NSD3
NSD3,全稱為核受體結合SET結構域3蛋白,也被稱為蛋白 whistle 或 WHSC1L1。該蛋白屬于賴氨酸甲基轉移酶家族,參與多種細胞過程,包括轉錄調節、DNA損傷修復、非組蛋白相關功能等。NSD3蛋白在多種疾病中表達異常,尤其在腫瘤發生中起重要作用。研究表明,NSD3基因的擴增或與其他基因的融合等與人類腫瘤的發生密切相關。NSD3蛋白通過催化組蛋白H3K36位點的甲基化,調節染色質的完整性和基因的表達,進而影響細胞周期進程和腫瘤發生。目前,針對NSD3蛋白的靶向藥物研發已成為抗腫瘤治療的重要方向之一。
熱銷產品
Recombinant Human Histone-lysine N-methyltransferase NSD3 (NSD3) (CSB-YP880145HU)
驗證數據
(Tris-Glycine gel) Discontinuous SDS-PAGE (reduced) with 5% enrichment gel and 15% separation gel.
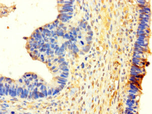
WHSC1L1 Antibody (CSB-PA880145LA01HU)
驗證數據
Immunohistochemistry of paraffin-embedded human ovarian cancer using CSB-PA880145LA01HU at dilution of 1:100
NSD3 Antibodies
NSD3 for Homo sapiens (Human)
| 產品貨號 | 產品名稱 | 種屬反應性 | 應用類型 |
|---|---|---|---|
| CSB-PA026108GA01HU | WHSC1L1 Antibody | Human,Mouse,Rat | ELISA,WB,IHC |
| CSB-PA880145LA01HU | WHSC1L1 Antibody | Human | ELISA, IHC |
NSD3 Proteins
NSD3 Proteins for Homo sapiens (Human)
| 產品貨號 | 產品名稱 | 來源 |
|---|---|---|
| CSB-YP880145HU | Recombinant Human Histone-lysine N-methyltransferase NSD3 (NSD3) | Yeast |
| CSB-EP880145HU CSB-BP880145HU CSB-MP880145HU CSB-EP880145HU-B |
Recombinant Human Histone-lysine N-methyltransferase NSD3 (NSD3) | E.coli Baculovirus Mammalian cell In Vivo Biotinylation in E.coli |






