JUN
JUN,全名為Jun原癌基因,AP-1轉錄因子亞單位,也被稱為c-Jun。它在細胞內作為轉錄因子,參與調控基因表達。JUN蛋白在多種生理和病理過程中扮演重要角色,如細胞增殖、分化和凋亡。與AP-1復合物結合后,JUN蛋白能夠激活或抑制特定基因的轉錄,從而影響細胞的生命活動。JUN蛋白的異常表達與多種疾病相關,包括癌癥、炎癥和自身免疫疾病。近年來,針對JUN蛋白及其相關信號通路的研究不斷深入,為開發新型藥物提供了新的思路。
熱銷產品
Recombinant Human Transcription factor Jun (JUN) (CSB-BP011972HU)
驗證數據
(Tris-Glycine gel) Discontinuous SDS-PAGE (reduced) with 5% enrichment gel and 15% separation gel.
JUN Recombinant Monoclonal Antibody (CSB-RA911286A0HU)
驗證數據
Western Blot
Positive WB detected in: 293 whole cell lysate
All lanes: JUN antibody at 1:2000
Secondary
Goat polyclonal to rabbit IgG at 1/50000 dilution
Predicted band size: 36 kDa
Observed band size: 43 kDa
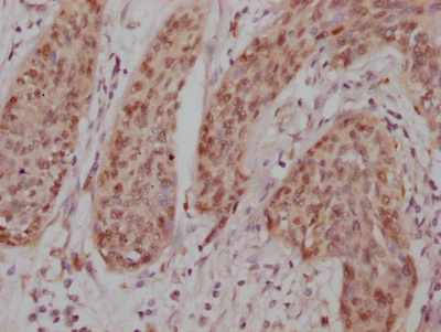
IHC image of CSB-RA911286A0HU diluted at 1:100 and staining in paraffin-embedded human cervical cancer performed on a Leica BondTM system. After dewaxing and hydration, antigen retrieval was mediated by high pressure in a citrate buffer (pH 6.0). Section was blocked with 10% normal goat serum 30min at RT. Then primary antibody (1% BSA) was incubated at 4℃ overnight. The primary is detected by a Goat anti-rabbit IgG polymer labeled by HRP and visualized using 0.05% DAB.
JUN Antibodies
JUN for Homo sapiens (Human)
| 產品貨號 | 產品名稱 | 種屬反應性 | 應用類型 |
|---|---|---|---|
| CSB-PA011972GA01HU | JUN Antibody | Human,Mouse,Rat | ELISA,WB |
| CSB-PA157903 | Phospho-JUN (Ser73) Antibody | Human,Mouse,Rat | ELISA,WB,IHC |
| CSB-PA180546 | Phospho-JUN (Thr91) Antibody | Human,Mouse,Rat | ELISA,WB,IHC |
| CSB-PA105550 | Phospho-JUN (Thr93) Antibody | Human,Mouse,Rat | ELISA,WB,IHC |
| CSB-PA566229 | Phospho-JUN (Tyr170) Antibody | Human,Mouse,Rat | ELISA,WB |
| CSB-PA258817 | Phospho-JUN (Thr239) Antibody | Human,Mouse,Rat | ELISA,WB,IHC,IF |
| CSB-PA205924 | Phospho-JUN (Ser243) Antibody | Human,Mouse,Rat | ELISA,WB,IHC |
| CSB-PA832170 | JUN (Ab-63) Antibody | Human,Mouse,Rat | ELISA,WB |
| CSB-PA040807 | JUN (Ab-73) Antibody | Human,Mouse,Rat | ELISA,WB,IHC |
| CSB-PA438598 | JUN (Ab-91) Antibody | Human,Mouse,Rat | ELISA,WB,IHC,IF |
| CSB-PA928151 | JUN (Ab-93) Antibody | Human,Mouse,Rat | ELISA,WB,IHC |
| CSB-PA587026 | JUN (Ab-170) Antibody | Human,Mouse,Rat | ELISA,WB,IHC |
| CSB-PA925492 | JUN (Ab-239) Antibody | Human,Mouse,Rat | ELISA,WB,IHC |
| CSB-PA074471 | JUN (Ab-243) Antibody | Human,Mouse,Rat | ELISA,WB,IHC |
| CSB-PA185121 | Phospho-JUN (Ser63) Antibody | Human,Mouse,Rat | ELISA,WB,IHC |
| CSB-PA570612 | JUN (Ab-63) Antibody | Human,Mouse,Rat | ELISA,WB |
| CSB-PA790730 | JUN (Ab-243) Antibody | Human,Mouse,Rat | ELISA,WB,IHC |
| CSB-PA000151 | Acetyl-JUN (K271) Antibody | Human,Mouse,Rat | WB, ELISA |
| CSB-PA000471 | Phospho-JUN (S63) Antibody | Human,Mouse,Rat | WB, IHC, ELISA |
| CSB-PA000473 | Phospho-JUN (T239) Antibody | Human,Mouse,Rat | WB, IHC, IP, ELISA |
| CSB-PA000475 | Phospho-JUN (T93) Antibody | Human,Mouse,Rat | WB, IHC, IP, ELISA |
| CSB-PA000886 | JUN Antibody | Human,Mouse,Rat | WB, IHC, IF, ELISA |
| CSB-PA011034 | JUN Antibody | Human,Mouse,Rat | WB, IHC, ELISA |
| CSB-PA011294 | Phospho-JUN (S243) Antibody | Human,Mouse,Rat | WB, IHC, IP, ELISA |
| CSB-PA011295 | Phospho-JUN (T91) Antibody | Human,Mouse,Rat | WB, IHC, ELISA |
| CSB-PA011296 | Phospho-JUN (Y170) Antibody | Human,Mouse,Rat | WB, IHC, ELISA |
| CSB-PA011297 | Phospho-JUN (T231) Antibody | Human,Mouse,Rat | IHC, IF, ELISA |
