KEAP1
KEAP1,即Kelch樣ECH相關蛋白1,別名IKBKE抑制因子、Kelch-like protein 19等。它是一種由KEAP1基因編碼的蛋白質,主要在細胞質中發揮作用。KEAP1的作用機制主要是通過與NRF2蛋白相互作用,促進NRF2的泛素化和蛋白酶體降解,從而抑制NRF2介導的抗氧化應激和代謝調控基因的表達。KEAP1的功能異常與多種疾病有關,尤其是癌癥,其中KEAP1的突變或異常表達可能導致NRF2信號通路的異常激活,進而影響腫瘤細胞的代謝和生存。因此,KEAP1-NRF2信號通路是癌癥治療中的一個潛在靶點。
熱銷產品
Recombinant Human Kelch-like ECH-associated protein 1 (KEAP1) (CSB-EP012147HU)
驗證數據
(Tris-Glycine gel) Discontinuous SDS-PAGE (reduced) with 5% enrichment gel and 15% separation gel.
KEAP1 Antibody (CSB-PA012147LA01HU)
驗證數據
Western blot
All lanes: KEAP1 antibody at 2µg/ml
Lane 1: Mouse kidney tissue
Lane 2: NIH/3T3 whole cell lysate
Secondary
Goat polyclonal to rabbit IgG at 1/10000 dilution
Predicted band size: 70 kDa
Observed band size: 70 kDa
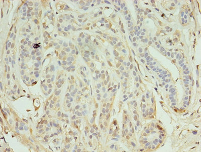
Immunohistochemistry of paraffin-embedded human breast cancer using CSB-PA012147LA01HU at dilution of 1:100
Human Kelch-like ECH-associated protein 1(KEAP1) ELISA kit (CSB-EL012147HU)
驗證數據
貨號:CSB-EL012147HU
規格:96T/48T
靈敏度:6.25 pg/mL
檢測范圍:25 pg/mL-1600 pg/mL
These standard curves are provided for demonstration only. A standard curve should be generated for each set of samples assayed.
KEAP1 Antibodies
KEAP1 for Homo sapiens (Human)
| 產品貨號 | 產品名稱 | 種屬反應性 | 應用類型 |
|---|---|---|---|
| CSB-PA012147GA01HU | KEAP1 Antibody | Human,Mouse,Rat | ELISA,WB,IHC |
| CSB-PA005148 | KEAP1 Antibody | Human,Mouse,Rat | WB, ELISA |
| CSB-PA012147LA01HU | KEAP1 Antibody | Human, Mouse | ELISA, WB, IHC |
| CSB-PA012147LC01HU | KEAP1 Antibody, FITC conjugated | Human | |
| CSB-PA012147LD01HU | KEAP1 Antibody, Biotin conjugated | Human | ELISA |
| CSB-PA247380 | KEAP1 Antibody | Human,Mouse,Rat | ELISA,IHC |
| CSB-PA011976 | KEAP1 Antibody | Human,Mouse,Rat | ELISA,IHC |
KEAP1 for Mus musculus (Mouse)
| 產品貨號 | 產品名稱 | 種屬反應性 | 應用類型 |
|---|---|---|---|
| CSB-PA012147LA01MO | Keap1 Antibody | Mouse, Human | ELISA, WB |
| CSB-PA012147LD01MO | Keap1 Antibody, Biotin conjugated | Mouse | ELISA |
| CSB-PA012147LB01MO | Keap1 Antibody, HRP conjugated | Mouse | ELISA |
KEAP1 Proteins
KEAP1 Proteins for Rattus norvegicus (Rat)
| 產品貨號 | 產品名稱 | 來源 |
|---|---|---|
| CSB-YP012147RA CSB-EP012147RA CSB-BP012147RA CSB-MP012147RA CSB-EP012147RA-B |
Recombinant Rat Kelch-like ECH-associated protein 1 (Keap1) | Yeast E.coli Baculovirus Mammalian cell In Vivo Biotinylation in E.coli |
KEAP1 Proteins for Sus scrofa (Pig)
| 產品貨號 | 產品名稱 | 來源 |
|---|---|---|
| CSB-YP012147PI CSB-EP012147PI CSB-BP012147PI CSB-MP012147PI CSB-EP012147PI-B |
Recombinant Pig Kelch-like ECH-associated protein 1 (KEAP1), partial | Yeast E.coli Baculovirus Mammalian cell In Vivo Biotinylation in E.coli |
KEAP1 Proteins for Pongo abelii (Sumatran orangutan)
| 產品貨號 | 產品名稱 | 來源 |
|---|---|---|
| CSB-YP012147PYX CSB-EP012147PYX CSB-BP012147PYX CSB-MP012147PYX CSB-EP012147PYX-B |
Recombinant Pongo abelii Kelch-like ECH-associated protein 1 (KEAP1), partial | Yeast E.coli Baculovirus Mammalian cell In Vivo Biotinylation in E.coli |
KEAP1 Proteins for Mus musculus (Mouse)
| 產品貨號 | 產品名稱 | 來源 |
|---|---|---|
| CSB-YP012147MO CSB-BP012147MO CSB-MP012147MO CSB-EP012147MO-B |
Recombinant Mouse Kelch-like ECH-associated protein 1 (Keap1) | Yeast Baculovirus Mammalian cell In Vivo Biotinylation in E.coli |
| CSB-EP012147MO | Recombinant Mouse Kelch-like ECH-associated protein 1 (Keap1) | E.coli |
KEAP1 Proteins for Homo sapiens (Human)
| 產品貨號 | 產品名稱 | 來源 |
|---|---|---|
| CSB-YP012147HU | Recombinant Human Kelch-like ECH-associated protein 1 (KEAP1) | Yeast |
| CSB-BP012147HU CSB-MP012147HU |
Recombinant Human Kelch-like ECH-associated protein 1 (KEAP1) | Baculovirus Mammalian cell |
| CSB-EP012147HU | Recombinant Human Kelch-like ECH-associated protein 1 (KEAP1) | E.coli |
| CSB-EP012147HU1 | Recombinant Human Kelch-like ECH-associated protein 1 (KEAP1), partial | E.coli |
| CSB-EP012147HU-B | Recombinant Human Kelch-like ECH-associated protein 1 (KEAP1), Biotinylated | E.coli |
KEAP1 ELISA Kit
KEAP1 ELISA Kit for Homo sapiens (Human)
| 產品貨號 | 產品名稱 | 樣本類型 | 靈敏度 |
|---|---|---|---|
| CSB-EL012147HU | Human Kelch-like ECH-associated protein 1(KEAP1) ELISA kit | serum, plasma, tissue homogenates, cell lysates | 6.25 pg/mL |
KEAP1 ELISA Kit for Mus musculus (Mouse)
| 產品貨號 | 產品名稱 | 樣本類型 | 靈敏度 |
|---|---|---|---|
| CSB-EL012147MO | Mouse Kelch-like ECH-associated protein 1(KEAP1) ELISA kit | serum, plasma, tissue homogenates, cell lysates | 1.17 pg/mL |






