NFKB1
NFKB1,即核因子kappa B亞基1,別名p50,它是核因子-κB(NF-κB)/Rel蛋白家族的一員。NFKB1基因位于3號染色體上,編碼的p50蛋白通常與p65(RelA)形成異二聚體,參與多種生物學過程,包括先天和適應性免疫、炎癥、應激反應、B細胞發育和淋巴器官形成。在細胞質中,NF-κB與IκB蛋白結合并受到其抑制。當細胞受到炎癥因子、脂多糖(LPS)、生長因子等刺激時,IKK復合體激活,導致IκB磷酸化和降解,釋放NF-κB/Rel復合體。活性NF-κB/Rel復合體進一步激活,并轉運入細胞核,誘導靶標基因表達。NFKB1在調節免疫反應和炎癥過程中發揮關鍵作用,其異常激活與多種疾病的發生發展有關,包括自身免疫疾病、炎癥性疾病和某些類型的癌癥,是藥物開發的重要靶點。
熱銷產品
Recombinant Human Nuclear factor NF-kappa-B p105 subunit (NFKB1) (CSB-EP015759HU)
驗證數據
(Tris-Glycine gel) Discontinuous SDS-PAGE (reduced) with 5% enrichment gel and 15% separation gel.
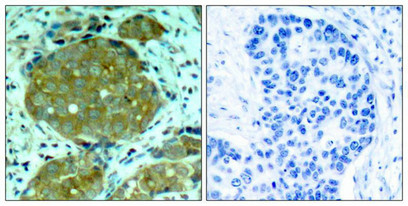
Phospho-NFKB1 (Ser932) Antibody (CSB-PA142672)
驗證數據
Western blot analysis of extracts from 293 cells untreated or treated with TNF-a using NFkB-p105(Phospho-Ser932) Antibody.
Immunohistochemical analysis of paraffin-embedded human breast carcinoma tissue using NFkB-p105(Phospho-Ser932) Antibody(left) or the same antibody preincubated with blocking peptide(right).
Human Nuclear factor-kappa B,NF-κB ELISA Kit (CSB-E12107h)
驗證數據
貨號:CSB-E12107h
規格:96T/48T
靈敏度:0.078 ng/mL
檢測范圍:0.312 ng/mL-20 ng/mL
These standard curves are provided for demonstration only. A standard curve should be generated for each set of samples assayed.
NFKB1 Antibodies
NFKB1 for Homo sapiens (Human)
| 產品貨號 | 產品名稱 | 種屬反應性 | 應用類型 |
|---|---|---|---|
| CSB-PA10354A0Rb | NFKB1 Antibody | Human | ELISA, WB, IHC, IF, ChIP |
| CSB-PA10354B0Rb | NFKB1 Antibody, HRP conjugated | Human | ELISA |
| CSB-PA10354C0Rb | NFKB1 Antibody, FITC conjugated | Human | |
| CSB-PA10354D0Rb | NFKB1 Antibody, Biotin conjugated | Human | ELISA |
| CSB-PA015759GA01HU | NFKB1 Antibody | Human,Mouse,Rat | ELISA,WB |
| CSB-PA142672 | Phospho-NFKB1 (Ser932) Antibody | Human,Mouse,Rat | ELISA,WB,IHC |
| CSB-PA283590 | Phospho-NFKB1 (Ser927) Antibody | Human,Mouse,Rat | ELISA,WB,IHC,IF |
| CSB-PA186775 | NFKB1 (Ab-337) Antibody | Human,Mouse,Rat | ELISA,WB,IHC |
| CSB-PA108426 | NFKB1 (Ab-893) Antibody | Human | ELISA,WB,IHC |
| CSB-PA696291 | NFKB1 (Ab-907) Antibody | Human | ELISA,WB,IHC |
| CSB-PA190132 | NFKB1 (Ab-932) Antibody | Human,Mouse,Rat | ELISA,WB,IHC |
| CSB-PA632717 | Phospho-NFKB1 (Ser337) Antibody | Human,Mouse,Rat | ELISA,WB,IHC,IF |
| CSB-PA258273 | Phospho-NFKB1 (Ser893) Antibody | Human | ELISA,IHC,IF |
| CSB-PA925652 | Phospho-NFKB1 (Ser907) Antibody | Human | ELISA,WB,IHC |
| CSB-PA000579 | Phospho-NFKB1 (S893) Antibody | Human | WB, IHC, ELISA |
| CSB-PA000580 | Phospho-NFKB1 (S907) Antibody | Human | WB, IHC, IP, ELISA |
| CSB-PA000581 | Phospho-NFKB1 (S932) Antibody | Human,Mouse,Rat | WB, IHC, ELISA |
| CSB-PA000683 | Phospho-NFKB1 (S337) Antibody | Human,Mouse | WB, IHC, ELISA |
| CSB-PA000730 | Phospho-NFKB1 (S927) Antibody | Human,Mouse | WB, IHC, IF, ELISA |
| CSB-PA003430 | NFKB1 Antibody | Human | WB, IHC, IP, ELISA |
| CSB-PA003431 | NFKB1 Antibody | Human,Mouse | WB, IHC, IF, ELISA |
| CSB-PA003434 | NFKB1 Antibody | Human,Mouse | WB, IHC, IF, ELISA |
| CSB-PA004763 | NFKB1 Antibody | Human | WB, ELISA |