| CSB-PA164448 | JUN Antibody | Human,Mouse,Rat | ELISA,IHC |
| CSB-PA656958 | JUN Antibody | Human,Mouse,Rat | ELISA,IHC |
| CSB-PA16929A0Rb | JUN Antibody | Human, Mouse, Rat | ELISA, WB, IF |
| CSB-PA16929B0Rb | JUN Antibody, HRP conjugated | Human | ELISA |
| CSB-PA16929D0Rb | JUN Antibody, Biotin conjugated | Human | ELISA |
| CSB-RA011972A63phHU | Phospho-JUN (S63) Recombinant Monoclonal Antibody | Human | ELISA, WB, IHC, IF |
| CSB-RA911286A0HU | JUN Recombinant Monoclonal Antibody | Human | ELISA, WB, IHC |
JUN Proteins
JUN Proteins for Rattus norvegicus (Rat)
| 產品貨號 | 產品名稱 | 來源 |
|---|---|---|
| CSB-YP011972RA CSB-EP011972RA CSB-BP011972RA CSB-MP011972RA CSB-EP011972RA-B |
Recombinant Rat Transcription factor AP-1 (Jun) | Yeast E.coli Baculovirus Mammalian cell In Vivo Biotinylation in E.coli |
JUN Proteins for Gallus gallus (Chicken)
| 產品貨號 | 產品名稱 | 來源 |
|---|---|---|
| CSB-YP011972CH CSB-EP011972CH CSB-BP011972CH CSB-MP011972CH CSB-EP011972CH-B |
Recombinant Chicken Transcription factor AP-1 (JUN) | Yeast E.coli Baculovirus Mammalian cell In Vivo Biotinylation in E.coli |
JUN Proteins for Sus scrofa (Pig)
| 產品貨號 | 產品名稱 | 來源 |
|---|---|---|
| CSB-YP011972PI CSB-EP011972PI CSB-BP011972PI CSB-MP011972PI CSB-EP011972PI-B |
Recombinant Pig Transcription factor AP-1 (JUN) | Yeast E.coli Baculovirus Mammalian cell In Vivo Biotinylation in E.coli |
JUN Proteins for Homo sapiens (Human)
| 產品貨號 | 產品名稱 | 來源 |
|---|---|---|
| CSB-YP011972HU CSB-MP011972HU CSB-EP011972HU-B |
Recombinant Human Transcription factor AP-1 (JUN) | Yeast Mammalian cell In Vivo Biotinylation in E.coli |
| CSB-BP011972HU | Recombinant Human Transcription factor Jun (JUN) | Baculovirus |
| CSB-EP011972HU | Recombinant Human Transcription factor Jun (JUN) | E.coli |
| CSB-EP011972HUa2 | Recombinant Human Transcription factor Jun (JUN) | E.coli |
JUN Proteins for Mus musculus (Mouse)
| 產品貨號 | 產品名稱 | 來源 |
|---|---|---|
| CSB-YP011972MO CSB-BP011972MO CSB-MP011972MO CSB-EP011972MO-B |
Recombinant Mouse Transcription factor AP-1 (Jun) | Yeast Baculovirus Mammalian cell In Vivo Biotinylation in E.coli |
JUN Proteins for Bos taurus (Bovine)
| 產品貨號 | 產品名稱 | 來源 |
|---|---|---|
| CSB-YP011972BO CSB-EP011972BO CSB-BP011972BO CSB-MP011972BO CSB-EP011972BO-B |
Recombinant Bovine Transcription factor AP-1 (JUN) | Yeast E.coli Baculovirus Mammalian cell In Vivo Biotinylation in E.coli |
JUN Proteins for Coturnix coturnix japonica (Japanese quail) (Coturnix japonica)
| 產品貨號 | 產品名稱 | 來源 |
|---|---|---|
| CSB-YP011972DXJ CSB-EP011972DXJ CSB-BP011972DXJ CSB-MP011972DXJ CSB-EP011972DXJ-B |
Recombinant Coturnix coturnix japonica Transcription factor AP-1 (JUN) | Yeast E.coli Baculovirus Mammalian cell In Vivo Biotinylation in E.coli |
JUN Proteins for Serinus canaria (Island canary) (Fringilla canaria)
| 產品貨號 | 產品名稱 | 來源 |
|---|---|---|
| CSB-YP011972SYL CSB-EP011972SYL CSB-BP011972SYL CSB-MP011972SYL CSB-EP011972SYL-B |
Recombinant Serinus canaria Transcription factor AP-1 (JUN) | Yeast E.coli Baculovirus Mammalian cell In Vivo Biotinylation in E.coli |
JUN Proteins for Avian sarcoma virus (strain 17)
| 產品貨號 | 產品名稱 | 來源 |
|---|---|---|
| CSB-YP361514ATE CSB-EP361514ATE CSB-BP361514ATE CSB-MP361514ATE CSB-EP361514ATE-B |
Recombinant Avian sarcoma virus Viral jun-transforming protein (JUN) | Yeast E.coli Baculovirus Mammalian cell In Vivo Biotinylation in E.coli |






