NKX2-1
NKX2-1,又名TTF-1,是一種具有特定同源結構域的轉錄因子,對于甲狀腺、肺和腹側前腦的形態發生和分化至關重要。其編碼的蛋白質含有特定的氨基酸序列和保守結構域,能夠與DNA或其他蛋白質相互作用以調控基因表達。NKX2-1參與調節神經元祖細胞的特性、介導神經元亞型的特化,并引導神經元的遷移,同時參與多個重要的神經系統發育信號通路。此外,NKX2-1的突變和缺失與多種疾病相關,包括良性遺傳性舞蹈病、先天性甲狀腺功能減退和新生兒呼吸窘迫等,并可能與甲狀腺癌和神經管畸形等疾病的發生有關。因此,對NKX2-1的深入研究不僅有助于理解其生物學功能,也為相關疾病的預防和治療提供了新的視角。
熱銷產品
NKX2-1 Recombinant Monoclonal Antibody (CSB-RA181189A0HU)
驗證數據
Western Blot
Positive WB detected in: HepG2 whole cell lysate, U251 whole cell lysate, U87 whole cell lysate
All lanes: TTF1 antibody at 1:2000
Secondary
Goat polyclonal to rabbit IgG at 1/50000 dilution
Predicted band size: 39 kDa
Observed band size: 39 kDa
IHC image of CSB-RA181189A0HU diluted at 1:100 and staining in paraffin-embedded human lung tissue performed on a Leica BondTM system. After dewaxing and hydration, antigen retrieval was mediated by high pressure in a citrate buffer (pH 6.0). Section was blocked with 10% normal goat serum 30min at RT. Then primary antibody (1% BSA) was incubated at 4℃ overnight. The primary is detected by a Goat anti-rabbit IgG polymer labeled by HRP and visualized using 0.05% DAB.
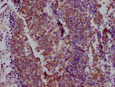
IHC image of CSB-RA181189A0HU diluted at 1:100 and staining in paraffin-embedded human lung cancer performed on a Leica BondTM system. After dewaxing and hydration, antigen retrieval was mediated by high pressure in a citrate buffer (pH 6.0). Section was blocked with 10% normal goat serum 30min at RT. Then primary antibody (1% BSA) was incubated at 4℃ overnight. The primary is detected by a Goat anti-rabbit IgG polymer labeled by HRP and visualized using 0.05% DAB.
Overlay histogram showing A549 cells stained with CSB-RA181189A0HU (red line) at 1:50. The cells were fixed with 70% Ethylalcohol (18h) and then incubated in 10% normal goat serum to block non-specific protein-protein interactions followedby the antibody (1μg/1*106 cells) for 1 h at 4℃.The secondary antibody used was FITC-conjugated goat anti-rabbit IgG (H+L) at 1/200 dilution for 30min at 4℃. Control antibody (green line) was Rabbit IgG (1μg/1*106 cells) used under the same conditions. Acquisition of >10,000 events was performed.
NKX2-1 Antibodies
NKX2-1 for Homo sapiens (Human)
| 產品貨號 | 產品名稱 | 種屬反應性 | 應用類型 |
|---|---|---|---|
| CSB-PA050265 | NKX2-1 Antibody | Human,Mouse,Rat | WB, ELISA |
| CSB-PA786596 | NKX2-1 Antibody | Human,Mouse,Rat | ELISA,WB |
| CSB-PA062706 | NKX2-1 Antibody | Human,Mouse,Rat | ELISA,WB |
| CSB-RA181189A0HU | NKX2-1 Recombinant Monoclonal Antibody | Human | ELISA, WB, IHC, FC |
NKX2-1 Proteins
NKX2-1 Proteins for Homo sapiens (Human)
| 產品貨號 | 產品名稱 | 來源 |
|---|---|---|
| CSB-YP015841HU CSB-BP015841HU CSB-MP015841HU CSB-EP015841HU-B |
Recombinant Human Homeobox protein Nkx-2.1 (NKX2-1) | Yeast Baculovirus Mammalian cell In Vivo Biotinylation in E.coli |
| CSB-EP015841HU | Recombinant Human Homeobox protein Nkx-2.1 (NKX2-1) | E.coli |






