MT1A
金屬硫蛋白1A(Metallothionein 1A,簡稱MT1A)是一類廣泛存在于人體組織的小分子蛋白,因其富含半胱氨酸殘基也被稱作"金屬結合衛士"。MT1A通過螯合鋅、銅等必需金屬離子,維持細胞內環境穩定,同時能高效中和重金屬毒性物質如鎘和汞,在肝臟解毒過程中發揮核心作用。其抗氧化特性對抵御自由基損傷、延緩細胞衰老具有重要價值。
MT1A表達異常與多種病理狀態相關。在阿爾茨海默病、帕金森病等神經退行性疾病中,患者腦部MT1A水平顯著下降,提示其可能參與神經保護過程。肝癌、乳腺癌等惡性腫瘤組織常出現該蛋白的異常高表達,可能與腫瘤細胞抵抗化療藥物及適應缺氧微環境有關。近年針對MT1A的調控策略逐漸受到關注,包括利用其作為重金屬中毒的生物標志物,開發基于金屬硫蛋白結構的仿生解毒劑,以及探索通過表觀遺傳手段調節其表達來增強抗癌療效。天然產物如姜黃素已被證實可誘導MT1A生成,為抗氧化治療提供了新思路。
熱銷產品
Recombinant Human Metallothionein-1A (MT1A), partial (CSB-EP015107HU1)
驗證數據
(Tris-Glycine gel) Discontinuous SDS-PAGE (reduced) with 5% enrichment gel and 15% separation gel.
MT1A Antibody (CSB-PA17444A0Rb)
驗證數據
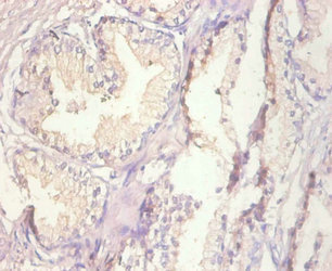
Immunohistochemistry of paraffin-embedded human prostate tissue using CSB-PA17444A0Rb at dilution of 1:100
Immunohistochemistry of paraffin-embedded human kidney tissue using CSB-PA17444A0Rb at dilution of 1:100
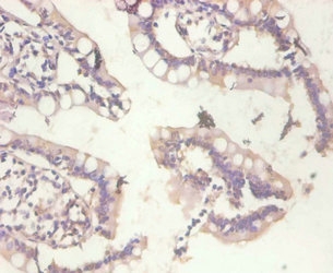
Immunohistochemistry of paraffin-embedded human small intestine tissue using CSB-PA17444A0Rb at dilution of 1:100
Human Metallothionein,MT ELISA Kit (CSB-E09060h)
驗證數據
貨號:CSB-E09060h
規格:96T/48T
靈敏度:0.813 pg/mL
檢測范圍:6.25 pg/mL-400 pg/mL
These standard curves are provided for demonstration only. A standard curve should be generated for each set of samples assayed.
MT1A Antibodies
MT1A for Homo sapiens (Human)
| 產品貨號 | 產品名稱 | 種屬反應性 | 應用類型 |
|---|---|---|---|
| CSB-PA17444C0Rb | MT1A Antibody, FITC conjugated | Human | |
| CSB-PA17444A0Rb | MT1A Antibody | Human | ELISA, IHC |
MT1A Proteins
MT1A Proteins for Homo sapiens (Human)
| 產品貨號 | 產品名稱 | 來源 |
|---|---|---|
| CSB-YP015107HU CSB-EP015107HU CSB-BP015107HU CSB-MP015107HU CSB-EP015107HU-B |
Recombinant Human Metallothionein-1A (MT1A) | Yeast E.coli Baculovirus Mammalian cell In Vivo Biotinylation in E.coli |
| CSB-EP015107HU1 | Recombinant Human Metallothionein-1A (MT1A), partial | E.coli |
MT1A ELISA Kit
MT1A ELISA Kit for Homo sapiens (Human)
| 產品貨號 | 產品名稱 | 樣本類型 | 靈敏度 |
|---|---|---|---|
| CSB-E09060h | Human Metallothionein,MT ELISA Kit | serum, plasma, cell culture supernates, tissue homogenates, urine, saliva | 0.813 pg/mL |






