KLK3
KLK3全稱為激肽釋放酶相關肽酶3,又稱前列腺特異性抗原(PSA),是人體精液中的重要成分。該蛋白由前列腺上皮細胞分泌,主要功能是通過分解精囊凝固蛋白促進精子液化,在生殖過程中起關鍵作用。KLK3表達受雄激素嚴格調控,臨床上常作為前列腺癌篩查的核心生物標志物。當血清PSA水平異常升高時,常提示前列腺增生、炎癥或惡性腫瘤可能,但需結合直腸指檢、影像學檢查綜合判斷。
PSA可通過裂解胰島素樣生長因子結合蛋白(IGFBP)影響細胞增殖通路,與腫瘤轉移存在潛在關聯。基于該蛋白特性開發的診斷試劑已廣泛應用于前列腺癌早期檢測,全球年檢測量超過1億人次。治療領域,靶向PSA的放射性核素療法(如177Lu-PSMA)在晚期前列腺癌患者中展現出顯著療效,目前FDA已批準Pluvicto?等藥物上市。我國自主研發的PSA抑制劑也進入Ⅱ期臨床試驗階段。
熱銷產品
KLK3 Recombinant Monoclonal Antibody (CSB-RA548583A0HU)
驗證數據
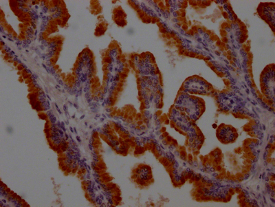
IHC image of CSB-RA548583A0HU diluted at 1:100 and staining in paraffin-embedded human prostate tissue performed on a Leica BondTM system. After dewaxing and hydration, antigen retrieval was mediated by high pressure in a citrate buffer (pH 6.0). Section was blocked with 10% normal goat serum 30min at RT. Then primary antibody (1% BSA) was incubated at 4℃ overnight. The primary is detected by a Goat anti-rabbit IgG polymer labeled by HRP and visualized using 0.05% DAB.
KLK3 Antibodies
KLK3 for Homo sapiens (Human)
| 產品貨號 | 產品名稱 | 種屬反應性 | 應用類型 |
|---|---|---|---|
| CSB-PA06779D0Rb | KLK3 Antibody, Biotin conjugated | Human | ELISA |
| CSB-PA06779A0Rb | KLK3 Antibody | Human | ELISA, IHC |
| CSB-PA06779B0Rb | KLK3 Antibody, HRP conjugated | Human | ELISA |
| CSB-PA012454GA01HU | KLK3 Antibody | Human | ELISA,IHC |
| CSB-PA06779C0Rb | KLK3 Antibody, FITC conjugated | Human | |
| CSB-PA697334 | KLK3 Antibody | Human,Mouse | ELISA,WB,IHC |
| CSB-PA006113 | KLK3 Antibody | Human | WB, ELISA |
| CSB-PA009525 | KLK3 Antibody | Human | WB, IHC, IF, ELISA |
| CSB-PA920807 | KLK3 Antibody | Human | ELISA,IHC |
| CSB-PA554992 | KLK3 Antibody | Human | ELISA,IHC |
| CSB-RA548583A0HU | KLK3 Recombinant Monoclonal Antibody | Human | ELISA, IHC |
KLK3 ELISA Kit
KLK3 ELISA Kit for Homo sapiens (Human)
| 產品貨號 | 產品名稱 | 樣本類型 | 靈敏度 |
|---|---|---|---|
| CSB-E04768h | Human prostate specific antigen,PSA ELISA Kit | serum, plasma, tissue homogenates | 0.078 ng/mL |






