POLR2A
POLR2A編碼RNA聚合酶II的最大亞基Rpb1,該蛋白也被稱作POLR2或RPB1,是合成信使RNA的核心催化單元。作為轉錄過程的核心引擎,POLR2A通過與DNA模板結合,將遺傳信息轉化為前體mRNA,其羧基末端結構域的動態磷酸化狀態調控著轉錄起始與延伸的轉換。POLR2A功能異常與多種惡性腫瘤密切相關,尤其在膠質母細胞瘤、結直腸癌中常出現基因擴增現象,導致細胞周期失控和基因組不穩定性加劇。POLR2A的合成致死效應成為抗癌藥物開發新思路,其抑制劑α-鵝膏蕈堿的衍生化合物已進入臨床試驗,通過特異性阻斷腫瘤細胞轉錄過程誘導凋亡。2021年Science期刊報道的抗體偶聯藥物STT-568,正是利用POLR2A靶向策略在實體瘤治療中展現潛力。
熱銷產品
Phospho-POLR2A (S2) Recombinant Monoclonal Antibody (CSB-RA018327A02phHU)
驗證數據
Western Blot
Positive WB detected in Hela whole cell lysate,A549 whole cell lysate,293 whole cell lysate
All lanes Phospho-POLR2A antibody at 1.02μg/ml
Secondary
Goat polyclonal to rabbit IgG at 1/50000 dilution
Predicted band size: 270 KDa
Observed band size: 270 KDa
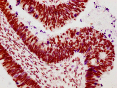
IHC image of CSB-RA018327A02phHU diluted at 1:100 and staining in paraffin-embedded human ovarian cancer performed on a Leica BondTM system. After dewaxing and hydration, antigen retrieval was mediated by high pressure in a citrate buffer (pH 6.0). Section was blocked with 10% normal goat serum 30min at RT. Then primary antibody (1% BSA) was incubated at 4℃ overnight. The primary is detected by a biotinylated secondary antibody and visualized using an HRP conjugated SP system.
Immunofluorescence staining of Hela cells with CSB-RA018327A02phHU at 1:100,counter-stained with DAPI. The cells were fixed in 4% formaldehyde, permeabilized using 0.2% Triton X-100 and blocked in 10% normal Goat Serum. The cells were then incubated with the antibody overnight at 4℃. The secondary antibody was Alexa Fluor 488-congugated AffiniPure Goat Anti-Rabbit IgG (H+L).
Immunoprecipitating Phospho-POLR2A in Hela whole cell lysate
Lane 1: Rabbit control IgG(1μg)instead of CSB-RA018327A02phHU in Hela whole cell lysate.
For western blotting,a HRP-conjugated Protein G antibody was used as the secondary antibody (1/2000)
Lane 2: CSB-RA018327A02phHU(3μg)+ Hela whole cell lysate(1mg)
Lane 3: Hela whole cell lysate (20μg)
POLR2A Antibodies
POLR2A for Homo sapiens (Human)
| 產品貨號 | 產品名稱 | 種屬反應性 | 應用類型 |
|---|---|---|---|
| CSB-PA004026 | POLR2A Antibody | Human,Mouse,Rat,Monkey | WB, IHC, IF, ELISA |
| CSB-PA030114 | Phospho-POLR2A (S1619) Antibody | Human,Mouse,Rat,Monkey | WB, IHC, IF, ELISA |
| CSB-RA018327A02phHU | Phospho-POLR2A (S2) Recombinant Monoclonal Antibody | Human | ELISA, WB, IHC, IF, IP |
| CSB-RA018327A05phHU | Phospho-POLR2A (S5) Recombinant Monoclonal Antibody | Human | ELISA, WB, IHC, IF |
| CSB-PA02519A0Rb | POLR2A Antibody | Human | ELISA, IHC, IF |
| CSB-PA02519B0Rb | POLR2A Antibody, HRP conjugated | Human | ELISA |
| CSB-PA02519C0Rb | POLR2A Antibody, FITC conjugated | Human | |
| CSB-PA02519D0Rb | POLR2A Antibody, Biotin conjugated | Human | ELISA |
POLR2A Proteins
POLR2A Proteins for Homo sapiens (Human)
| 產品貨號 | 產品名稱 | 來源 |
|---|---|---|
| CSB-YP018327HU CSB-EP018327HU CSB-BP018327HU CSB-MP018327HU CSB-EP018327HU-B |
Recombinant Human DNA-directed RNA polymerase II subunit RPB1 (POLR2A), partial | Yeast E.coli Baculovirus Mammalian cell In Vivo Biotinylation in E.coli |






