NMI
NMI,全稱為N-myc 和 STAT 交互作用蛋白,是一種參與免疫應答的重要蛋白質。它能夠與 N-myc 和 CMYC 等致癌基因相互作用,以及其他包含 Zip、HLH 或 HLH-Zip 基序的轉錄因子相互作用。NMI 蛋白在先天免疫應答的負向調節中發揮作用,參與巨噬細胞激活、防御應答的正向調節以及 NIK/NF-kappaB 信號傳導的調節。NMI 蛋白還能夠在多種細胞組件中發揮作用,包括胞質、胞外空間和核質,并在胞質中活躍。
NMI 蛋白與多種疾病相關,包括膿毒癥、肝損傷和敗血癥等。研究發現,NMI 和 IFP35 基因敲除可以顯著降低膿毒癥和肝損傷小鼠的死亡率,且這兩種蛋白的含量與病人疾病嚴重程度相關。此外,NMI 蛋白還與泡沫病毒的抗病毒作用機制相關,能夠抑制泡沫病毒的復制。
目前,NMI 蛋白已成為藥物研發的重要靶點。例如,有研究以 IFP35 和 NMI 為靶點,開發用于治療炎癥性腸病、關節炎、銀屑病、系統性紅斑狼瘡、神經系統疾病、肺損傷、腹膜炎、腫瘤疾病和胸腔感染類疾病的藥物。此外,還有研究報道了 NMI 蛋白作為生物靶標在制備成人社區獲得性肺炎藥物中的應用。
熱銷產品
Recombinant Human N-myc-interactor (NMI), partial (CSB-EP618768HU1)
驗證數據
(Tris-Glycine gel) Discontinuous SDS-PAGE (reduced) with 5% enrichment gel and 15% separation gel.
NMI Antibody (CSB-PA618768LA01HU)
驗證數據
Western Blot
Positive WB detected in: Rat heart tissue
All lanes: NMI antibody at 3.5μg/ml
Secondary
Goat polyclonal to rabbit IgG at 1/50000 dilution
Predicted band size: 36 kDa
Observed band size: 36 kDa
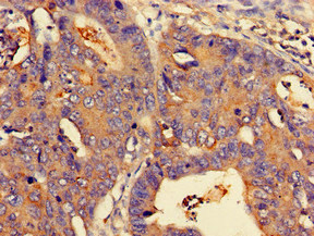
Immunohistochemistry of paraffin-embedded human colon cancer using CSB-PA618768LA01HU at dilution of 1:100
Immunofluorescent analysis of HepG2 cells using CSB-PA618768LA01HU at dilution of 1:100 and Alexa Fluor 488-congugated AffiniPure Goat Anti-Rabbit IgG(H+L)
Human N-myc-interactor(NMI) ELISA kit (CSB-EL015893HU)
驗證數據
貨號:CSB-EL015893HU
規格:96T/48T
靈敏度:5.8 pg/mL
檢測范圍:23.5 pg/mL-1500 pg/mL
These standard curves are provided for demonstration only. A standard curve should be generated for each set of samples assayed.
NMI Antibodies
NMI for Homo sapiens (Human)
| 產品貨號 | 產品名稱 | 種屬反應性 | 應用類型 |
|---|---|---|---|
| CSB-PA618768LA01HU | NMI Antibody | Human, Rat | ELISA, WB, IHC, IF |
| CSB-PA618768LB01HU | NMI Antibody, HRP conjugated | Human | ELISA |
| CSB-PA618768LC01HU | NMI Antibody, FITC conjugated | Human | |
| CSB-PA618768LD01HU | NMI Antibody, Biotin conjugated | Human | ELISA |
NMI Proteins
NMI Proteins for Homo sapiens (Human)
| 產品貨號 | 產品名稱 | 來源 |
|---|---|---|
| CSB-YP618768HU CSB-EP618768HU CSB-BP618768HU CSB-MP618768HU CSB-EP618768HU-B |
Recombinant Human N-myc-interactor (NMI) | Yeast E.coli Baculovirus Mammalian cell In Vivo Biotinylation in E.coli |
| CSB-EP618768HU1 | Recombinant Human N-myc-interactor (NMI), partial | E.coli |
NMI ELISA Kit
NMI ELISA Kit for Homo sapiens (Human)
| 產品貨號 | 產品名稱 | 樣本類型 | 靈敏度 |
|---|---|---|---|
| CSB-EL015893HU | Human N-myc-interactor(NMI) ELISA kit | serum, plasma, tissue homogenates, cell lysates | 5.8 pg/mL |






