MBTPS1
MBTPS1,即膜結合轉錄因子肽酶位點1。別名S1P、PCSK8、SEDKF、SKI-1。它是一種由人類基因組編碼的蛋白質,屬于枯草桿菌蛋白酶樣原蛋白轉化酶家族的成員。MBTPS1在內質網中以不活躍的前體形式合成,經過高爾基體的自催化加工后變得活躍。其作用機制主要是通過在非堿性殘基處切割底物,調節膽固醇或脂質穩態。MBTPS1在多種細胞過程中發揮作用,包括調節膽固醇和脂肪酸的合成、促進抗體分泌細胞的生成以及在內質網應激反應中激活ATF6。MBTPS1參與調控細胞的增殖、分化、脂質代謝和內質網應激反應。該基因的突變可能與溶酶體功能障礙相關,且與某些遺傳性疾病如Kondo-Fu類型的粘多糖貯積癥和脊柱-干骺端發育不良有關。
熱銷產品
驗證數據
(Tris-Glycine gel) Discontinuous SDS-PAGE (reduced) with 5% enrichment gel and 15% separation gel.
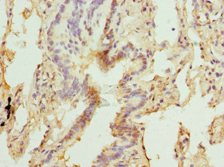
MBTPS1 Antibody (CSB-PA237035ESR2HU)
驗證數據
Immunohistochemistry of paraffin-embedded human lung tissue using CSB-PA237035ESR2HU at dilution of 1:100
Immunohistochemistry of paraffin-embedded human small intestine tissue using CSB-PA237035ESR2HU at dilution of 1:100
MBTPS1 Antibodies
MBTPS1 for Homo sapiens (Human)
| 產品貨號 | 產品名稱 | 種屬反應性 | 應用類型 |
|---|---|---|---|
| CSB-PA237035 | MBTPS1 Antibody | Human,Mouse,Rat | ELISA,WB |
| CSB-PA070134 | MBTPS1 Antibody | Human,Mouse,Rat | WB, ELISA |
| CSB-PA237035ESR1HU | MBTPS1 Antibody | Human | ELISA, IHC |
| CSB-PA237035ESR2HU | MBTPS1 Antibody | Human | ELISA, IHC |
| CSB-PA617930LA01HU | MBTPS1 Antibody | Human | ELISA, IHC |
| CSB-PA617930LA11HU | MBTPS1 Antibody | Human | ELISA, IF |
| CSB-PA617930LD01HU | MBTPS1 Antibody, Biotin conjugated | Human | ELISA |
| CSB-PA617930LD11HU | MBTPS1 Antibody, Biotin conjugated | Human | ELISA |
| CSB-PA617930LC01HU | MBTPS1 Antibody, FITC conjugated | Human | |
| CSB-PA617930LC11HU | MBTPS1 Antibody, FITC conjugated | Human | |
| CSB-MA617930A0m | MBTPS1 Monoclonal Antibody | Human | ELISA, WB, FC |
MBTPS1 Proteins
MBTPS1 Proteins for Homo sapiens (Human)
| 產品貨號 | 產品名稱 | 來源 |
|---|---|---|
| CSB-YP617930HU CSB-BP617930HU CSB-MP617930HU CSB-EP617930HU-B |
Recombinant Human Membrane-bound transcription factor site-1 protease (MBTPS1), partial | Yeast Baculovirus Mammalian cell In Vivo Biotinylation in E.coli |
| CSB-EP617930HU | Recombinant Human Membrane-bound transcription factor site-1 protease (MBTPS1), partial | E.coli |
| CSB-EP617930HU1 | Recombinant Human Membrane-bound transcription factor site-1 protease (MBTPS1), partial | E.coli |
MBTPS1 Proteins for Rattus norvegicus (Rat)
| 產品貨號 | 產品名稱 | 來源 |
|---|---|---|
| CSB-YP893411RA CSB-EP893411RA CSB-BP893411RA CSB-MP893411RA CSB-EP893411RA-B |
Recombinant Rat Membrane-bound transcription factor site-1 protease (Mbtps1), partial | Yeast E.coli Baculovirus Mammalian cell In Vivo Biotinylation in E.coli |
MBTPS1 Proteins for Mus musculus (Mouse)
| 產品貨號 | 產品名稱 | 來源 |
|---|---|---|
| CSB-YP895279MO CSB-EP895279MO CSB-BP895279MO CSB-MP895279MO CSB-EP895279MO-B |
Recombinant Mouse Membrane-bound transcription factor site-1 protease (Mbtps1), partial | Yeast E.coli Baculovirus Mammalian cell In Vivo Biotinylation in E.coli |






