LAT
LAT,全名為“激活T細胞的接頭蛋白”,也被稱為LAT1、pp36、IMD52。該蛋白在T細胞抗原受體(TCR)信號轉導通路中發揮關鍵作用,通過磷酸化后,將多個銜接蛋白和下游信號分子募集到信號復合物中,從而激活T細胞。LAT蛋白與多種疾病相關,如免疫缺陷癥等。在藥物研發方面,針對LAT蛋白的藥物正在研發中,旨在治療相關疾病。
熱銷產品
Phospho-LAT (Y191) Recombinant Monoclonal Antibody (CSB-RA012767A191phHU)
驗證數據
Western Blot
Positive WB detected in:Jurkat whole cell lysate, Hela whole cell lysate, HepG2 whole cell lysate(treated with EGF or Pervanadate)
All lanes: Phospho-LAT antibody at 2.9μg/ml
Secondary
Goat polyclonal to rabbit IgG at 1/50000 dilution
Predicted band size: 38 KDa
Observed band size: 38 KDa
IHC image of CSB-RA012767A191phHU diluted at 1:100 and staining in paraffin-embedded human tonsil tissue performed on a Leica BondTM system. After dewaxing and hydration, antigen retrieval was mediated by high pressure in a citrate buffer (pH 6.0). Section was blocked with 10% normal goat serum 30min at RT. Then primary antibody (1% BSA) was incubated at 4°C overnight. The primary is detected by a biotinylated secondary antibody and visualized using an HRP conjugated SP system.
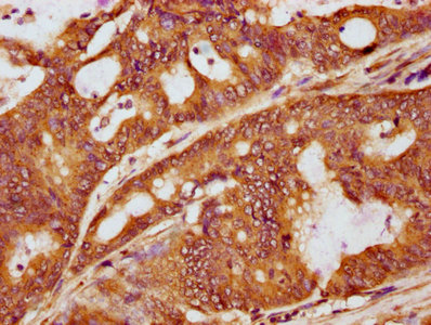
IHC image of CSB-RA012767A191phHU diluted at 1:100 and staining in paraffin-embedded human colon cancer performed on a Leica BondTM system. After dewaxing and hydration, antigen retrieval was mediated by high pressure in a citrate buffer (pH 6.0). Section was blocked with 10% normal goat serum 30min at RT. Then primary antibody (1% BSA) was incubated at 4°C overnight. The primary is detected by a biotinylated secondary antibody and visualized using an HRP conjugated SP system.
Immunofluorescence staining of Hela cells with CSB-RA012767A191phHU at 1:100,counter-stained with DAPI. The cells were fixed in 4% formaldehyde, permeabilized using 0.2% Triton X-100 and blocked in 10% normal Goat Serum. The cells were then incubated with the antibody overnight at 4°C. The secondary antibody was Alexa Fluor 488-congugated AffiniPure Goat Anti-Rabbit IgG (H+L).
Immunoprecipitating Phospho-LAT in A549 whole cell lysate
Lane 1: Rabbit control IgG(1μg)instead of CSB-RA012767A191phHU in A549 whole cell lysate. For western blotting,a HRP-conjugated Protein G antibody was used as the secondary antibody (1/2000)
Lane 2: CSB-RA012767A191phHU(3μg)+ A549 whole cell lysate(1mg)
Lane 3: A549 whole cell lysate (20μg)
LAT Antibodies
LAT for Homo sapiens (Human)
| 產品貨號 | 產品名稱 | 種屬反應性 | 應用類型 |
|---|---|---|---|
| CSB-PA012767GA01HU | LAT Antibody | Human | ELISA,WB |
| CSB-PA012767ESR2HU | LAT Antibody | Human | ELISA |
| CSB-PA153832 | LAT (Ab-255) Antibody | Human,Mouse,Rat | ELISA,WB |
| CSB-PA003139 | LAT Antibody | Human,Mouse,Rat | WB, ELISA |
| CSB-PA003140 | LAT Antibody | Human,Mouse,Rat | WB, ELISA |
| CSB-PA008846 | Phospho-LAT (Y200) Antibody | Human,Mouse,Rat | WB, ELISA |
| CSB-PA008847 | Phospho-LAT (Y191) Antibody | Human,Mouse,Rat | WB, IHC, ELISA |
| CSB-PA008848 | LAT Antibody | Human | WB, ELISA |
| CSB-RA012767A191phHU | Phospho-LAT (Y191) Recombinant Monoclonal Antibody | Human | ELISA, WB, IHC, IF, IP |
LAT Proteins
LAT Proteins for Mus musculus (Mouse)
| 產品貨號 | 產品名稱 | 來源 |
|---|---|---|
| CSB-YP012767MO1 CSB-EP012767MO1 CSB-BP012767MO1 CSB-MP012767MO1 CSB-EP012767MO1-B |
Recombinant Mouse Linker for activation of T-cells family member 1 (Lat), partial | Yeast E.coli Baculovirus Mammalian cell In Vivo Biotinylation in E.coli |
| CSB-CF012767MO | Recombinant Mouse Linker for activation of T-cells family member 1 (Lat) | in vitro E.coli expression system |
LAT Proteins for Rattus norvegicus (Rat)
| 產品貨號 | 產品名稱 | 來源 |
|---|---|---|
| CSB-YP012767RA1 CSB-EP012767RA1 CSB-BP012767RA1 CSB-MP012767RA1 CSB-EP012767RA1-B |
Recombinant Rat Linker for activation of T-cells family member 1 (Lat), partial | Yeast E.coli Baculovirus Mammalian cell In Vivo Biotinylation in E.coli |
| CSB-CF012767RA | Recombinant Rat Linker for activation of T-cells family member 1 (Lat) | in vitro E.coli expression system |
LAT Proteins for Homo sapiens (Human)
| 產品貨號 | 產品名稱 | 來源 |
|---|---|---|
| CSB-YP012767HU1 CSB-EP012767HU1 CSB-BP012767HU1 CSB-MP012767HU1 CSB-EP012767HU1-B |
Recombinant Human Linker for activation of T-cells family member 1 (LAT), partial | Yeast E.coli Baculovirus Mammalian cell In Vivo Biotinylation in E.coli |
| CSB-CF012767HU | Recombinant Human Linker for activation of T-cells family member 1 (LAT) | in vitro E.coli expression system |
LAT Proteins for Mycobacterium bovis
| 產品貨號 | 產品名稱 | 來源 |
|---|---|---|
| CSB-YP350562MVH CSB-EP350562MVH CSB-BP350562MVH CSB-MP350562MVH CSB-EP350562MVH-B |
Recombinant Probable L-lysine-epsilon aminotransferase (lat) | Yeast E.coli Baculovirus Mammalian cell In Vivo Biotinylation in E.coli |






