OLFML3
OLFML3,即嗅覺調節素樣蛋白3,別名OLF44、HNOEL-iso。OLFML3由人類OLFML3基因編碼,該基因位于1號染色體的p13.2區域。OLFML3是一種分泌性的細胞外基質糖蛋白,具有C-末端OLF結構域,有助于蛋白質-蛋白質相互作用、細胞粘附和細胞間相互作用。它既作為骨架蛋白,將骨形態發生蛋白1招募到其底物Chordin上,又作為具有促血管生成特性的血管組織重塑劑。OLFML3在多種生理過程中發揮作用,包括調節細胞周期、致癌作用以及調節Notch或Wnt等重要信號通路,還在胚胎模式形成中發揮作用。OLFML3影響血管生成,在病理和正常條件下都具有作為新的促血管生成因子的功能。在中樞神經系統和造血系統的發育和功能組織中,OLFML3可能涉及其中。
熱銷產品
OLFML3 Antibody (CSB-PA885708LA01HU)
驗證數據
Western Blot
Positive WB detected in: Rat skeletal muscle tissue
All lanes: OLFML3 antibody at 2μg/ml
Secondary
Goat polyclonal to rabbit IgG at 1/50000 dilution
Predicted band size: 47, 44, 33 kDa
Observed band size: 47 kDa
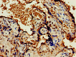
Immunohistochemistry of paraffin-embedded human placenta tissue using CSB-PA885708LA01HU at dilution of 1:100
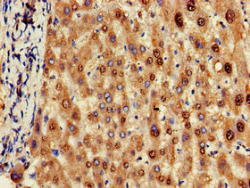
Immunohistochemistry of paraffin-embedded human liver tissue using CSB-PA885708LA01HU at dilution of 1:100
OLFML3 Antibodies
OLFML3 for Homo sapiens (Human)
| 產品貨號 | 產品名稱 | 種屬反應性 | 應用類型 |
|---|---|---|---|
| CSB-PA885708LA01HU | OLFML3 Antibody | Human, Rat | ELISA, WB, IHC |
| CSB-PA885708LC01HU | OLFML3 Antibody, FITC conjugated | Human | |
| CSB-PA885708LD01HU | OLFML3 Antibody, Biotin conjugated | Human | ELISA |
OLFML3 Proteins
OLFML3 Proteins for Homo sapiens (Human)
| 產品貨號 | 產品名稱 | 來源 |
|---|---|---|
| CSB-YP885708HU CSB-EP885708HU CSB-BP885708HU CSB-MP885708HU CSB-EP885708HU-B |
Recombinant Human Olfactomedin-like protein 3 (OLFML3) | Yeast E.coli Baculovirus Mammalian cell In Vivo Biotinylation in E.coli |






