PGF
PGF,即胎盤生長因子,是VEGF家族成員之一,別名PlGF-2等。它源自胎盤滋養層細胞,是妊娠期重要的血管生成因子。PGF通過結合VEGF受體,促進血管內皮細胞增殖、遷移,增強血管通透性與穩定性,對胚胎滋養層生長、胎盤血管形成及母胎循環建立至關重要。此外,PGF水平變化可反映胎盤功能及妊娠狀態,是監測妊娠期高血壓、子癇前期等妊娠并發癥的生物標志物。PGF也參與多種病理過程,如心血管疾病、腫瘤生長等,具有廣泛的生物學意義和研究價值。近年來,針對PGF及其受體的藥物研發取得顯著進展,例如抗VEGF藥物恩格列凈等,為相關疾病的治療提供了新思路。
熱銷產品
Recombinant Human Placenta growth factor (PGF) (Active) (CSB-MP017854HU)
驗證數據
(Tris-Glycine gel) Discontinuous SDS-PAGE (reduced) with 5% enrichment gel and 15% separation gel.
Activity
Measured by its binding ability in a functional ELISA. Immobilized Human FLT1(CSB-MP008732HU) protein at 2 μg/ml can bind Human PGF protein. The EC50 is 10.72-15.25 ng/mL.
Recombinant Human Placenta growth factor (PGF) (CSB-MP017854HU(F1))
驗證數據
(Tris-Glycine gel) Discontinuous SDS-PAGE (reduced) with 5% enrichment gel and 15% separation gel.
The purity of PGF was greater than 95% as determined by SEC-HPLC
PGF Recombinant Monoclonal Antibody (CSB-RA280380A0HU)
驗證數據
IHC image of CSB-RA280380A0HU diluted at 1:100 and staining in paraffin-embedded human colon cancer performed on a Leica BondTM system. After dewaxing and hydration, antigen retrieval was mediated by high pressure in a citrate buffer (pH 6.0). Section was blocked with 10% normal goat serum 30min at RT. Then primary antibody (1% BSA) was incubated at 4℃ overnight. The primary is detected by a Goat anti-rabbit IgG polymer labeled by HRP and visualized using 0.05% DAB.
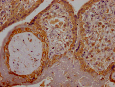
IHC image of CSB-RA280380A0HU diluted at 1:100 and staining in paraffin-embedded human placenta tissue performed on a Leica BondTM system. After dewaxing and hydration, antigen retrieval was mediated by high pressure in a citrate buffer (pH 6.0). Section was blocked with 10% normal goat serum 30min at RT. Then primary antibody (1% BSA) was incubated at 4℃ overnight. The primary is detected by a Goat anti-rabbit IgG polymer labeled by HRP and visualized using 0.05% DAB.
Human placenta growth factor,PLGF ELISA kit (CSB-E04707h)
驗證數據
貨號:CSB-E04707h
規格:96T/48T
靈敏度:0.7 ng/mL
檢測范圍:1.67 ng/mL-40 ng/mL
These standard curves are provided for demonstration only. A standard curve should be generated for each set of samples assayed.
PGF Antibodies
PGF for Homo sapiens (Human)
| 產品貨號 | 產品名稱 | 種屬反應性 | 應用類型 |
|---|---|---|---|
| CSB-PA017854GA01HU | PGF Antibody | Human | ELISA,WB,IHC |
| CSB-PA06959A0Rb | PGF Antibody | Human | ELISA |
| CSB-PA06959D0Rb | PGF Antibody, Biotin conjugated | Human | ELISA |
| CSB-PA06959B0Rb | PGF Antibody, HRP conjugated | Human | ELISA |
| CSB-RA280380A0HU | PGF Recombinant Monoclonal Antibody | Human | ELISA, IHC |
PGF Proteins
PGF Proteins for Homo sapiens (Human)
| 產品貨號 | 產品名稱 | 來源 |
|---|---|---|
| CSB-YP017854HU CSB-BP017854HU CSB-EP017854HU-B |
Recombinant Human Placenta growth factor (PGF) | Yeast Baculovirus In Vivo Biotinylation in E.coli |
| CSB-EP017854HU | Recombinant Human Placenta growth factor (PGF) | E.coli |
| CSB-AP002731HU | Recombinant Human Placenta growth factor protein (PGF) (Active) | E.Coli |
| CSB-MP017854HU | Recombinant Human Placenta growth factor (PGF) (Active) | Mammalian cell |
| CSB-MP017854HU(F1) | Recombinant Human Placenta growth factor (PGF) | Mammalian cell |
PGF Proteins for Mus musculus (Mouse)
| 產品貨號 | 產品名稱 | 來源 |
|---|---|---|
| CSB-YP017854MO CSB-EP017854MO CSB-BP017854MO CSB-MP017854MO CSB-EP017854MO-B |
Recombinant Mouse Placenta growth factor (Pgf) | Yeast E.coli Baculovirus Mammalian cell In Vivo Biotinylation in E.coli |
PGF Proteins for Rattus norvegicus (Rat)
| 產品貨號 | 產品名稱 | 來源 |
|---|---|---|
| CSB-YP714331RA CSB-EP714331RA CSB-BP714331RA CSB-MP714331RA CSB-EP714331RA-B |
Recombinant Rat Placenta growth factor (Pgf) | Yeast E.coli Baculovirus Mammalian cell In Vivo Biotinylation in E.coli |
PGF Proteins for Bos taurus (Bovine)
| 產品貨號 | 產品名稱 | 來源 |
|---|---|---|
| CSB-YP893164BO CSB-EP893164BO CSB-BP893164BO CSB-MP893164BO CSB-EP893164BO-B |
Recombinant Bovine Placenta growth factor (PGF) | Yeast E.coli Baculovirus Mammalian cell In Vivo Biotinylation in E.coli |
PGF ELISA Kit
PGF ELISA Kit for Homo sapiens (Human)
| 產品貨號 | 產品名稱 | 樣本類型 | 靈敏度 |
|---|---|---|---|
| CSB-E04707h | Human placenta growth factor,PLGF ELISA kit | serum, plasma, tissue homogenates | 0.7 ng/mL |
PGF ELISA Kit for Rattus norvegicus (Rat)
| 產品貨號 | 產品名稱 | 樣本類型 | 靈敏度 |
|---|---|---|---|
| CSB-E07400r | Rat placenta growth factor,PLGF ELISA kit | serum, plasma, tissue homogenates | 0.78 pg/mL |






