukin17F (IL17F) ELISA Kit | serum, plasma, cell culture supernates, tissue homogenates | 1.95 pg/mL |
IL17F ELISA Kit for Mus musculus (Mouse)
| 產品貨號 | 產品名稱 | 樣本類型 | 靈敏度 |
|---|---|---|---|
| CSB-EL011601MO | Mouse Interleukin-17F(IL17F) ELISA kit | serum, plasma, tissue homogenates | 7.81 pg/mL |
IL17F ELISA Kit for Rattus norvegicus (Rat)
| 產品貨號 | 產品名稱 | 樣本類型 | 靈敏度 |
|---|---|---|---|
| CSB-EL011601RA | Rat Interleukin-17F(IL17F) ELISA kit | serum, plasma, tissue homogenates | 3.9 pg/mL |






