MMP2
MMP2,全稱為基質金屬蛋白酶2,也被稱為72 kDa型IV膠原酶或凝膠酶A。該蛋白在多種生理過程中扮演重要角色,如血管重塑、組織修復、腫瘤侵襲和炎癥反應。MMP2能夠降解細胞外基質,促進細胞遷移和侵襲。在癌癥中,MMP2的異常表達與腫瘤的侵襲和轉移密切相關。此外,MMP2還與心血管疾病、關節炎等疾病有關。目前,針對MMP2的藥物研發正在積極進行中,旨在開發能夠抑制MMP2活性,從而治療相關疾病的新藥。
熱銷產品
Recombinant Human 72 kDa type IV collagenase (MMP2) (CSB-MP014666HU1)
驗證數據
(Tris-Glycine gel) Discontinuous SDS-PAGE (reduced) with 5% enrichment gel and 15% separation gel.
MMP2 Antibody (CSB-PA06879A0Rb)
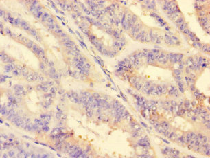
驗證數據
Immunohistochemistry of paraffin-embedded human endometrial cancer using CSB-PA06879A0Rb at dilution of 1:100
Immunohistochemistry of paraffin-embedded human prostate cancer using CSB-PA06879A0Rb at dilution of 1:100
Immunofluorescent analysis of Hela cells using CSB-PA06879A0Rb at dilution of 1:100 and Alexa Fluor 488-congugated AffiniPure Goat Anti-Rabbit IgG(H+L)
MMP2 Antibodies
MMP2 for Homo sapiens (Human)
| 產品貨號 | 產品名稱 | 種屬反應性 | 應用類型 |
|---|---|---|---|
| CSB-PA014666GA01HU | MMP2 Antibody | Human,Mouse,Rat | ELISA,WB,IHC |
| CSB-PA063238 | MMP2 Antibody | Human,Mouse,Rat | ELISA,WB |
| CSB-PA003258 | MMP2 Antibody | Human,Mouse,Rat,Monkey | WB, IHC, IF, ELISA |
| CSB-PA940735 | MMP2 Antibody | Human,Mouse,Rat | ELISA,IHC |
| CSB-PA139729 | MMP2 Antibody | Human,Mouse,Rat | ELISA,WB |
| CSB-PA211774 | MMP2 Antibody | Human,Mouse,Rat | ELISA,IHC |
| CSB-PA174054 | MMP2 Antibody | Human,Mouse,Rat | ELISA,IHC |
| CSB-PA06879A0Rb | MMP2 Antibody | Human | ELISA, IHC, IF |
| CSB-PA06879B0Rb | MMP2 Antibody, HRP conjugated | Human | ELISA |
| CSB-PA06879D0Rb | MMP2 Antibody, Biotin conjugated | Human | ELISA |
| CSB-PA014666LA01HU | MMP2 Antibody | Human | ELISA, IHC |
| CSB-PA014666LB01HU | MMP2 Antibody, HRP conjugated | Human | ELISA |
| CSB-PA014666LC01HU | MMP2 Antibody, FITC conjugated | Human | |
| CSB-PA014666LD01HU | MMP2 Antibody, Biotin conjugated | Human | ELISA |
MMP2 for Rattus norvegicus (Rat)
| 產品貨號 | 產品名稱 | 種屬反應性 | 應用類型 |
|---|---|---|---|
| CSB-PA014666LA01RA | Mmp2 Antibody | Rat | ELISA |
MMP2 for Mus musculus (Mouse)
| 產品貨號 | 產品名稱 | 種屬反應性 | 應用類型 |
|---|---|---|---|
| CSB-PA014666LA01MO | Mmp2 Antibody | Mouse, Human | ELISA, WB |
| CSB-PA014666LB01MO | Mmp2 Antibody, HRP conjugated | Mouse | ELISA |
| CSB-PA014666LC01MO | Mmp2 Antibody, FITC conjugated | Mouse | |
| CSB-PA014666LD01MO | Mmp2 Antibody, Biotin conjugated | Mouse | ELISA |
MMP2 Proteins
MMP2 Proteins for Mus musculus (Mouse)
| 產品貨號 | 產品名稱 | 來源 |
|---|---|---|
| CSB-YP014666MO CSB-EP014666MO CSB-BP014666MO CSB-MP014666MO CSB-EP014666MO-B |
Recombinant Mouse 72 kDa type IV collagenase (Mmp2) | Yeast E.coli Baculovirus Mammalian cell In Vivo Biotinylation in E.coli |
