PEX19
PEX19,即過氧化物酶體生物發生因子19,別名PXF、HK33、PMP1、PMPI、PXMP1、PBD12A、D1S2223E。它在人類中位于1q23.2染色體上,編碼的蛋白質是早期過氧化物酶體生物發生所必需的。PEX19的作用機制包括與Pex3的相互作用以及與含膜過氧化物酶體靶向信號(mPTS)的PMPs的相互作用。PEX19的N末端和C末端構建體分別負責與Pex3和PMPs的結合。Pex25對于過氧化物酶體與CTC變體的形成至關重要,其過表達增強了它們與Pex3的相互作用,并有助于NTC和CTC Pex19變體的生長。PEX19基因的缺陷可能導致Zellweger綜合征(ZWS)以及過氧化物酶體生物發生障礙互補組14(PBD-CG14),顯示了其在人類健康中的重要性。
熱銷產品
Recombinant Human Peroxisomal biogenesis factor 19 (PEX19) (Active) (CSB-EP017802HU)
驗證數據
(Tris-Glycine gel) Discontinuous SDS-PAGE (reduced) with 5% enrichment gel and 15% separation gel.
Activity
Measured by its binding ability in a functional ELISA. Immobilized ABCD1 at 5 μg/ml can bind human PEX19, the EC50 of human PEX19 is 22.96-33.00 μg/ml.
PEX19 Antibody (CSB-PA017802DSR2HU)
驗證數據
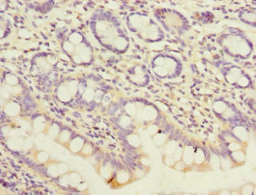
Immunohistochemistry of paraffin-embedded human small intestine tissue using CSB-PA017802DSR2HU at dilution of 1:100
Immunohistochemistry of paraffin-embedded human colon cancer using CSB-PA017802DSR2HU at dilution of 1:100
PEX19 Antibodies
PEX19 for Homo sapiens (Human)
| 產品貨號 | 產品名稱 | 種屬反應性 | 應用類型 |
|---|---|---|---|
| CSB-PA017802GA01HU | PEX19 Antibody | Human,Mouse,Rat | ELISA,WB,IHC |
| CSB-PA040121 | PEX19 Antibody | Human | WB, IHC, ELISA |
| CSB-PA017802DSR2HU | PEX19 Antibody | Human | ELISA, IHC |
PEX19 Proteins
PEX19 Proteins for Homo sapiens (Human)
| 產品貨號 | 產品名稱 | 來源 |
|---|---|---|
| CSB-YP017802HU CSB-BP017802HU CSB-MP017802HU CSB-EP017802HU-B |
Recombinant Human Peroxisomal biogenesis factor 19 (PEX19) | Yeast Baculovirus Mammalian cell In Vivo Biotinylation in E.coli |
| CSB-EP017802HU | Recombinant Human Peroxisomal biogenesis factor 19 (PEX19) (Active) | E.coli |






