KCNA3
KCNA3,即鉀電壓門控通道亞家族A成員3,別名HLK3、HPCN3、Kv1.3、MK3等。這是一種在人體中由KCNA3基因編碼的電壓門控鉀離子通道,主要在T細胞、神經細胞和肌肉細胞中發揮作用。KCNA3的作用機制是通過響應細胞膜電位變化,形成鉀離子選擇性通道,允許鉀離子根據其電化學梯度通過,進而調節細胞的興奮性,參與動作電位的復極化過程。KCNA3基因位于1號染色體的1p13.3區域,其編碼的蛋白質含有6個跨膜區,并具有一個shaker型重復序列 。KCNA3在生物學上的意義主要體現在其對細胞電生理特性的調節作用。它在T細胞的增殖和激活中發揮關鍵作用,影響免疫系統的功能。此外,KCNA3還參與調節神經遞質的釋放、心率的控制、胰島素的分泌以及上皮電解質的轉運等重要生理過程。KCNA3的功能異常與某些遺傳性疾病有關,例如,其突變可能導致某些類型的心臟病,如心房纖顫,因此KCNA3也是藥物開發和疾病治療中的潛在靶點 。
熱銷產品
KCNA3 Antibody (CSB-PA012008DSR1HU)
驗證數據
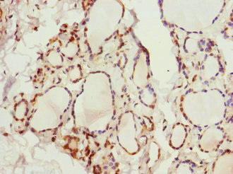
Immunohistochemistry of paraffin-embedded human thyroid tissue using CSB-PA012008DSR1HU at dilution of 1:100
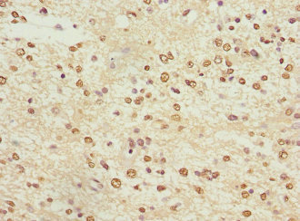
Immunohistochemistry of paraffin-embedded human glioma using CSB-PA012008DSR1HU at dilution of 1:100
KCNA3 Antibodies
KCNA3 for Homo sapiens (Human)
| 產品貨號 | 產品名稱 | 種屬反應性 | 應用類型 |
|---|---|---|---|
| CSB-PA003118 | KCNA3 Antibody | Human,Mouse,Rat | WB, IHC, IF, ELISA |
| CSB-PA011305 | Phospho-KCNA3 (Y187) Antibody | Human,Mouse,Rat | WB, IHC, IF, ELISA |
| CSB-PA012008DSR1HU | KCNA3 Antibody | Human | ELISA, IHC |
KCNA3 Proteins
KCNA3 Proteins for Homo sapiens (Human)
| 產品貨號 | 產品名稱 | 來源 |
|---|---|---|
| CSB-YP012008HU1 CSB-EP012008HU1 CSB-BP012008HU1 CSB-MP012008HU1 CSB-EP012008HU1-B |
Recombinant Human Potassium voltage-gated channel subfamily A member 3 (KCNA3), partial | Yeast E.coli Baculovirus Mammalian cell In Vivo Biotinylation in E.coli |
| CSB-CF012008HU | Recombinant Human Potassium voltage-gated channel subfamily A member 3 (KCNA3) | in vitro E.coli expression system |






