NOTCH1
NOTCH1,全稱為Notch (Drosophila) homolog 1 (translocation-associated),是一種參與發育過程的跨膜糖蛋白,屬于Notch蛋白家族的一員。該蛋白具有多種別名,如TAN1、neurogenic locus notch homolog protein 1等。NOTCH1蛋白在細胞表面表達,通過與相鄰細胞分泌的配體結合,被切割并釋放其胞內結構域,進而進入細胞核,參與調控下游基因的表達,影響細胞命運決定、增殖、分化等過程。NOTCH1蛋白的異常激活與多種癌癥的發生發展密切相關,如肺癌、結直腸癌、胃癌及乳腺癌等。針對NOTCH1蛋白的藥物研發已取得一定進展,例如γ-分泌酶抑制劑(GSI)可通過抑制NOTCH1蛋白的切割來阻斷其信號通路,已在臨床試驗中顯示出一定的抗腫瘤效果。此外,還有針對NOTCH1受體、配體、γ-分泌酶的單克隆抗體等新型藥物正在研發中,有望為癌癥治療提供更多選擇。
熱銷產品
Recombinant Human Neurogenic locus notch homolog protein 1 (NOTCH1), partial (CSB-EP015949HU)
驗證數據
(Tris-Glycine gel) Discontinuous SDS-PAGE (reduced) with 5% enrichment gel and 15% separation gel.
NOTCH1 Recombinant Monoclonal Antibody (CSB-RA599445A0HU)
驗證數據
Western Blot
Positive WB detected in: HepG2 whole cell lysate, THP-1 whole cell lysate, HL-60 whole cell lysate
All lanes: Notch1 antibody at 1:1000
Secondary
Goat polyclonal to rabbit IgG at 1/50000 dilution
Predicted band size: 273 kDa
Observed band size: 120 kDa
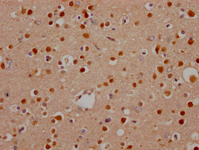
IHC image of CSB-RA599445A0HU diluted at 1:100 and staining in paraffin-embedded human brain tissue performed on a Leica BondTM system. After dewaxing and hydration, antigen retrieval was mediated by high pressure in a citrate buffer (pH 6.0). Section was blocked with 10% normal goat serum 30min at RT. Then primary antibody (1% BSA) was incubated at 4℃ overnight. The primary is detected by a Goat anti-rabbit IgG polymer labeled by HRP and visualized using 0.05% DAB.
Human Neurogenic locus notch homolog protein 1(NOTCH1) ELISA kit (CSB-EL015949HU)
驗證數據
貨號:CSB-EL015949HU
規格:96T/48T
靈敏度:19.5 pg/mL
檢測范圍:78 pg/mL-5000 pg/mL
These standard curves are provided for demonstration only. A standard curve should be generated for each set of samples assayed.
NOTCH1 Antibodies
NOTCH1 for Homo sapiens (Human)
| 產品貨號 | 產品名稱 | 種屬反應性 | 應用類型 |
|---|---|---|---|
| CSB-PA015949GA01HU | NOTCH1 Antibody | Human,Mouse,Rat,Zebrafish | ELISA,WB,IHC |
| CSB-PA000057 | Cleaved-NOTCH1 (V1754) Antibody | Human,Mouse,Rat | WB, IHC, ELISA |
| CSB-PA084572 | NOTCH1 Antibody | Human,Rat | ELISA,WB,IHC |
| CSB-PA185075 | NOTCH1 Antibody | Human,Rat | ELISA,WB |
| CSB-PA015949LA01HU | NOTCH1 Antibody | Human | ELISA, IHC, IF |
| CSB-PA015949LB01HU | NOTCH1 Antibody, HRP conjugated | Human | ELISA |
| CSB-PA015949LC01HU | NOTCH1 Antibody, FITC conjugated | Human | |
| CSB-PA015949LD01HU | NOTCH1 Antibody, Biotin conjugated | Human | ELISA |
| CSB-RA599445A0HU | NOTCH1 Recombinant Monoclonal Antibody | Human | ELISA, WB, IHC |
NOTCH1 Proteins
NOTCH1 Proteins for Homo sapiens (Human)
| 產品貨號 | 產品名稱 | 來源 |
|---|---|---|
| CSB-YP015949HU CSB-BP015949HU CSB-MP015949HU CSB-EP015949HU-B |
Recombinant Human Neurogenic locus notch homolog protein 1 (NOTCH1), partial | Yeast Baculovirus Mammalian cell In Vivo Biotinylation in E.coli |
| CSB-EP015949HU | Recombinant Human Neurogenic locus notch homolog protein 1 (NOTCH1), partial | E.coli |
NOTCH1 Proteins for Xenopus laevis (African clawed frog)
| 產品貨號 | 產品名稱 | 來源 |
|---|---|---|
| CSB-YP322025XBE CSB-EP322025XBE CSB-BP322025XBE CSB-MP322025XBE CSB-EP322025XBE-B |
Recombinant Xenopus laevis Neurogenic locus notch protein homolog (notch1), partial | Yeast E.coli Baculovirus Mammalian cell In Vivo Biotinylation in E.coli |
NOTCH1 ELISA Kit
NOTCH1 ELISA Kit for Homo sapiens (Human)
| 產品貨號 | 產品名稱 | 樣本類型 | 靈敏度 |
|---|---|---|---|
| CSB-EL015949HU | Human Neurogenic locus notch homolog protein 1(NOTCH1) ELISA kit | serum, plasma, tissue homogenates | 19.5 pg/mL |