| CSB-PA020084 | Phospho-NFKB1 (S337) Antibody | Human,Mouse,Rat | WB, IHC, IF, ELISA |
| CSB-PA020085 | NFKB1 Antibody | Human,Mouse,Rat | WB, IHC, ELISA |
| CSB-PA020086 | NFKB1 Antibody | Human,Mouse,Rat | IHC, ELISA |
| CSB-PA020090 | NFKB1 Antibody | Human | WB, IHC, ELISA |
| CSB-PA020096 | NFKB1 Antibody | Human,Mouse,Rat | WB, IHC, ELISA |
| CSB-PA259078 | NFKB1 Antibody | Human,Mouse,Rat | ELISA,IHC |
| CSB-PA546304 | NFKB1 Antibody | Human,Mouse,Rat | ELISA,IHC |
| CSB-PA441503 | NFKB1 Antibody | Human,Mouse,Rat | ELISA,WB |
NFKB1 Proteins
NFKB1 Proteins for Gallus gallus (Chicken)
| 產品貨號 | 產品名稱 | 來源 |
|---|---|---|
| CSB-YP015759CH CSB-EP015759CH CSB-BP015759CH CSB-MP015759CH CSB-EP015759CH-B |
Recombinant Chicken Nuclear factor NF-kappa-B p105 subunit (NFKB1), partial | Yeast E.coli Baculovirus Mammalian cell In Vivo Biotinylation in E.coli |
NFKB1 Proteins for Homo sapiens (Human)
| 產品貨號 | 產品名稱 | 來源 |
|---|---|---|
| CSB-YP015759HU1 CSB-BP015759HU1 CSB-MP015759HU1 CSB-EP015759HU1-B |
Recombinant Human Nuclear factor NF-kappa-B p105 subunit (NFKB1), partial | Yeast Baculovirus Mammalian cell In Vivo Biotinylation in E.coli |
| CSB-RP103544h | Recombinant Human Nuclear factor NF-kappa-B p105 subunit (NFKB1) | E.coli |
| CSB-EP015759HU | Recombinant Human Nuclear factor NF-kappa-B p105 subunit (NFKB1) | E.coli |
| CSB-EP015759HU1 | Recombinant Human Nuclear factor NF-kappa-B p105 subunit (NFKB1), partial | E.coli |
NFKB1 Proteins for Mus musculus (Mouse)
| 產品貨號 | 產品名稱 | 來源 |
|---|---|---|
| CSB-YP015759MO CSB-BP015759MO CSB-MP015759MO CSB-EP015759MO-B |
Recombinant Mouse Nuclear factor NF-kappa-B p105 subunit (Nfkb1) | Yeast Baculovirus Mammalian cell In Vivo Biotinylation in E.coli |
NFKB1 Proteins for Rattus norvegicus (Rat)
| 產品貨號 | 產品名稱 | 來源 |
|---|---|---|
| CSB-YP723572RA CSB-EP723572RA CSB-BP723572RA CSB-MP723572RA CSB-EP723572RA-B |
Recombinant Rat Nuclear factor NF-kappa-B p105 subunit (Nfkb1) | Yeast E.coli Baculovirus Mammalian cell In Vivo Biotinylation in E.coli |
NFKB1 Proteins for Canis familiaris (Dog) (Canis lupus familiaris)
| 產品貨號 | 產品名稱 | 來源 |
|---|---|---|
| CSB-YP739094DO CSB-EP739094DO CSB-BP739094DO CSB-MP739094DO CSB-EP739094DO-B |
Recombinant Dog Nuclear factor NF-kappa-B p105 subunit (NFKB1) | Yeast E.coli Baculovirus Mammalian cell In Vivo Biotinylation in E.coli |
NFKB1 ELISA Kit
NFKB1 ELISA Kit for Homo sapiens (Human)
| 產品貨號 | 產品名稱 | 樣本類型 | 靈敏度 |
|---|---|---|---|
| CSB-E12107h | Human Nuclear factor-kappa B,NF-κB ELISA Kit | serum, plasma, tissue homogenates, cell lysates | 0.078 ng/mL |
NFKB1 ELISA Kit for Mus musculus (Mouse)
| 產品貨號 | 產品名稱 | 樣本類型 | 靈敏度 |
|---|---|---|---|
| CSB-E12108m | Mouse Nuclear factor-kappa B,NF-κB ELISA Kit | serum, plasma, cell culture supernates | 0.078 ng/mL |
NFKB1 ELISA Kit for Rattus norvegicus (Rat)
| 產品貨號 | 產品名稱 | 樣本類型 | 靈敏度 |
|---|---|---|---|
| CSB-E13148r | Rat Nuclear factor-kappa B(NF-κB) ELISA Kit | serum, plasma, tissue homogenates | 0.39 pg/ml |






