IL18R1
IL18R1,全稱為白細胞介素18受體1,也被稱為IL-18R1。它是白細胞介素18(IL-18)的受體,參與調節免疫和炎癥反應。IL18R1在免疫系統中扮演著重要角色,與IL-18結合后,可以激活下游信號通路,影響免疫細胞的功能。在疾病方面,IL18R1與多種炎癥性疾病有關,如麻風病和炎癥性腸病。目前,針對IL18R1的藥物研發正在進展中,一些藥物已進入臨床試驗階段,旨在治療炎癥性疾病。
熱銷產品
IL18R1 Antibody (CSB-PA623807LA01HU)
驗證數據
Western Blot
Positive WB detected in: Jurkat whole cell lysate
All lanes: IL18R1 antibody at 2µg/ml
Secondary
Goat polyclonal to rabbit IgG at 1/50000 dilution
Predicted band size: 63 kDa
Observed band size: 63 kDa
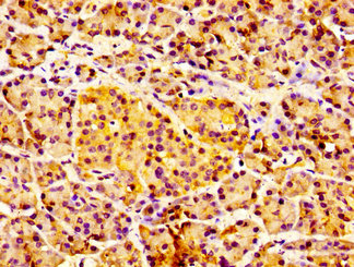
Immunohistochemistry of paraffin-embedded human pancreatic tissue using CSB-PA623807LA01HU at dilution of 1:100
Immunohistochemistry of paraffin-embedded human lung tissue using CSB-PA623807LA01HU at dilution of 1:100
IL18R1 Antibodies
IL18R1 for Homo sapiens (Human)
| 產品貨號 | 產品名稱 | 種屬反應性 | 應用類型 |
|---|---|---|---|
| CSB-PA051971 | IL18R1 Antibody | Human | ELISA,WB |
| CSB-PA005855 | IL18R1 Antibody | Human | WB, ELISA |
| CSB-PA070149 | IL18R1 Antibody | Human | WB, ELISA |
| CSB-PA140943 | IL18R1 Antibody | Human | ELISA,IHC |
| CSB-PA056452 | IL18R1 Antibody | Human,Mouse | ELISA,WB |
| CSB-PA198730 | IL18R1 Antibody | Human,Mouse | ELISA,WB |
| CSB-PA623807LA01HU | IL18R1 Antibody | Human | ELISA, WB, IHC |
| CSB-PA623807LC01HU | IL18R1 Antibody, FITC conjugated | Human | |
| CSB-PA623807LD01HU | IL18R1 Antibody, Biotin conjugated | Human | ELISA |
IL18R1 Proteins
IL18R1 Proteins for Homo sapiens (Human)
| 產品貨號 | 產品名稱 | 來源 |
|---|---|---|
| CSB-YP623807HU CSB-EP623807HU CSB-BP623807HU CSB-MP623807HU CSB-EP623807HU-B |
Recombinant Human Interleukin-18 receptor 1 (IL18R1), partial | Yeast E.coli Baculovirus Mammalian cell In Vivo Biotinylation in E.coli |
IL18R1 Proteins for Mus musculus (Mouse)
| 產品貨號 | 產品名稱 | 來源 |
|---|---|---|
| CSB-YP726734MO CSB-EP726734MO CSB-BP726734MO CSB-MP726734MO CSB-EP726734MO-B |
Recombinant Mouse Interleukin-18 receptor 1 (Il18r1), partial | Yeast E.coli Baculovirus Mammalian cell In Vivo Biotinylation in E.coli |






