MAOB
MAOB,即單胺氧化酶B(Monoamine oxidase B),是一種酶類蛋白質,主要存在于人體和其他動物體內,并參與神經遞質的代謝過程。它的主要功能是催化去甲腎上腺素、多巴胺和5-羥色胺等神經遞質的氧化反應。在MAOB的化學反應中,它作為催化劑,通過氧化作用將神經遞質轉化為相應的酮和醛產物。它作為一種酶,具有特定的活性中心和結合位點,這些結構特點使其能夠識別和催化特定的底物。MAOB通過調節神經遞質的水平,間接地影響神經系統的信號傳遞和功能。
熱銷產品
MAOB Recombinant Monoclonal Antibody
驗證數據
Positive WB detected in: L02 whole cell lysate, HepG2 whole cell lysate
All lanes: Monoamine Oxidase B Antibody at 1:1000
Secondary
Goat polyclonal to rabbit IgG at 1/50000 dilution
Predicted band size: 59, 47 kDa
Observed band size: 59 kDa
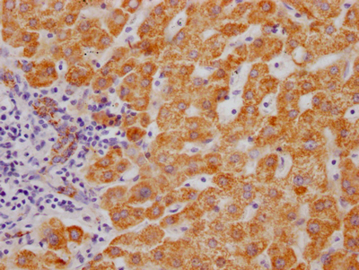
IHC image of CSB-RA999377A0HU diluted at 1:100 and staining in paraffin-embedded human liver tissue performed on a Leica BondTM system. After dewaxing and hydration, antigen retrieval was mediated by high pressure in a citrate buffer (pH 6.0). Section was blocked with 10% normal goat serum 30min at RT. Then primary antibody (1% BSA) was incubated at 4℃ overnight. The primary is detected by a Goat anti-rabbit IgG polymer labeled by HRP and visualized using 0.05% DAB.
IHC image of CSB-RA999377A0HU diluted at 1:100 and staining in paraffin-embedded human brain tissue performed on a Leica BondTM system. After dewaxing and hydration, antigen retrieval was mediated by high pressure in a citrate buffer (pH 6.0). Section was blocked with 10% normal goat serum 30min at RT. Then primary antibody (1% BSA) was incubated at 4℃ overnight. The primary is detected by a Goat anti-rabbit IgG polymer labeled by HRP and visualized using 0.05% DAB.
MAOB Antibodies
MAOB for Homo sapiens (Human)
| 產品貨號 | 產品名稱 | 種屬反應性 | 應用類型 |
|---|---|---|---|
| CSB-PA013399LD01HU | MAOB Antibody, Biotin conjugated | Human | ELISA |
| CSB-PA013399LB01HU | MAOB Antibody, HRP conjugated | Human | ELISA |
| CSB-PA013399GA01HU | MAOB Antibody | Human,Mouse,Rat | ELISA,WB,IHC |
| CSB-PA013399LA01HU | MAOB Antibody | Human, Mouse | ELISA, WB, IHC |
| CSB-PA013399LC01HU | MAOB Antibody, FITC conjugated | Human | |
| CSB-RA999377A0HU | MAOB Recombinant Monoclonal Antibody | Human | ELISA, WB, IHC |
MAOB Proteins
MAOB Proteins for Homo sapiens (Human)
| 產品貨號 | 產品名稱 | 來源 |
|---|---|---|
| CSB-YP013399HU CSB-BP013399HU CSB-MP013399HU CSB-EP013399HU-B |
Recombinant Human Amine oxidase [flavin-containing] B (MAOB), partial | Yeast Baculovirus Mammalian cell In Vivo Biotinylation in E.coli |
| CSB-EP013399HU | Recombinant Human Amine oxidase [flavin-containing] B (MAOB), partial | E.coli |