MMP2 Proteins for Oryctolagus cuniculus (Rabbit)
| 產品貨號 | 產品名稱 | 來源 |
|---|---|---|
| CSB-YP014666RB CSB-EP014666RB CSB-BP014666RB CSB-MP014666RB CSB-EP014666RB-B |
Recombinant Rabbit 72 kDa type IV collagenase (MMP2), partial | Yeast E.coli Baculovirus Mammalian cell In Vivo Biotinylation in E.coli |
MMP2 Proteins for Homo sapiens (Human)
| 產品貨號 | 產品名稱 | 來源 |
|---|---|---|
| CSB-YP014666HU CSB-EP014666HU CSB-BP014666HU CSB-MP014666HU CSB-EP014666HU-B |
Recombinant Human 72 kDa type IV collagenase (MMP2) | Yeast E.coli Baculovirus Mammalian cell In Vivo Biotinylation in E.coli |
| CSB-MP014666HU1 | Recombinant Human 72 kDa type IV collagenase (MMP2) | Mammalian cell |
MMP2 Proteins for Rattus norvegicus (Rat)
| 產品貨號 | 產品名稱 | 來源 |
|---|---|---|
| CSB-YP014666RA | Recombinant Rat 72 kDa type IV collagenase (Mmp2) | Yeast |
| CSB-EP014666RA | Recombinant Rat 72 kDa type IV collagenase (Mmp2) | E.coli |
| CSB-BP014666RA CSB-MP014666RA CSB-EP014666RA-B |
Recombinant Rat 72 kDa type IV collagenase (Mmp2) | Baculovirus Mammalian cell In Vivo Biotinylation in E.coli |
MMP2 Proteins for Gallus gallus (Chicken)
| 產品貨號 | 產品名稱 | 來源 |
|---|---|---|
| CSB-YP852663CH CSB-EP852663CH CSB-BP852663CH CSB-MP852663CH CSB-EP852663CH-B |
Recombinant Chicken 72 kDa type IV collagenase (MMP2), partial | Yeast E.coli Baculovirus Mammalian cell In Vivo Biotinylation in E.coli |
MMP2 Proteins for Bos taurus (Bovine)
| 產品貨號 | 產品名稱 | 來源 |
|---|---|---|
| CSB-YP861945BO CSB-EP861945BO CSB-BP861945BO CSB-MP861945BO CSB-EP861945BO-B |
Recombinant Bovine 72 kDa type IV collagenase (MMP2) | Yeast E.coli Baculovirus Mammalian cell In Vivo Biotinylation in E.coli |
MMP2 ELISA Kit
MMP2 ELISA Kit for Homo sapiens (Human)
| 產品貨號 | 產品名稱 | 樣本類型 | 靈敏度 |
|---|---|---|---|
| CSB-E04675h | Human Matrix metalloproteinase 2/Gelatinase A,MMP-2 ELISA kit | serum, plasma, cell culture supernates, tissue homogenates | 0.195 ng/mL |
MMP2 ELISA Kit for Mus musculus (Mouse)
| 產品貨號 | 產品名稱 | 樣本類型 | 靈敏度 |
|---|---|---|---|
| CSB-E04676m | Mouse matrix metalloproteinase 2/Gelatinase A,MMP-2 ELISA kit | serum, plasma, cell culture supernates, tissue homogenates | 3.9 pg/mL |
MMP2 ELISA Kit for Oryctolagus cuniculus (Rabbit)
| 產品貨號 | 產品名稱 | 樣本類型 | 靈敏度 |
|---|---|---|---|
| CSB-E10373Rb | Rabbit matrix metalloproteinase 2/Gelatinase A,MMP-2 ELISA Kit | serum, plasma, tissue homogenates | 0.39 ng/mL |
MMP2 ELISA Kit for Rattus norvegicus (Rat)
| 產品貨號 | 產品名稱 | 樣本類型 | 靈敏度 |
|---|---|---|---|
| CSB-E07411r | Rat matrix metalloproteinase 2/Gelatinase A,MMP-2 ELISA kit | serum, plasma, cell culture supernates, tissue homogenates | 0.156 ng/mL |






